Suppr超能文献

由于大脑中动脉狭窄导致的脑梗死的先前症状为持续性偏侧舞蹈症。

Persistent Hemichorea as a Preceding Symptom of Cerebral Infarction Due to Middle Cerebral Artery Stenosis.

机构信息

Department of Neurology, Tokyo Medical University Hachioji Medical Center, Japan.

Department of Neurology, Tokyo Medical University, Japan.

出版信息

Intern Med. 2021 Dec 1;60(23):3805-3808. doi: 10.2169/internalmedicine.7191-21. Epub 2021 Jun 12.

Abstract

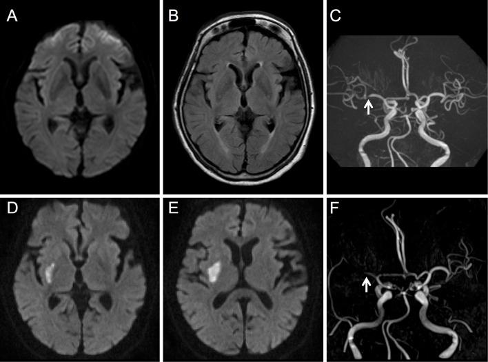
We herein report an 84-year-old woman with right middle cerebral artery (MCA) stenosis who presented with persistent left hemichorea preceding cerebral infarction. She visited our hospital on day 9 after the hemichorea onset. Magnetic resonance imaging (MRI) showed no acute cerebral infarction. Magnetic resonance angiography revealed right MCA stenosis. Her hemichorea persisted for 19 days and subsequently disappeared. On day 21, she developed left hemiplegia. Repeat MRI revealed a cerebral infarction in the right putamen. MCA stenosis can present with persistent hemichorea, even in the absence of cerebral infarction. Persistent hemichorea with MCA stenosis may presage cerebral infarction.

摘要

我们在此报告一例右侧大脑中动脉(MCA)狭窄的 84 岁女性患者,其在脑梗死前出现持续的左侧偏侧舞蹈症。她在偏侧舞蹈症发作后第 9 天就诊于我院。磁共振成像(MRI)未见急性脑梗死。磁共振血管造影显示右侧 MCA 狭窄。她的偏侧舞蹈症持续了 19 天,随后消失。第 21 天,她出现左侧偏瘫。重复 MRI 显示右侧壳核脑梗死。MCA 狭窄可表现为持续的偏侧舞蹈症,甚至在没有脑梗死的情况下也是如此。伴有 MCA 狭窄的持续偏侧舞蹈症可能预示着脑梗死。

https://cdn.ncbi.nlm.nih.gov/pmc/blobs/791f/8710370/d761a0c018e6/1349-7235-60-3805-g001.jpg

文献AI研究员

20分钟写一篇综述,助力文献阅读效率提升50倍。

立即体验

用中文搜PubMed

大模型驱动的PubMed中文搜索引擎

马上搜索

文档翻译

学术文献翻译模型,支持多种主流文档格式。

立即体验