Abd Ur Rehman Muhammad, Abdulrahman Abdulrahman Fadhl, Zainab Aariz, Paksoy Yahya, Kharma Nadir
Emergency Medicine Hamad Medical Corporation Doha Qatar.
Internal Medicine Hamad Medical Corporation Doha Qatar.
Clin Case Rep. 2021 Jul 9;9(7):e04463. doi: 10.1002/ccr3.4463. eCollection 2021 Jul.
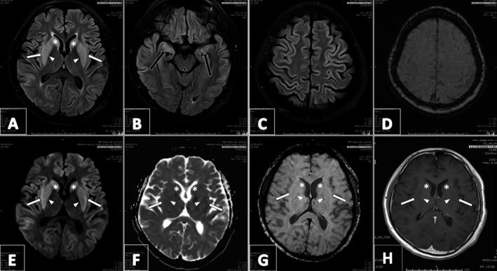
Until we have strong evidence to the contrary, symptomatic hyponatremia should be treated with extra caution in COVID-19 co-infection patients as the latter could be another risk factor for the development of extrapontine myelinolysis.
在我们有确凿的相反证据之前,对于新冠病毒合并感染患者,有症状的低钠血症应格外谨慎地治疗,因为后者可能是发生脑桥外髓鞘溶解症的另一个风险因素。