Suppr超能文献

博舒替尼相关的间质性肺疾病和胸腔积液:一例报告及文献综述。

Bosutinib-associated interstitial lung disease and pleural effusion: A case report and literature review.

作者信息

Liu Qiuying Selina, Ass'ad Nour Ali, Arana Yi Cecilia

机构信息

University of New Mexico School of Medicine Albuquerque NM USA.

University of New Mexico Comprehensive Cancer Center Albuquerque NM USA.

出版信息

Clin Case Rep. 2021 May 7;9(5):e03164. doi: 10.1002/ccr3.3164. eCollection 2021 May.

Abstract

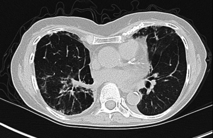
Bosutinib is a tyrosine kinase inhibitor approved for the management of chronic myeloid leukemia (CML). Interstitial lung disease and pleural effusion are pulmonary side effects of TKIs rarely associated with bosutinib treatment.

摘要

博舒替尼是一种被批准用于治疗慢性髓性白血病(CML)的酪氨酸激酶抑制剂。间质性肺病和胸腔积液是酪氨酸激酶抑制剂的肺部副作用,很少与博舒替尼治疗相关。

https://cdn.ncbi.nlm.nih.gov/pmc/blobs/766e/8145267/ad8fe249e06e/CCR3-9-e03164-g002.jpg

文献AI研究员

20分钟写一篇综述,助力文献阅读效率提升50倍。

立即体验

用中文搜PubMed

大模型驱动的PubMed中文搜索引擎

马上搜索

文档翻译

学术文献翻译模型,支持多种主流文档格式。

立即体验