Suppr超能文献

移植同种异体移植物中供体来源的ALECT2淀粉样变性和复发性纤维性肾小球肾炎

Donor-Derived ALECT2 Amyloidosis and Recurrent Fibrillary Glomerulonephritis in a Transplant Allograft.

作者信息

Nasr Samih H, Chavez Octavio, Dasari Surendra, Theis Jason D, Vrana Julie A, Fatima Huma, Fu Liying, Baliga Rajendra S, McPhail Ellen D

机构信息

Department of Laboratory Medicine and Pathology, Mayo Clinic, Rochester, MN.

Tampa General Hospital, Tampa, FL.

出版信息

Kidney Med. 2021 Feb 16;3(3):433-437. doi: 10.1016/j.xkme.2020.11.019. eCollection 2021 May-Jun.

Abstract

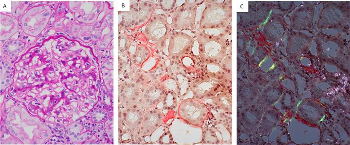
The occurrence of renal amyloidosis and fibrillary glomerulonephritis in the same biopsy specimen is exceptional and poses a diagnostic challenge. We describe the case of a non-Hispanic White patient with end-stage kidney disease due to fibrillary glomerulonephritis who received a second living donor kidney from a Hispanic individual. A 40-month-posttransplantation biopsy performed for an elevated serum creatinine level revealed interstitial congophilic deposits and glomerular noncongophilic fibrillary deposits, in addition to rejection. Separate laser microdissections of the glomerular and interstitial deposits followed by liquid chromatography-tandem mass spectrometry (LC MS/MS) revealed DNAJB9 peptide spectra in glomeruli and a peptide profile consistent with leukocyte chemotactic factor 2 (ALECT2) amyloidosis in the interstitium. Based on these findings, a 2-week-posttransplantation biopsy was re-reviewed and analyzed using LC MS/MS, which revealed a peptide profile consistent with ALECT2 amyloidosis in the interstitium, without peptide spectra for ALECT2 or DNAJB9 in glomeruli. The findings were consistent with donor-derived ALECT2 amyloidosis and recurrent fibrillary glomerulonephritis. At 49 months posttransplantation, allograft function was stable with minimal proteinuria. Thus, LC MS/MS was crucial to establish the accurate diagnosis of these 2 nephropathies characterized by fibrillary deposits. The indolent posttransplantation course suggests that donated kidneys with focal interstitial ALECT2 deposits may be suitable for transplantation but the deposits persist for many years.

摘要

在同一份活检标本中同时出现肾淀粉样变性和纤维性肾小球肾炎的情况极为罕见,这给诊断带来了挑战。我们描述了一例非西班牙裔白人患者,因纤维性肾小球肾炎发展至终末期肾病,接受了来自一名西班牙裔个体的第二次活体供肾。因血清肌酐水平升高在移植后40个月进行的活检显示,除排斥反应外,还有间质嗜刚果红性沉积物和肾小球非嗜刚果红性纤维沉积物。对肾小球和间质沉积物分别进行激光显微切割,然后进行液相色谱-串联质谱分析(LC MS/MS),结果显示肾小球中有DNAJB9肽谱,间质中的肽谱与白细胞趋化因子2(ALECT2)淀粉样变性一致。基于这些发现,对移植后2周的活检标本重新进行回顾,并使用LC MS/MS分析,结果显示间质中的肽谱与ALECT2淀粉样变性一致,肾小球中没有ALECT2或DNAJB9的肽谱。这些发现与供体来源的ALECT2淀粉样变性和复发性纤维性肾小球肾炎相符。移植后49个月时,移植肾功能稳定,蛋白尿极少。因此,LC MS/MS对于准确诊断这两种以纤维沉积物为特征的肾病至关重要。移植后病程进展缓慢表明,具有局灶性间质ALECT2沉积物的供肾可能适合移植,但这些沉积物会持续多年。

https://cdn.ncbi.nlm.nih.gov/pmc/blobs/a5ac/8178471/46401ae52f34/gr1.jpg

文献AI研究员

20分钟写一篇综述,助力文献阅读效率提升50倍。

立即体验

用中文搜PubMed

大模型驱动的PubMed中文搜索引擎

马上搜索

文档翻译

学术文献翻译模型,支持多种主流文档格式。

立即体验