Suppr超能文献

一名17岁少女的卵巢胎儿型畸胎瘤

Ovarian Fetiform Teratoma in a 17-Year-Old Adolescent Girl.

作者信息

Al Wadi Khalid A, Mal Hanan A, Amin Ur Rahman Muhammad, Abuzaid Mohammed, Abu-Zaid Ahmed

机构信息

Department of Obstetrics and Gynecology, King Fahad Medical City, Riyadh, SAU.

Department of Pathology, King Fahad Medical City, Riyadh, SAU.

出版信息

Cureus. 2021 Jun 14;13(6):e15644. doi: 10.7759/cureus.15644. eCollection 2021 Jun.

Abstract

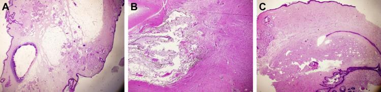
Fetiform teratoma, also recognized as a homunculus, is a largely uncommon form of mature cystic teratoma. Here, we present the case of a 17-year-old single female who presented to the emergency department complaining of abdominal distension and pain for four months. Abdominal examination revealed a left-sided mass. Magnetic resonance imaging showed a multi-loculated and multi-septated left cystic ovarian mass, suspicious for a teratoma. The patient underwent laparoscopy and a left cystectomy was performed. The final histopathologic diagnosis was consistent with fetiform teratoma. Although extremely rare, ovarian fetiform teratoma should be considered in the differential diagnosis of women presenting with an abdominopelvic mass. It should be discerned from fetus-in-fetu and ectopic pregnancy. Careful clinical presentation, laboratory testing for beta-human chorionic gonadotropin, histopathologic examination, and cytogenetic analysis can greatly aid in pinpointing the diagnosis. Overall, fetiform teratoma carries a favorable prognosis; however, follow-up surveillance is advised to monitor for uncommon occasions of tumor persistence or relapse.

摘要

胎儿样畸胎瘤,也被称为小人儿,是成熟囊性畸胎瘤中一种极为罕见的形式。在此,我们报告一例17岁未婚女性病例,该患者因腹胀和腹痛4个月就诊于急诊科。腹部检查发现左侧有肿块。磁共振成像显示左卵巢有一个多房、多间隔的囊性肿块,怀疑为畸胎瘤。患者接受了腹腔镜检查并进行了左卵巢囊肿切除术。最终组织病理学诊断与胎儿样畸胎瘤一致。尽管极为罕见,但对于出现腹盆腔肿块的女性进行鉴别诊断时应考虑卵巢胎儿样畸胎瘤。应将其与胎中胎和异位妊娠相鉴别。仔细的临床表现、β-人绒毛膜促性腺激素的实验室检测、组织病理学检查和细胞遗传学分析有助于明确诊断。总体而言,胎儿样畸胎瘤预后良好;然而,建议进行随访监测,以监测肿瘤持续存在或复发的罕见情况。

https://cdn.ncbi.nlm.nih.gov/pmc/blobs/6a11/8279903/5cb467f90196/cureus-0013-00000015644-i01.jpg

文献AI研究员

20分钟写一篇综述,助力文献阅读效率提升50倍。

立即体验

用中文搜PubMed

大模型驱动的PubMed中文搜索引擎

马上搜索

文档翻译

学术文献翻译模型,支持多种主流文档格式。

立即体验