• 文献检索
  • 文档翻译
  • 深度研究
  • 学术资讯
  • Suppr Zotero 插件Zotero 插件
  • 邀请有礼
  • 套餐&价格
  • 历史记录
应用&插件
Suppr Zotero 插件Zotero 插件浏览器插件Mac 客户端Windows 客户端微信小程序
定价
高级版会员购买积分包购买API积分包
服务
文献检索文档翻译深度研究API 文档MCP 服务
关于我们
关于 Suppr公司介绍联系我们用户协议隐私条款
关注我们

Suppr 超能文献

核心技术专利:CN118964589B侵权必究
粤ICP备2023148730 号-1Suppr @ 2026

文献检索

告别复杂PubMed语法,用中文像聊天一样搜索,搜遍4000万医学文献。AI智能推荐,让科研检索更轻松。

立即免费搜索

文件翻译

保留排版,准确专业,支持PDF/Word/PPT等文件格式,支持 12+语言互译。

免费翻译文档

深度研究

AI帮你快速写综述,25分钟生成高质量综述,智能提取关键信息,辅助科研写作。

立即免费体验

病例系列:斯坦福A型急性主动脉夹层中的肺动脉壁内血肿

Case Series: Pulmonary Artery Intramural Hematoma in Stanford Type A Acute Aortic Dissection.

作者信息

Gros-Gean Jeanne, Lebecque Olivier, Nchimi Alain, Vlad Mihaela-Magdalena

机构信息

Université catholique de Louvain, CHU UCL Namur, Department of Radiology, 1 Avenue Dr G Thérasse, 5530, Yvoir, BE.

Centre Hospitalier du Luxembourg, CHL Luxembourg, 4 Rue Nicolas Ernest Barblé, 1210, Luxembourg, LU.

出版信息

J Belg Soc Radiol. 2021 Jun 8;105(1):34. doi: 10.5334/jbsr.2446.

DOI:10.5334/jbsr.2446
PMID:34164599
原文链接:https://pmc.ncbi.nlm.nih.gov/articles/PMC8195111/
Abstract

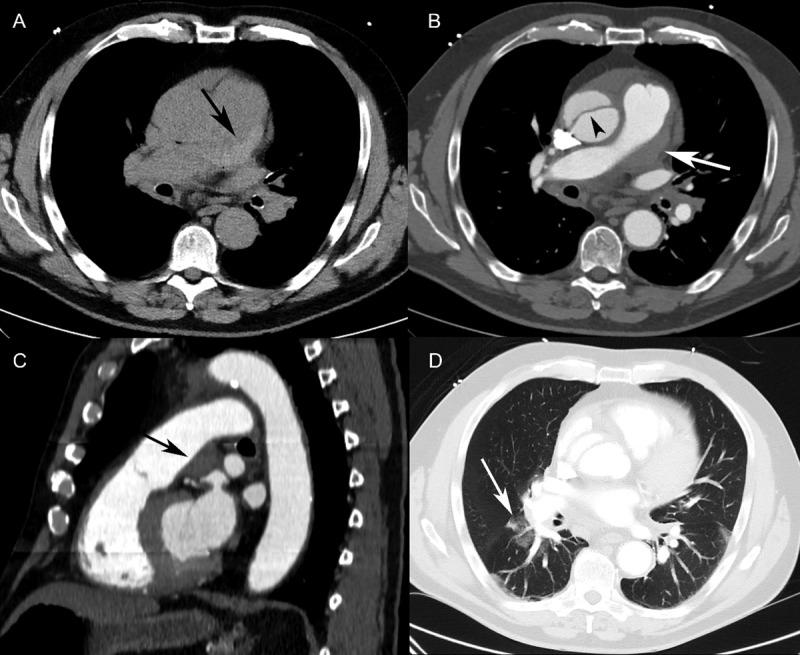
Diagnosing acute ascending aortic dissection in patients with equivocal radiologic data may rely on associated findings such as pulmonary artery intramural hematoma. The immediate diagnosis of aortic dissection is paramount in its management. Its diagnosis may be challenging on computed tomography when the intimal flap, pathognomonic of dissection, is not readily visualized. Pulmonary artery intramural hematoma may arise from rupture of the posterior wall of the ascending aorta into the common aortopulmonary adventitia as a result of acute dissection. The clinical significance of pulmonary artery hematoma is unknown, but its presence may facilitate the diagnosis of acute dissection when other radiologic findings are equivocal. Herein, we present four cases of pulmonary artery intramural hematoma associated with Stanford type A acute aortic dissection, among whom patient outcomes depended mainly on the prompt treatment the dissection.

