Suppr超能文献

[具体物质]对脂多糖诱导的急性肺损伤的预防作用 。 需注意,原文中“of”后面缺少具体内容,这里补充了“[具体物质]”以便更完整理解句子大意,但实际翻译时应根据准确的原文信息来翻译。

The Preventive Effects of on Acute Lung Injury Induced by Lipopolysaccharide.

作者信息

Zhao Lihui, Mao Ying, Yu Haiming, Liu He, Wang Chao, Liu Jianwei, Han Yutong, Bi Yang, Zhang Donghai

机构信息

the Second Affiliated Hospital of Qiqihar Medical University, No. 37 Zhonghua West Road, Jianhua DistrictHeilongjiang Province, Qiqihar City, 161000 China.

出版信息

Indian J Microbiol. 2021 Sep;61(3):370-382. doi: 10.1007/s12088-021-00949-z. Epub 2021 Jun 1.

Abstract

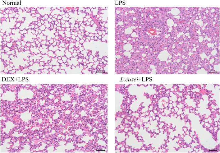
has been reported to inhibit acute lung injury (ALI). However, the molecular mechanism of () in preventing ALI has not been identified, so we investigated whether pretreatment could inhibit the activation of TLR4/MyD88/NF-κB signaling pathway following ALI. ALI model was established by intraperitoneal injection of 2 mg/kg lipopolysaccharide (LPS) to female BALB/c mice. In LC2W group, mice were intragastrically administrated LC2W for a week, before the ALI modeling. The serum of normal BALB/c mice after intragastric administration of L. casei LC2W was used for in vitro cell assays. The serum was pre-incubated with mouse macrophage cell line (RAW264.7) and human lung cell line (HLF-A), then LPS was added to co-incubate. Compared with ALI model group, LC2W pretreatment significantly reduced lung pathological damage, the number of neutrophils and total cells in bronchoalveolar lavage fluid. Besides, LC2W pretreatment could significantly reverse the abnormal expression of ICAM-1, IL-6, TNF-α and IL-10 in lung tissue and serum, plus, LC2W significantly reduced the phosphorylation levels of IRAK-1 and NF-κB p65. In vitro, the serum decreased the up-regulation of IL-6 and TNF-α in cell lines induced by LPS. In conclusion, LC2W intragastric administration pretreatment could significantly improve LPS-induced ALI in mice, probably through circulation to reach the lungs so as to inhibit the inflammatory response induced by activation of TLR4/MyD88/NF-κB signaling pathway.

摘要

据报道,()可抑制急性肺损伤(ALI)。然而,()预防ALI的分子机制尚未明确,因此我们研究了()预处理是否能抑制ALI后TLR4/MyD88/NF-κB信号通路的激活。通过向雌性BALB/c小鼠腹腔注射2mg/kg脂多糖(LPS)建立ALI模型。在LC2W组中,小鼠在ALI建模前一周经胃内给予LC2W。将经胃内给予干酪乳杆菌LC2W后的正常BALB/c小鼠血清用于体外细胞实验。将血清与小鼠巨噬细胞系(RAW264.7)和人肺细胞系(HLF-A)预孵育,然后加入LPS共同孵育。与ALI模型组相比,LC2W预处理显著减轻了肺组织病理损伤、支气管肺泡灌洗液中的中性粒细胞数量和总细胞数。此外,LC2W预处理可显著逆转肺组织和血清中ICAM-1、IL-6、TNF-α和IL-10的异常表达,另外,LC2W显著降低了IRAK-1和NF-κB p65的磷酸化水平。在体外,该血清降低了LPS诱导的细胞系中IL-6和TNF-α的上调。总之,经胃内给予LC2W预处理可显著改善LPS诱导的小鼠ALI,可能是通过循环到达肺部,从而抑制TLR4/MyD88/NF-κB信号通路激活所诱导的炎症反应。

https://cdn.ncbi.nlm.nih.gov/pmc/blobs/c4a0/8263836/3068e9979ae8/12088_2021_949_Fig1_HTML.jpg

文献AI研究员

20分钟写一篇综述,助力文献阅读效率提升50倍。

立即体验

用中文搜PubMed

大模型驱动的PubMed中文搜索引擎

马上搜索

文档翻译

学术文献翻译模型,支持多种主流文档格式。

立即体验