Division of Gastroenterology, Department of Pediatrics, Siriraj Hospital, Mahidol University, Bangkok, Thailand.
Division of Pulmonology, Department of Pediatrics, Siriraj Hospital, Mahidol University, Bangkok, Thailand.
BMC Gastroenterol. 2021 Jun 12;21(1):261. doi: 10.1186/s12876-021-01842-1.
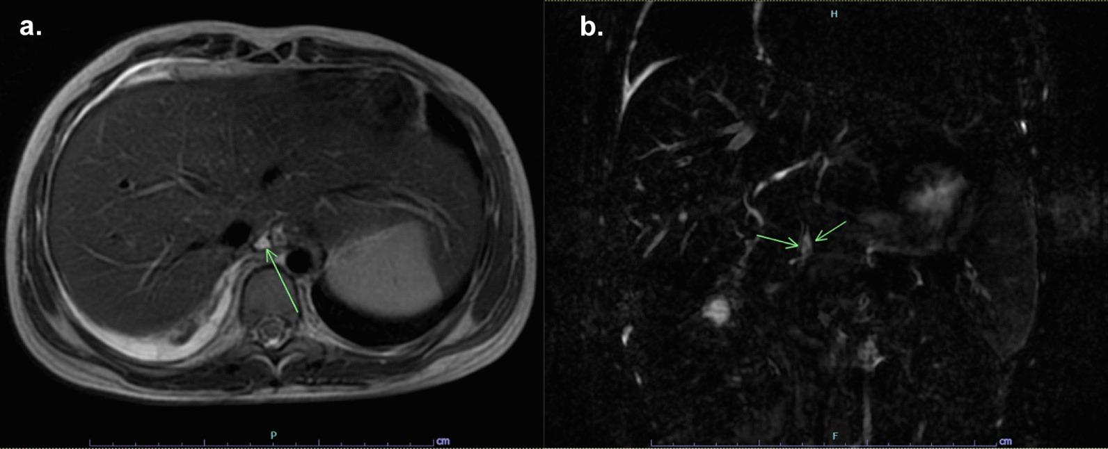
Pancreaticopleural fistula (PPF) is a rare complication of chronic pancreatitis (CP) that requires a high index of clinical suspicion in the patient who presents with a pleural effusion. Visualizing the fistula tract from the pancreatic duct to the pleural space by radiological imaging provides confirmation of this complication.
A 9-year-old boy who presented with massive right pleural effusion secondary to PPF, a complication of CP from a genetic mutation involving two mutations of SPINK1. We successfully managed the case with by endoscopic pancreatic duct stent placement after failure of conservative treatment approaches.
PPF is a rare but serious complication of CP in all ages. The diagnosis of PPF in children requires a high index of clinical suspicion and should be considered in the differential diagnosis of massive pleural effusion where pancreatic pathology is present. A high level of pleural fluid amylase and the results from radiological imaging when the patients have symptoms play essential roles in the diagnosis of PPF. Currently, Magnetic resonance cholangiopancreatigraphy (MRCP) is the imaging modality of choice. Endoscopic therapy and surgery are treatment options for patients who do not respond to conservative therapy.
胰胸膜瘘(PPF)是慢性胰腺炎(CP)的罕见并发症,对于出现胸腔积液的患者,需要高度怀疑该病。通过影像学检查从胰管到胸膜腔可视化瘘管可确认该并发症。
一名 9 岁男孩因 CP 相关的 PPF 出现大量右侧胸腔积液,CP 由涉及 SPINK1 两种突变的基因突变引起。我们在保守治疗失败后成功地通过内镜胰管支架置入术治疗了该病例。
PPF 是各年龄段 CP 的罕见但严重的并发症。儿童 PPF 的诊断需要高度怀疑该病,并应在存在胰腺病变的情况下考虑大量胸腔积液的鉴别诊断。高水平的胸腔液淀粉酶和患者出现症状时的影像学结果在 PPF 的诊断中起重要作用。目前,磁共振胰胆管成像(MRCP)是首选的影像学检查方法。内镜治疗和手术是对保守治疗无效的患者的治疗选择。