摘要

对于影像学数据不明确的患者,诊断急性升主动脉夹层可能依赖于相关表现,如肺动脉壁内血肿。主动脉夹层的及时诊断对其治疗至关重要。当内膜瓣(夹层的特征性表现)在计算机断层扫描中不易显影时,其诊断可能具有挑战性。急性夹层时,升主动脉后壁破裂进入主动脉肺共同外膜可导致肺动脉壁内血肿。肺动脉血肿的临床意义尚不清楚,但其存在可能有助于在其他影像学表现不明确时诊断急性夹层。在此,我们报告4例与A型斯坦福急性主动脉夹层相关的肺动脉壁内血肿病例,其中患者的预后主要取决于夹层的及时治疗。

https://cdn.ncbi.nlm.nih.gov/pmc/blobs/a874/8195111/96c97c214738/jbsr-105-1-2446-g4.jpg
https://cdn.ncbi.nlm.nih.gov/pmc/blobs/a874/8195111/7ec05d78eabd/jbsr-105-1-2446-g1.jpg
https://cdn.ncbi.nlm.nih.gov/pmc/blobs/a874/8195111/d114b81151ce/jbsr-105-1-2446-g2.jpg
https://cdn.ncbi.nlm.nih.gov/pmc/blobs/a874/8195111/a239071bdaa9/jbsr-105-1-2446-g3.jpg
https://cdn.ncbi.nlm.nih.gov/pmc/blobs/a874/8195111/96c97c214738/jbsr-105-1-2446-g4.jpg
https://cdn.ncbi.nlm.nih.gov/pmc/blobs/a874/8195111/7ec05d78eabd/jbsr-105-1-2446-g1.jpg
https://cdn.ncbi.nlm.nih.gov/pmc/blobs/a874/8195111/d114b81151ce/jbsr-105-1-2446-g2.jpg
https://cdn.ncbi.nlm.nih.gov/pmc/blobs/a874/8195111/a239071bdaa9/jbsr-105-1-2446-g3.jpg
https://cdn.ncbi.nlm.nih.gov/pmc/blobs/a874/8195111/96c97c214738/jbsr-105-1-2446-g4.jpg

相似文献

1
Case Series: Pulmonary Artery Intramural Hematoma in Stanford Type A Acute Aortic Dissection.病例系列:斯坦福A型急性主动脉夹层中的肺动脉壁内血肿
J Belg Soc Radiol. 2021 Jun 8;105(1):34. doi: 10.5334/jbsr.2446.
2
A Case Report of an Unusual Acute Intramural Hematoma Disguise as Pulmonary Embolism.一例罕见的伪装成肺栓塞的急性壁内血肿病例报告。
J Cardiovasc Echogr. 2024 Jan-Mar;34(1):32-34. doi: 10.4103/jcecho.jcecho_77_23. Epub 2024 Apr 26.
3
Pulmonary Artery Periadventitial Hematoma in a Patient with Aortic Intramural Hematoma: A Case Report.主动脉壁内血肿患者并发肺动脉外膜下血肿:一例报告
J Korean Soc Radiol. 2024 May;85(3):649-653. doi: 10.3348/jksr.2023.0087. Epub 2024 May 14.
4
Impact of pulmonary artery intramural hematoma on patients with acute type A aortic dissection.急性 A 型主动脉夹层患者肺动脉壁内血肿的影响。
Eur Radiol. 2024 Nov;34(11):7275-7284. doi: 10.1007/s00330-024-10747-y. Epub 2024 May 22.
5
Thickening of the pulmonary artery wall in acute intramural hematoma of the ascending aorta.升主动脉急性壁内血肿时肺动脉壁增厚。
Cardiovasc Ultrasound. 2007 Jan 3;5:1. doi: 10.1186/1476-7120-5-1.
6
Stanford type A aortic dissection with pulmonary arterial intramural hematoma and pulmonary hemorrhage.斯坦福 A 型主动脉夹层伴肺动脉壁内血肿和肺出血。
J Cardiovasc Comput Tomogr. 2013 Mar-Apr;7(2):141-3. doi: 10.1016/j.jcct.2013.01.011. Epub 2013 Mar 5.
7
CT findings of ruptured intramural hematoma of the aorta extending along the pulmonary artery.主动脉壁内血肿破裂沿肺动脉延伸的CT表现。
Cardiovasc Intervent Radiol. 2007 Mar-Apr;30(2):321-3. doi: 10.1007/s00270-005-0388-2.
8
Iatrogenic Acute Ascending Aortic Dissection with Intramural Hematoma during Coronary Artery Stenting: A Case Report.冠状动脉支架置入术中医源性急性升主动脉夹层伴壁内血肿:一例报告
Front Surg. 2017 Feb 3;4:2. doi: 10.3389/fsurg.2017.00002. eCollection 2017.
9
Pathologic characteristics and surgical indications of superacute type A intramural hematoma.超急性A型壁内血肿的病理特征及手术指征
Ann Thorac Surg. 2005 May;79(5):1518-21. doi: 10.1016/j.athoracsur.2004.11.017.
10
Hemorrhagic infiltration of the aortopulmonary adventitia: A complication of acute aortic dissection.主动脉肺动脉外膜出血性浸润:急性主动脉夹层的一种并发症。
Eur J Radiol. 2016 Jan;85(1):239-247. doi: 10.1016/j.ejrad.2015.11.025. Epub 2015 Nov 24.

