Jerbaka Myriam, Slaiby Tracy, Farhat Zahraa, Diab Yara, Toufayli Nawal, Rida Khaled, Diab Taghreed
Department of Gynecology & Obstetrics, Saint Joseph University, Lebanese University, Bahman University Hospital, Beirut, Lebanon.
Department of Gynecology & Obstetrics, Lebanese American University, Rizk University, Beirut, Lebanon.
Future Sci OA. 2021 May 28;7(8):FSO718. doi: 10.2144/fsoa-2021-0022. eCollection 2021 Sep.
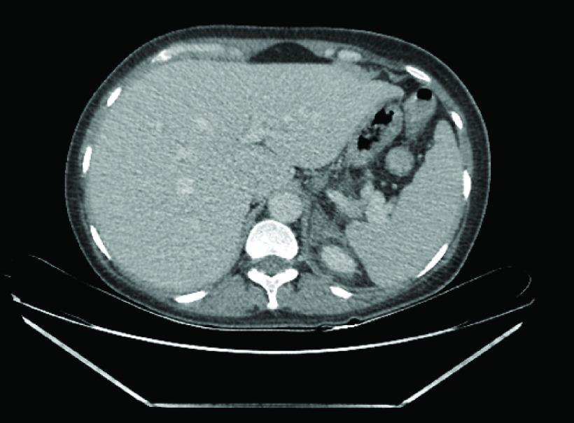
Abdominal pain is the most presenting complaint during pregnancy with multiple etiologies. The diagnosis could be unpredictable. We present a case of 36-year-old pregnant woman 10 7 2 at 36 + 5 weeks of gestation presenting twice for an increasing left abdominal pain, not relieved despite analgesics. She was delivered for severe oligohydramnios. After delivery, she was found to have a left adrenal infarction on computed tomography scan. She was found to have two mutations of the gene . Our presented case should remind physicians to consider the presence of thromboembolic state during pregnancy. The diagnosis of adrenal infarction should be among the differentials of an ambiguous flank pain that is resilient to medical therapy. Diagnosis in a pregnant patient can be easily confirmed with MRI, after which anticoagulation should be started and the workup for hypercoagulable state investigated.
腹痛是孕期最常见的主诉,病因多样。其诊断可能难以预测。我们报告一例36岁孕妇,孕36 + 5周,10 7 2,因左腹疼痛加剧两次就诊,尽管使用了镇痛药仍未缓解。她因严重羊水过少而分娩。分娩后,计算机断层扫描发现她有左肾上腺梗死。她被发现有该基因的两种突变。我们报告的病例应提醒医生在孕期考虑血栓栓塞状态的存在。肾上腺梗死的诊断应列入对药物治疗无效的模糊侧腹痛的鉴别诊断中。孕妇患者通过磁共振成像(MRI)可轻松确诊,确诊后应开始抗凝治疗并对高凝状态进行检查。