Suppr超能文献

心包原始神经外胚层肿瘤:一例报告并文献复习。

Primitive neuroectodermal tumor of the pericardium: a case report and literature review.

机构信息

Department of Intensive Care Unit, Tianjin First Center Hospital, No.24 Fukang Street of Nankai District, Tianjin, 300152, China.

Department of Radiology, The First Medical Center of Chinese, PLA General Hospital, No.28 Fuxing Street of Haidian District, Beijing, 100853, China.

出版信息

BMC Cardiovasc Disord. 2021 Jun 16;21(1):305. doi: 10.1186/s12872-021-02113-3.

Abstract

BACKGROUND

The primitive neuroectodermal tumors (PNETs) are a family of highly malignant tumors with a multidirectional differential potential. The tumors are characterized by aggressive small round tumor cells that originate from the spinal cord of the central and sympathetic nervous systems. Cases involving the pericardium are extremely rare. Herein, we present a case of peripheral primitive neuroectodermal tumor (pPNET) that originated in the pericardium.

CASE PRESENTATION

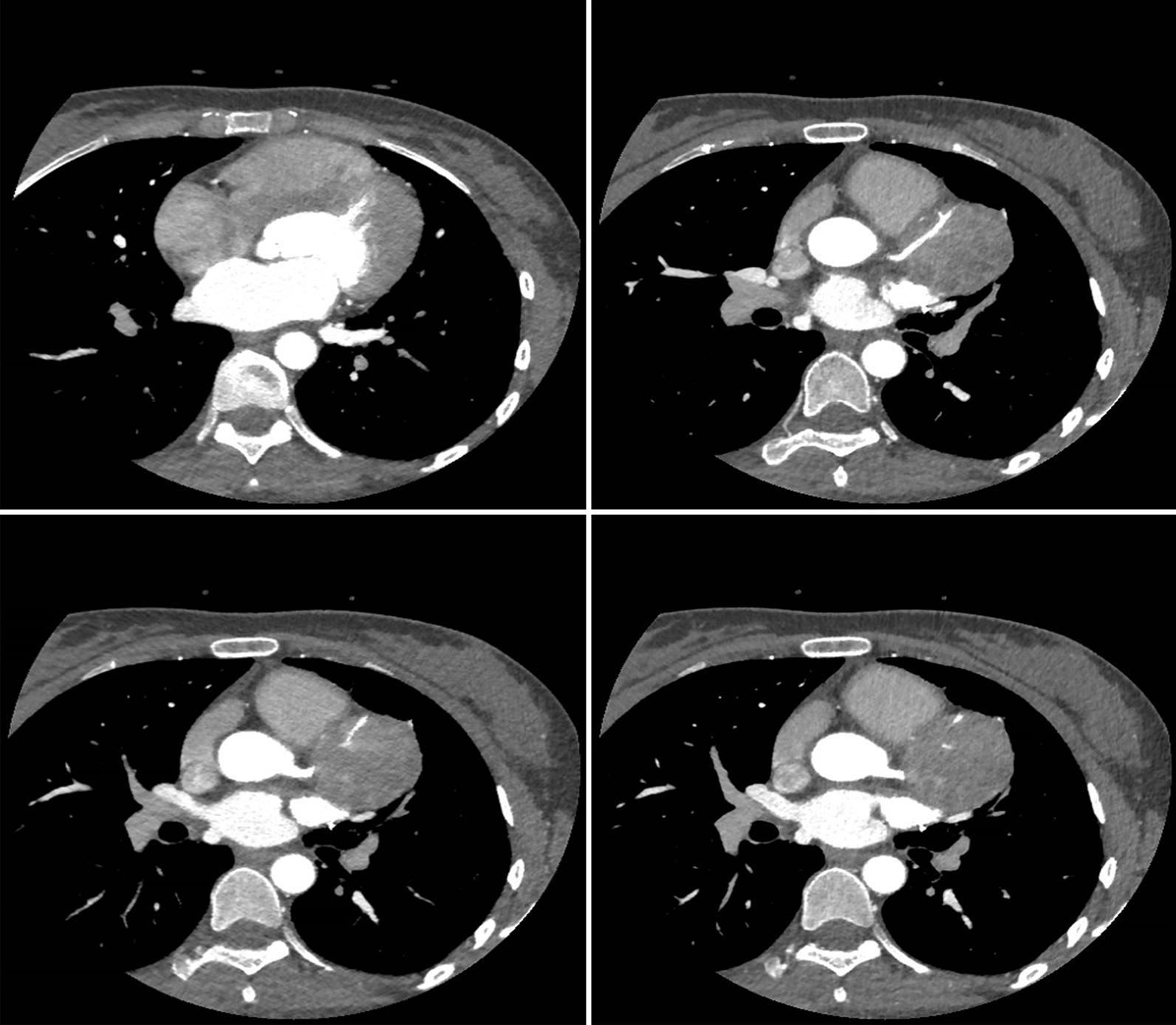
A 23-year-old woman presented with cough and progressive dyspnea for 1 month, followed by eyelid and facial edema for 10 days, without any apparent cause. Significantly elevated tumor markers were detected in her blood. A cardiac ultrasound revealed a 74 mm × 61 mm spherical mass that was attached to the left pericardium, as well as massive pericardial effusion. Positron emission tomography-CT (PET-CT) showed focal hypermetabolism in the left pericardium. Via histopathology and immunohistochemistry, the spherical mass was identified as PNETS. The patient was successfully treated with a combination of surgical resection via thoracotomy and postoperative chemotherapy, and she was disease-free for 7 years at follow-up. Unfortunately, at 7 years after the treatment, the patient's pPNET recurred. Positron emission tomography-MRI (PET-MRI) and 64-slice coronary CTA revealed that the aorta and multiple coronary arteries were involved. Subsequently, the patient refused a heart transplant and voluntarily left the hospital.

