Suppr超能文献

Hsa_circ_0042823 通过 miR-877-5p/FOXM1 轴促进喉鳞状细胞癌的进展。

Hsa_circ_0042823 accelerates cancer progression miR-877-5p/FOXM1 axis in laryngeal squamous cell carcinoma.

机构信息

Department of Otolaryngology, Head and Neck Surgery, Henan Provincial People's Hospital, People's Hospital of Zhengzhou University; People's Hospital of Henan University, Zhengzhou, PR China.

Department of Otolaryngology, Head and Neck Surgery, The Second Affiliated Hospital, Harbin Medical University, Harbin, PR China.

出版信息

Ann Med. 2021 Dec;53(1):960-970. doi: 10.1080/07853890.2021.1934725.

Abstract

BACKGROUND

Laryngeal squamous cell carcinoma (LSCC) is a common malignant tumour of the head and neck. Our previous study reveals that the circular RNA (circRNA) hsa_circ_0042823 is abnormally expressed in LSCC, suggesting that hsa_circ_0042823 is closely associated with LSCC. Here, we attempted to explore the molecular mechanism of hsa_circ_0042823 in LSCC.

METHODS

Quantitative real-time PCR and western blot were performed to assess the expression of gene and protein in human laryngeal carcinoma cells, TU212 and TU686. MTT and transwell assays were performed to examine cell proliferation, migration and invasion. The relationship among hsa_circ_0042823, miR-877-5p and forkhead box M1 (FOXM1) was verified by luciferase reporter assay. Finally, we constructed a subcutaneous tumour mouse model to analyse growth of LSCC cells following knockdown of hsa_circ_0042823.

RESULTS

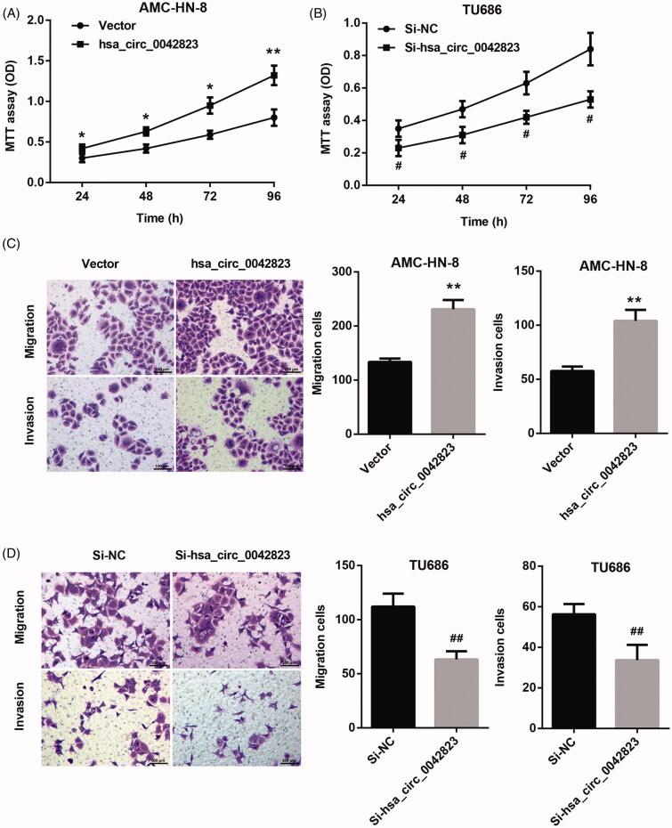
Compared with normal human bronchial epithelial cells (HBECs), hsa_circ_0042823 was highly expressed in the LSCC cell lines (AMC-HN-8 and TU686). Further studies demonstrated that hsa_circ_0042823 interacted with miR-877-5p, and FOXM1 was the target of miR-877-5p. Hsa_circ_0042823 promoted the expression of FOXM1 its ceRNA activity on miR-877-5p. Hsa_circ_0042823 overexpression promoted proliferation, migration and invasion of AMC-HN-8 cells through regulating miR-877-5p/FOXM1 axis. Additionally, inhibition of hsa_circ_0042823 inhibited growth of LSCC miR-877-5p/FOXM1 axis.

CONCLUSIONS

Hsa_circ_0042823/miR-877-5p/FOXM1 axis participates in the progression of LSCC. This work demonstrates that hsa_circ_0042823 accelerates cancer progression by regulating miR-877-5p/FOXM1 axis in LSCC. Therefore, this study may provide new insights into the pathogenesis of LSCC.KEY MESSAGESHsa_circ_0042823 promotes FOXM1 expression by sponging miR-877-5p.Hsa_circ_0042823 promotes proliferation, migration, invasion of LSCC cells.Hsa_circ_0042823 knockdown inhibits tumour growth of LSCC miR-877-5p/FOXM1 axis.

摘要

背景

喉鳞状细胞癌(LSCC)是头颈部常见的恶性肿瘤。我们之前的研究表明,环状 RNA(circRNA)hsa_circ_0042823 在 LSCC 中异常表达,表明 hsa_circ_0042823 与 LSCC 密切相关。在这里,我们试图探讨 hsa_circ_0042823 在 LSCC 中的分子机制。

方法

采用实时定量 PCR 和 Western blot 检测人喉癌细胞 TU212 和 TU686 中的基因和蛋白表达。采用 MTT 和 Transwell 实验检测细胞增殖、迁移和侵袭。通过荧光素酶报告实验验证 hsa_circ_0042823、miR-877-5p 和叉头框 M1(FOXM1)之间的关系。最后,构建皮下肿瘤小鼠模型,分析敲低 hsa_circ_0042823 后 LSCC 细胞的生长情况。

结果

与正常的人支气管上皮细胞(HBECs)相比,LSCC 细胞系(AMC-HN-8 和 TU686)中 hsa_circ_0042823 表达水平升高。进一步的研究表明,hsa_circ_0042823 与 miR-877-5p 相互作用,FOXM1 是 miR-877-5p 的靶基因。hsa_circ_0042823 通过调节 miR-877-5p/FOXM1 轴促进 FOXM1 的表达及其 ceRNA 活性。hsa_circ_0042823 的过表达通过调节 miR-877-5p/FOXM1 轴促进 AMC-HN-8 细胞的增殖、迁移和侵袭。此外,抑制 hsa_circ_0042823 抑制 LSCC 的生长及其通过 miR-877-5p/FOXM1 轴的作用。

结论

hsa_circ_0042823/miR-877-5p/FOXM1 轴参与 LSCC 的进展。本研究表明,hsa_circ_0042823 通过调节 miR-877-5p/FOXM1 轴在 LSCC 中加速癌症进展。因此,本研究可能为 LSCC 的发病机制提供新的见解。

关键信息

hsa_circ_0042823 通过海绵吸附 miR-877-5p 促进 FOXM1 的表达。hsa_circ_0042823 促进 LSCC 细胞的增殖、迁移和侵袭。hsa_circ_0042823 敲低抑制 LSCC 肿瘤生长及其通过 miR-877-5p/FOXM1 轴的作用。

https://cdn.ncbi.nlm.nih.gov/pmc/blobs/5e91/8204964/77d8500ec569/IANN_A_1934725_F0001_B.jpg

文献AI研究员

20分钟写一篇综述,助力文献阅读效率提升50倍。

立即体验

用中文搜PubMed

大模型驱动的PubMed中文搜索引擎

马上搜索

文档翻译

学术文献翻译模型,支持多种主流文档格式。

立即体验