引用本文的文献

1
Fatal Outcome Due to Pulmonary Arterial Intramural Hematoma Associated With Stanford Type A Acute Aortic Dissection: A Case Report.斯坦福A型急性主动脉夹层相关肺动脉壁内血肿导致的致命结局:一例报告
Cureus. 2025 Jun 13;17(6):e85969. doi: 10.7759/cureus.85969. eCollection 2025 Jun.
2
Pulmonary Artery Periadventitial Hematoma in a Patient with Aortic Intramural Hematoma: A Case Report.主动脉壁内血肿患者并发肺动脉外膜下血肿:一例报告
J Korean Soc Radiol. 2024 May;85(3):649-653. doi: 10.3348/jksr.2023.0087. Epub 2024 May 14.

本文引用的文献

1
Fluoroquinolones and the Risk of Aortic Aneurysm or Aortic Dissection: A Systematic Review and Meta-Analysis.氟喹诺酮类药物与主动脉瘤或主动脉夹层风险:一项系统评价和荟萃分析
Cardiovasc Hematol Agents Med Chem. 2019;17(1):3-10. doi: 10.2174/1871525717666190402121958.
2
Significance of an additional unenhanced scan in computed tomography angiography of patients with suspected acute aortic syndrome.疑似急性主动脉综合征患者计算机断层扫描血管造影中额外平扫的意义。
World J Radiol. 2018 Nov 28;10(11):150-161. doi: 10.4329/wjr.v10.i11.150.
3
Fluoroquinolone use and risk of aortic aneurysm and dissection: nationwide cohort study.
氟喹诺酮类药物的使用与主动脉瘤和主动脉夹层的风险:全国性队列研究。
BMJ. 2018 Mar 8;360:k678. doi: 10.1136/bmj.k678.
4
Hemorrhagic infiltration of the aortopulmonary adventitia: A complication of acute aortic dissection.主动脉肺动脉外膜出血性浸润:急性主动脉夹层的一种并发症。
Eur J Radiol. 2016 Jan;85(1):239-247. doi: 10.1016/j.ejrad.2015.11.025. Epub 2015 Nov 24.
5
Pulmonary artery intramural hematoma associated with Stanford type B aortic dissection.与B型主动脉夹层相关的肺动脉壁内血肿
J Cardiovasc Comput Tomogr. 2015 Sep-Oct;9(5):466-8. doi: 10.1016/j.jcct.2015.05.004. Epub 2015 May 16.
6
Stanford type A aortic dissection with pulmonary arterial intramural hematoma and pulmonary hemorrhage.斯坦福 A 型主动脉夹层伴肺动脉壁内血肿和肺出血。
J Cardiovasc Comput Tomogr. 2013 Mar-Apr;7(2):141-3. doi: 10.1016/j.jcct.2013.01.011. Epub 2013 Mar 5.
7
Spontaneously developed pulmonary arterial intramural hematoma that mimicked thromboembolism.自发性肺动脉壁内血肿,类似血栓栓塞。
Korean J Radiol. 2012 Jul-Aug;13(4):496-9. doi: 10.3348/kjr.2012.13.4.496. Epub 2012 Jun 18.
8
CT and clinical features of hemorrhage extending along the pulmonary artery due to ruptured aortic dissection.主动脉夹层破裂致出血沿肺动脉蔓延的CT及临床特征
Eur Radiol. 2009 May;19(5):1166-74. doi: 10.1007/s00330-008-1272-7. Epub 2009 Jan 21.
9
Aortic dissection: anatomy, consequences, and causes.主动脉夹层:解剖结构、后果及病因
Am Heart J. 1981 Feb;101(2):195-214. doi: 10.1016/0002-8703(81)90666-9.