CONCLUSIONS

This paper reports on a rare and recurrent case of PNET in the parietal pericardium. With respect to the different biologic characteristics and prognoses of pPNETs (compared to other known pericardium tumors), it is essential to consider this entity as a differential diagnosis in pericardium tumors.

摘要

背景

原始神经外胚层肿瘤(PNETs)是一组具有多向分化潜能的高度恶性肿瘤。肿瘤的特征是具有侵袭性的小圆细胞肿瘤,起源于中枢和交感神经系统的脊髓。累及心包的病例极为罕见。本文报告了 1 例起源于心包的外周原始神经外胚层肿瘤(pPNET)。

病例介绍

一名 23 岁女性因咳嗽和进行性呼吸困难 1 个月,随后出现眼睑和面部水肿 10 天,无明显诱因就诊。血液中明显升高的肿瘤标志物。心脏超声显示左心包附着的 74mm×61mm 球形肿块和大量心包积液。正电子发射断层扫描-CT(PET-CT)显示左心包局灶性高代谢。通过组织病理学和免疫组织化学,球形肿块被确定为 PNETS。患者通过开胸手术联合术后化疗成功治疗,随访 7 年无病。不幸的是,治疗 7 年后,患者的 pPNET 复发。正电子发射断层扫描-MRI(PET-MRI)和 64 层冠状动脉 CTA 显示主动脉和多支冠状动脉受累。随后,患者拒绝心脏移植并自愿出院。

结论

本文报道了 1 例罕见的复发性壁层心包 PNET 病例。鉴于 pPNET(与其他已知心包肿瘤相比)的不同生物学特征和预后,在心包肿瘤的鉴别诊断中必须考虑到这一实体。

https://cdn.ncbi.nlm.nih.gov/pmc/blobs/9752/8207573/cb18262de4a0/12872_2021_2113_Fig1_HTML.jpg

文献AI研究员

20分钟写一篇综述,助力文献阅读效率提升50倍。

立即体验

用中文搜PubMed

大模型驱动的PubMed中文搜索引擎

马上搜索

文档翻译

学术文献翻译模型,支持多种主流文档格式。

立即体验