Department of Biochemistry, Weill Cornell Medical College, New York, NY, 10065, USA.
Laboratory of Molecular Metabolism, The Rockefeller University, New York, NY, 10065, USA.
Mol Metab. 2021 Nov;53:101305. doi: 10.1016/j.molmet.2021.101305. Epub 2021 Jul 21.
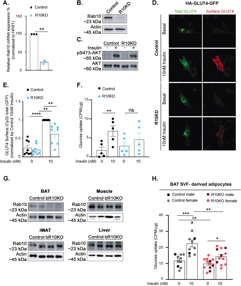
Recent studies indicate that brown adipose tissue, in addition to its role in thermogenesis, has a role in the regulation of whole-body metabolism. Here we characterize the metabolic effects of deleting Rab10, a protein key for insulin stimulation of glucose uptake into white adipocytes, solely from brown adipocytes.
We used a murine brown adipocyte cell line and stromal vascular fraction-derived in vitro differentiated brown adipocytes to study the role of Rab10 in insulin-stimulated GLUT4 translocation to the plasma membrane and insulin-stimulated glucose uptake. We generated a brown adipocyte-specific Rab10 knockout for in vivo studies of metabolism and thermoregulation.
We demonstrate that deletion of Rab10 from brown adipocytes results in a two-fold reduction of insulin-stimulated glucose transport by reducing translocation of the GLUT4 glucose transporter to the plasma membrane, an effect linked to whole-body glucose intolerance and insulin resistance in female mice. This effect on metabolism is independent of the thermogenic function of brown adipocytes, thereby revealing a metabolism-specific role for brown adipocytes in female mice. The reduced glucose uptake induced by Rab10 deletion disrupts ChREBP regulation of de novo lipogenesis (DNL) genes, providing a potential link between DNL in brown adipocytes and whole-body metabolic regulation in female mice. However, deletion of Rab10 from male mice does not induce systemic insulin resistance, although ChREBP regulation is disrupted.
Our studies of Rab10 reveal the role of insulin-regulated glucose transport into brown adipocytes in whole-body metabolic homeostasis of female mice. Importantly, the contribution of brown adipocytes to whole-body metabolic regulation is independent of its role in thermogenesis. It is unclear whether the whole-body metabolic sexual dimorphism is because female mice are permissive to the effects of Rab10 deletion from brown adipocytes or because male mice are resistant to the effect.
最近的研究表明,棕色脂肪组织除了在产热方面发挥作用外,还在调节全身代谢方面发挥作用。在这里,我们描述了仅从棕色脂肪细胞中删除 Rab10(一种胰岛素刺激白色脂肪细胞摄取葡萄糖所必需的蛋白质)对代谢的影响。
我们使用了一种鼠棕色脂肪细胞系和源自体外分化的棕色脂肪细胞的基质血管部分来研究 Rab10 在胰岛素刺激 GLUT4 向质膜易位和胰岛素刺激葡萄糖摄取中的作用。我们生成了一种棕色脂肪细胞特异性 Rab10 敲除小鼠,用于代谢和体温调节的体内研究。
我们证明,从棕色脂肪细胞中删除 Rab10 会导致胰岛素刺激的葡萄糖转运减少两倍,这是通过减少 GLUT4 葡萄糖转运蛋白向质膜的易位来实现的,这一效应与雌性小鼠的全身葡萄糖不耐受和胰岛素抵抗有关。这种对代谢的影响与棕色脂肪细胞的产热功能无关,从而揭示了棕色脂肪细胞在雌性小鼠中具有代谢特异性的作用。Rab10 缺失引起的葡萄糖摄取减少会破坏 ChREBP 对从头脂肪生成 (DNL) 基因的调节,为棕色脂肪细胞中的 DNL 与雌性小鼠的全身代谢调节之间提供了潜在联系。然而,从雄性小鼠中删除 Rab10 不会诱导全身胰岛素抵抗,尽管 ChREBP 调节被破坏。
我们对 Rab10 的研究揭示了胰岛素调节的葡萄糖向棕色脂肪细胞的转运在雌性小鼠全身代谢稳态中的作用。重要的是,棕色脂肪细胞对全身代谢调节的贡献与其在产热方面的作用无关。尚不清楚全身代谢的性别二态性是因为雌性小鼠对棕色脂肪细胞中 Rab10 删除的影响具有易感性,还是因为雄性小鼠对该影响具有抗性。