Suppr超能文献

紫癜的多种表现:万古霉素诱导的白细胞破碎性血管炎。

The Many Faces of Purpura: Vancomycin-Induced Leukocytoclastic Vasculitis.

作者信息

Zadroga John A, Mogulla Vanajakshi, Grant Christopher, Jevtic Djordje, Virata Andrew, Dumic Igor

机构信息

Family Medicine Residency Program, Mayo Clinic Health System, Eau Claire, WI, USA.

Division of Hospital Medicine, Mayo Clinic Health System, Eau Claire, WI, USA.

出版信息

Case Rep Infect Dis. 2021 Jun 4;2021:9932425. doi: 10.1155/2021/9932425. eCollection 2021.

Abstract

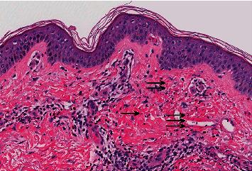
Leukocytoclastic vasculitis is a rare form of immune-mediated vasculitis that might be caused by infections or autoimmune diseases or might be precipitated by specific medications. We describe a 65-year-old patient, who was receiving vancomycin for a methicillin-sensitive permacath infection. Vancomycin was chosen due to medication non-adherence and the patient's desire to receive antimicrobial therapy in conjunction with his scheduled dialysis sessions. The patient's medical history was notable for untreated hepatitis C infection and end-stage renal disease, requiring hemodialysis three times a week. Vancomycin was administered during dialysis sessions. After one week of therapy, the patient developed bilateral lower extremity purpura. Skin biopsy was suggestive of leukocytoclastic vasculitis with an absence of intravascular thrombi. Serum cryoglobulins were negative, making cryoglobulinemia due to HCV infection unlikely. Following cessation of vancomycin therapy, the rash gradually disappeared with scarring in the form of post-purpuric hyperpigmentation. Despite its widespread use, vancomycin is a rare cause of leukocytoclastic vasculitis. Clinicians should keep in mind a wide range of differential diagnosis of bilateral lower extremity purpura as treatment differs depending on its underlying etiology.

摘要

白细胞破碎性血管炎是一种罕见的免疫介导性血管炎,可能由感染、自身免疫性疾病引起,也可能由特定药物诱发。我们描述了一名65岁的患者,他因耐甲氧西林的长期导管感染而接受万古霉素治疗。选择万古霉素是由于患者服药依从性差,且患者希望在定期透析期间接受抗菌治疗。患者的病史以未治疗的丙型肝炎感染和终末期肾病为显著特征,需要每周进行三次血液透析。万古霉素在透析期间给药。治疗一周后,患者出现双下肢紫癜。皮肤活检提示白细胞破碎性血管炎,无血管内血栓形成。血清冷球蛋白阴性,因此由丙型肝炎病毒感染引起冷球蛋白血症的可能性不大。停用万古霉素治疗后,皮疹逐渐消退,留下紫癜后色素沉着形式的瘢痕。尽管万古霉素广泛使用,但它是白细胞破碎性血管炎的罕见病因。临床医生应牢记双下肢紫癜的广泛鉴别诊断,因为治疗因潜在病因不同而有所差异。

https://cdn.ncbi.nlm.nih.gov/pmc/blobs/239c/8203330/68602702744b/CRIID2021-9932425.001.jpg

文献AI研究员

20分钟写一篇综述,助力文献阅读效率提升50倍。

立即体验

用中文搜PubMed

大模型驱动的PubMed中文搜索引擎

马上搜索

文档翻译

学术文献翻译模型,支持多种主流文档格式。

立即体验