Park Chan Gyun, Lee Yu Ni, Kim Woo Young
Department of Surgery, Presbyterian Medical Center, Jeonju, Korea.
Ann Hepatobiliary Pancreat Surg. 2021 May 31;25(2):276-282. doi: 10.14701/ahbps.2021.25.2.276.
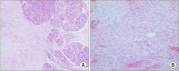
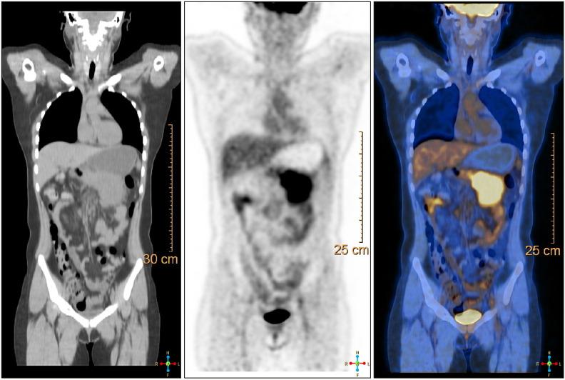
A 23-year-old Korean female presented epigastric pain of two-months' duration. She had a laparoscopic ovarian cyst excision 8 months previously. Clinical examination was normal. An abdominal computed tomogram (CT) demonstrated a 10-cm solid mass in the distal pancreas, with signs of splenic artery and vein occlusion, gastric and transverse colon invasion. Operative findings showed a mass involving distal pancreas, invasive to the posterior wall of the antrum of the stomach and transverse colon and 4th portion of the duodenum without lymph node involvement. The surgery consisted of a distal pancreatectomy, splenectomy and combined partial resection of the stomach, transverse colon and 4th portion of the duodenum. The immunohistochemistry and histopathological features were consistent with a confirmed diagnosis of intra-abdominal desmoid type fibromatosis (DTF). The prognosis of pancreatic DTF is not known and she showed no recurrence or distant metastasis during a 3 year follow-up. Herein we report a rare case with an isolated, sporadic, and non-trauma-related DTF, located at the pancreatic body and tail.
一名23岁的韩国女性出现了持续两个月的上腹部疼痛。她在8个月前接受了腹腔镜卵巢囊肿切除术。临床检查正常。腹部计算机断层扫描(CT)显示胰腺远端有一个10厘米的实性肿块,伴有脾动静脉闭塞、胃和横结肠受侵的迹象。手术所见显示肿块累及胰腺远端,侵犯胃窦后壁、横结肠和十二指肠第四部,无淋巴结受累。手术包括远端胰腺切除术、脾切除术以及胃、横结肠和十二指肠第四部的联合部分切除术。免疫组化和组织病理学特征与确诊的腹腔内硬纤维瘤病(DTF)一致。胰腺DTF的预后尚不清楚,在3年的随访中她未出现复发或远处转移。在此我们报告一例罕见的孤立、散发性且与创伤无关的DTF病例,位于胰体尾部。