Suppr超能文献

Acute abdomen due to J-pouch outlet obstruction: A case report and review of literature.

作者信息

da Silva Rodrigues Marcos Ricardo, de Souza Marcelo Augusto

机构信息

Colorectal Surgery Department, State University of Ponta Grossa Hospital - Paraná, Ponta Grossa, PR, Brazil.

State University of Ponta Grossa - Paraná, Ponta Grossa, PR, Brazil.

出版信息

Int J Surg Case Rep. 2021 Jul;84:106075. doi: 10.1016/j.ijscr.2021.106075. Epub 2021 Jun 15.

Abstract

INTRODUCTION

Ileal pouch-anal anastomosis is the procedure of choice for re-establishing intestinal continuity for patients undergoing total proctocolectomy. Despite growing experience with this procedure, it is still associated with considerable morbidity rates.

PRESENTATION OF CASE

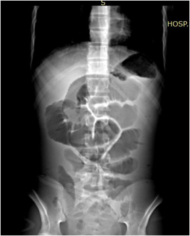
Herein, we report the case of a 14-year-old boy with familial adenomatous polyposis who underwent total proctocolectomy, ileal pouch-anal anastomosis, and diverting ileostomy. The patient developed early postoperative complications; on postoperative day 1, he developed bleeding from the pouch staple line, which was managed endoscopically. On postoperative day 15, he developed intestinal obstruction due to adhesions. One year after proctocolectomy, ileostomy closure was performed uneventfully. From postoperative day 3, the patient presented with obstructive signs such as abdominal distention, bloating, abdominal pain, and fever. Computed tomography identified diffuse intense intestinal distension with pouch dilatation. Digital rectal examination identified the pouch filled with liquid stool and no signs of anal canal anastomosis stenosis. The patient was considered to have pouch outlet obstruction and was successfully managed using bedside evacuation anoscopy. After 3 days, oral nutrition was re-established, and appropriate stool evacuation and fecal continence were achieved.

DISCUSSION

Proctocolectomy with ileal pouch-anal anastomosis still carries a considerable complication rate. Proper identification of causative factors is mandatory for appropriate treatment. Pouch outlet obstruction can present as acute abdomen after diverting ileostomy closure. In this case, outlet obstruction was identified and treated by pouch evacuation, avoiding morbidity of a new surgical procedure.

CONCLUSION

We presented an unusual case of acute intestinal obstruction due to pouch outlet obstruction that was managed nonoperatively with bedside pouch evacuation.

摘要
https://cdn.ncbi.nlm.nih.gov/pmc/blobs/3776/8225982/47f7de78aafe/gr1.jpg

文献AI研究员

20分钟写一篇综述,助力文献阅读效率提升50倍。

立即体验

用中文搜PubMed

大模型驱动的PubMed中文搜索引擎

马上搜索

文档翻译

学术文献翻译模型,支持多种主流文档格式。

立即体验