Suppr超能文献

影像引导下经导管主动脉瓣置换术及经皮冠状动脉介入治疗失代偿性重度主动脉瓣狭窄合并急性肾损伤

Imaging-Guided Transcatheter Aortic Valve Replacement and Percutaneous Coronary Intervention in Decompensated Severe Aortic Stenosis with Acute Renal Impairment.

作者信息

Elbasha Karim, Hemetsberger Rayyan, Richardt Gert, Allali Abdelhakim

机构信息

Heart Centre, Segeberger Kliniken GmbH, Bad Segeberg, Germany.

出版信息

Cardiol Ther. 2021 Dec;10(2):599-607. doi: 10.1007/s40119-021-00227-5. Epub 2021 Jun 28.

Abstract

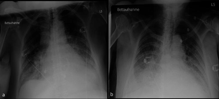
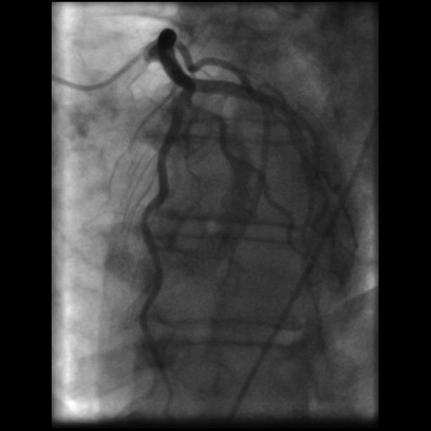
An 82-year-old woman with severe aortic valve stenosis (AS) and a significant proximal right coronary artery (RCA) stenosis presented with decompensated heart failure and acute kidney injury. She was treated with intravascular ultrasound (IVUS)-guided percutaneous coronary intervention (PCI) and trans-oesophageal echocardiography (TOE)-guided transcatheter aortic valve replacement (TAVR).

摘要

一名82岁女性,患有严重主动脉瓣狭窄(AS)且右冠状动脉(RCA)近端存在明显狭窄,出现失代偿性心力衰竭和急性肾损伤。她接受了血管内超声(IVUS)引导下的经皮冠状动脉介入治疗(PCI)以及经食管超声心动图(TOE)引导下的经导管主动脉瓣置换术(TAVR)。

https://cdn.ncbi.nlm.nih.gov/pmc/blobs/e26b/8555048/5b546cfa35a8/40119_2021_227_Fig1_HTML.jpg

文献AI研究员

20分钟写一篇综述,助力文献阅读效率提升50倍。

立即体验

用中文搜PubMed

大模型驱动的PubMed中文搜索引擎

马上搜索

文档翻译

学术文献翻译模型,支持多种主流文档格式。

立即体验