Suppr超能文献

急性失代偿性心力衰竭和心脏装置植入背景下拔管后医源性气管破裂:一例报告

Iatrogenic tracheal rupture after extubation in the context of acute decompensated heart failure and cardiac device implantation: a case report.

作者信息

Kuridze Nika, Etsadashvili Kakhaber, Minadze Eteri, Gonjilashvili Nani, Tsverava Mikheil

机构信息

Faculty of Clinical and Translational Medicine, Ivane Javakhishvili Tbilisi State University, Tbilisi, Georgia.

Department of Rhythmology, G. Chapidze Emergency Cardiology Center, Tbilisi, Georgia.

出版信息

Oxf Med Case Reports. 2021 Jul 21;2021(7):omab051. doi: 10.1093/omcr/omab051. eCollection 2021 Jul.

Abstract

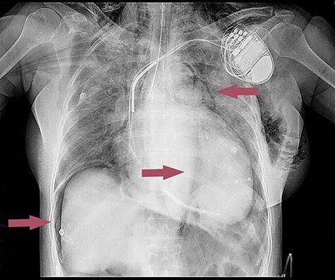
Iatrogenic tracheal rupture is a life-threatening airway complication. It has a very low reported incidence and is more prevalent in women and patients over 50 years of age. The most frequent clinical manifestations of tracheal injury are subcutaneous emphysema and respiratory distress. We report a case of a 65-year-old woman with cardiac resynchronization therapy defibrillator implantation under general anesthesia. Shortly after extubation, dyspnea and subcutaneous emphysema appeared. The X-ray showed pneumomediastinum, pneumopericardium and pneumoperitoneum. The tracheal rupture was confirmed by bronchoscopy. After conservative treatment, the patient's well-being improved, and she was discharged from the hospital in a satisfactory condition.

摘要

医源性气管破裂是一种危及生命的气道并发症。其报告发病率极低,在女性和50岁以上患者中更为常见。气管损伤最常见的临床表现是皮下气肿和呼吸窘迫。我们报告一例65岁女性在全身麻醉下植入心脏再同步化治疗除颤器的病例。拔管后不久,出现呼吸困难和皮下气肿。X线显示纵隔气肿、心包积气和腹腔积气。经支气管镜检查确诊为气管破裂。经过保守治疗,患者情况好转,出院时状况良好。

https://cdn.ncbi.nlm.nih.gov/pmc/blobs/9982/8297638/0152da5832b9/omab051f1.jpg

文献AI研究员

20分钟写一篇综述,助力文献阅读效率提升50倍。

立即体验

用中文搜PubMed

大模型驱动的PubMed中文搜索引擎

马上搜索

文档翻译

学术文献翻译模型,支持多种主流文档格式。

立即体验