Suppr超能文献

肺腺癌中预后特征的鉴定及格列齐特作为候选药物的研究

Identification of Prognostic Signature and Gliclazide as Candidate Drugs in Lung Adenocarcinoma.

作者信息

Cheng Yang, Hou Kezuo, Wang Yizhe, Chen Yang, Zheng Xueying, Qi Jianfei, Yang Bowen, Tang Shiying, Han Xu, Shi Dongyao, Wang Ximing, Liu Yunpeng, Hu Xuejun, Che Xiaofang

机构信息

Department of Respiratory and Infectious Disease of Geriatrics, The First Hospital of China Medical University, Shenyang, China.

Key Laboratory of Anticancer Drugs and Biotherapy of Liaoning Province, The First Hospital of China Medical University, Shenyang, China.

出版信息

Front Oncol. 2021 Jun 24;11:665276. doi: 10.3389/fonc.2021.665276. eCollection 2021.

Abstract

BACKGROUND

Lung adenocarcinoma (LUAD) is the most common pathological type of lung cancer, with high incidence and mortality. To improve the curative effect and prolong the survival of patients, it is necessary to find new biomarkers to accurately predict the prognosis of patients and explore new strategy to treat high-risk LUAD.

METHODS

A comprehensive genome-wide profiling analysis was conducted using a retrospective pool of LUAD patient data from the previous datasets of Gene Expression Omnibus (GEO) including GSE18842, GSE19188, GSE40791 and GSE50081 and The Cancer Genome Atlas (TCGA). Differential gene analysis and Cox proportional hazard model were used to identify differentially expressed genes with survival significance as candidate prognostic genes. The Kaplan-Meier with log-rank test was used to assess survival difference. A risk score model was developed and validated using TCGA-LUAD and GSE50081. Additionally, The Connectivity Map (CMAP) was used to predict drugs for the treatment of LUAD. The anti-cancer effect and mechanism of its candidate drugs were studied in LUAD cell lines.

RESULTS

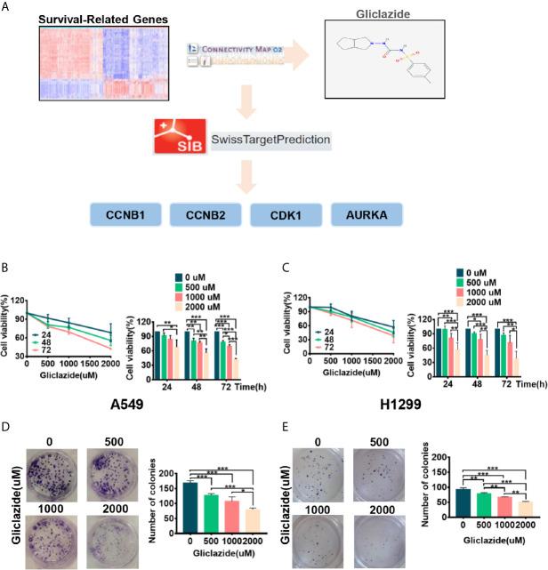
We identified a 5-gene signature (KIF20A, KLF4, KRT6A, LIFR and RGS13). Risk Score (RS) based on 5-gene signature was significantly associated with overall survival (OS). Nomogram combining RS with clinical pathology parameters could potently predict the prognosis of patients with LUAD. Moreover, gliclazide was identified as a candidate drug for the treatment of high-RS LUAD. Finally, gliclazide was shown to induce cell cycle arrest and apoptosis in LUAD cells possibly by targeting CCNB1, CCNB2, CDK1 and AURKA.

CONCLUSION

This study identified a 5-gene signature that can predict the prognosis of patients with LUAD, and Gliclazide as a potential therapeutic drug for LUAD. It provides a new direction for the prognosis and treatment of patients with LUAD.

摘要

背景

肺腺癌(LUAD)是肺癌最常见的病理类型,发病率和死亡率都很高。为了提高治疗效果并延长患者生存期,有必要寻找新的生物标志物来准确预测患者预后,并探索治疗高危LUAD的新策略。

方法

使用来自基因表达综合数据库(GEO)先前数据集(包括GSE18842、GSE19188、GSE40791和GSE50081)以及癌症基因组图谱(TCGA)的LUAD患者数据回顾性池进行全面的全基因组分析。采用差异基因分析和Cox比例风险模型来鉴定具有生存意义的差异表达基因作为候选预后基因。使用Kaplan-Meier法和对数秩检验评估生存差异。利用TCGA-LUAD和GSE50081开发并验证了风险评分模型。此外,使用连通性图谱(CMAP)预测用于治疗LUAD的药物。在LUAD细胞系中研究了其候选药物的抗癌作用和机制。

结果

我们鉴定出一个由5个基因组成的特征(KIF20A、KLF4、KRT6A、LIFR和RGS13)。基于该5基因特征的风险评分(RS)与总生存期(OS)显著相关。将RS与临床病理参数相结合的列线图能够有效预测LUAD患者的预后。此外,格列齐特被鉴定为治疗高RS LUAD的候选药物。最后,格列齐特可能通过靶向CCNB1、CCNB2、CDK1和AURKA诱导LUAD细胞的细胞周期停滞和凋亡。

结论

本研究鉴定出一个可预测LUAD患者预后的5基因特征,且格列齐特是LUAD的一种潜在治疗药物。它为LUAD患者的预后和治疗提供了新方向。

https://cdn.ncbi.nlm.nih.gov/pmc/blobs/896e/8264429/b8e17845416c/fonc-11-665276-g001.jpg

文献AI研究员

20分钟写一篇综述,助力文献阅读效率提升50倍。

立即体验

用中文搜PubMed

大模型驱动的PubMed中文搜索引擎

马上搜索

文档翻译

学术文献翻译模型,支持多种主流文档格式。

立即体验