Suppr超能文献

用于食物过敏诊断的相关生物标志物的特征:2S白蛋白家族概述

Characterization of Relevant Biomarkers for the Diagnosis of Food Allergies: An Overview of the 2S Albumin Family.

作者信息

Bueno-Díaz Cristina, Martín-Pedraza Laura, Parrón Jorge, Cuesta-Herranz Javier, Cabanillas Beatriz, Pastor-Vargas Carlos, Batanero Eva, Villalba Mayte

机构信息

Department of Biochemistry and Molecular Biology, Complutense University of Madrid, 28040 Madrid, Spain.

RETIC ARADyAL, Health Research Institute Carlos III, 28029 Madrid, Spain.

出版信息

Foods. 2021 May 29;10(6):1235. doi: 10.3390/foods10061235.

Abstract

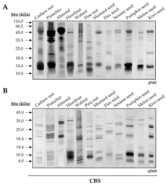
2S albumins are relevant and often major allergens from several tree nuts and seeds, affecting mainly children and young people. The present study aims to assess how the structural features of 2S albumins could affect their immunogenic capacity, which is essential to comprehend the role of these proteins in food allergy. For this purpose, twelve 2S albumins were isolated from their respective extracts by chromatographic methods and identified by MALDI-TOF mass-spectrometry. Their molecular and structural characterization was conducted by electrophoretic, spectroscopic and in silico methods, showing that these are small proteins that comprise a wide range of isoelectric points, displaying a general high structure stability to thermal treatment. Despite low amino acid sequence identity, these proteins share structural features, pointing conformational epitopes to explain cross-reactivity between them. Immunoblotting with allergic patients' sera revealed those possible correlations between evolutionarily distant 2S albumins from different sources. The availability of a well-characterized panel of 2S albumins from plant-derived sources allowed establishing correlations between their structural features and their allergenic potential, including their role in cross-reactivity processes.

摘要

2S清蛋白是几种坚果和种子中的相关过敏原,且往往是主要过敏原,主要影响儿童和年轻人。本研究旨在评估2S清蛋白的结构特征如何影响其免疫原性,这对于理解这些蛋白质在食物过敏中的作用至关重要。为此,通过色谱方法从各自的提取物中分离出12种2S清蛋白,并通过基质辅助激光解吸电离飞行时间质谱法进行鉴定。采用电泳、光谱和计算机模拟方法对其进行分子和结构表征,结果表明这些是小蛋白,具有广泛的等电点,对热处理具有普遍的高结构稳定性。尽管氨基酸序列同一性较低,但这些蛋白质具有共同的结构特征,指出了构象表位以解释它们之间的交叉反应性。用过敏患者血清进行免疫印迹分析揭示了来自不同来源的进化距离较远的2S清蛋白之间的可能相关性。从植物来源获得的一组特征明确的2S清蛋白,有助于建立它们的结构特征与其致敏潜力之间的相关性,包括它们在交叉反应过程中的作用。

https://cdn.ncbi.nlm.nih.gov/pmc/blobs/5804/8228421/9ec7a176b92f/foods-10-01235-g0A1.jpg

文献检索

告别复杂PubMed语法,用中文像聊天一样搜索,搜遍4000万医学文献。AI智能推荐,让科研检索更轻松。

立即免费搜索

文件翻译

保留排版,准确专业,支持PDF/Word/PPT等文件格式,支持 12+语言互译。

免费翻译文档

深度研究

AI帮你快速写综述,25分钟生成高质量综述,智能提取关键信息,辅助科研写作。

立即免费体验