Suppr超能文献

C反应蛋白对心肌细胞中钠钙交换体1的影响。

Effect of C reactive protein on the sodium-calcium exchanger 1 in cardiomyocytes.

作者信息

Xie Yong, Li Qian, Zhang Hai-Feng, Huang Tu-Cheng, Yang Ying, Lin Yong-Qing, Mai Jing-Ting, Wen Zhu-Zhi, Yuan Wo-Liang, Wang Jing-Feng, Chen Yang-Xin

机构信息

Department of Cardiology, Sun Yat-sen Memorial Hospital of Sun Yat-sen University, Guangzhou, Guangdong 510120, P.R. China.

Guangdong Province Key Laboratory of Arrhythmia and Electrophysiology, Sun Yat-sen Memorial Hospital of Sun Yat-sen University, Guangzhou, Guangdong 510120, P.R. China.

出版信息

Exp Ther Med. 2021 Aug;22(2):815. doi: 10.3892/etm.2021.10247. Epub 2021 May 28.

Abstract

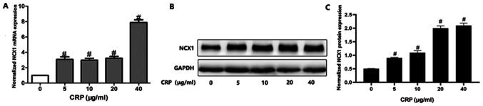
Numerous previous studies have found that C-reactive protein (CRP) is associated with cardiac arrhythmia and cardiac remodeling. However, the underlying mechanisms of this association remain unclear. Sodium-calcium exchanger 1 (NCX1) serves an important role in the regulation of intracellular calcium concentration, which is closely related with cardiac arrhythmia and cardiac remodeling. The present study aimed to evaluate the effects of CRP on NCX1 and intracellular calcium concentration in cardiomyocytes. Primary neonatal mouse ventricular cardiomyocytes were cultured and treated with varying concentrations of CRP (0, 5, 10, 20 and 40 µg/ml). The cardiomyocytes were also treated with NF-κB-specific inhibitor PTDC and a specific inhibitor of the reverse NCX1 KB-R7943 before their intracellular calcium concentrations were measured. mRNA and protein expression levels of NCX1 were detected by reverse transcription-quantitative PCR and western blotting, respectively and intracellular calcium concentration was evaluated by flow cytometry. CRP treatment significantly increased mRNA and protein expression levels of NCX1 in myocytes (P=0.024), as well as intracellular calcium concentration (P=0.01). These results were significantly attenuated by the NF-κB-specific inhibitor PDTC and a specific inhibitor of the reverse NCX1, KB-R7943. CRP significantly upregulated NCX1 expression and increased intracellular calcium concentration in cardiomyocytes via the NF-κB pathway, suggesting that CRP may serve a pro-arrhythmia role via direct influence on the calcium homeostasis of cardiomyocytes.

摘要

此前众多研究发现,C反应蛋白(CRP)与心律失常及心脏重塑相关。然而,这种关联的潜在机制仍不清楚。钠钙交换体1(NCX1)在调节细胞内钙浓度中起重要作用,而细胞内钙浓度与心律失常及心脏重塑密切相关。本研究旨在评估CRP对心肌细胞中NCX1及细胞内钙浓度的影响。培养原代新生小鼠心室肌细胞,并用不同浓度的CRP(0、5、10、20和40μg/ml)进行处理。在测量细胞内钙浓度之前,还用NF-κB特异性抑制剂PTDC和反向NCX1的特异性抑制剂KB-R7943处理心肌细胞。分别通过逆转录定量PCR和蛋白质印迹法检测NCX1的mRNA和蛋白表达水平,并用流式细胞术评估细胞内钙浓度。CRP处理显著增加了心肌细胞中NCX1的mRNA和蛋白表达水平(P=0.024)以及细胞内钙浓度(P=0.01)。NF-κB特异性抑制剂PDTC和反向NCX1的特异性抑制剂KB-R7943显著减弱了这些结果。CRP通过NF-κB途径显著上调心肌细胞中NCX1的表达并增加细胞内钙浓度,提示CRP可能通过直接影响心肌细胞的钙稳态而发挥促心律失常作用。

https://cdn.ncbi.nlm.nih.gov/pmc/blobs/f050/8193207/1323587a460f/etm-22-02-10247-g00.jpg

文献AI研究员

20分钟写一篇综述,助力文献阅读效率提升50倍。

立即体验

用中文搜PubMed

大模型驱动的PubMed中文搜索引擎

马上搜索

文档翻译

学术文献翻译模型,支持多种主流文档格式。

立即体验