Suppr超能文献

Masson Tumor in the Left Atrial Appendage Presenting as Cardioembolic Cerebral Infarction.

作者信息

Mantha Yogamaya, Harada Rakushumimarika, Hieda Michinari, Assaf Andrew, Tatiraju Uday, Feldman Mark, Kawalsky Darryl

机构信息

Internal Medicine Department, Texas Health Presbyterian Hospital of Dallas, Dallas, Texas.

Division of Cardiology, University of Texas Southwestern Medical Center, Institute for Exercise and Environmental Medicine, Dallas, Texas.

出版信息

JACC Case Rep. 2020 Jul 22;2(12):1969-1973. doi: 10.1016/j.jaccas.2020.05.044. eCollection 2020 Oct.

Abstract

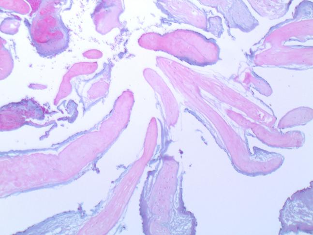
A 70-year-old woman presented with aphasia caused by acute infarction in the left middle cerebral artery. Cardiac investigation revealed progressively increasing mobile mass in the left atrial appendage over 2 months (from 9 to 15 mm). Decision was made to proceed with mass resection, and pathological evaluation confirmed Masson tumor. ().

摘要
https://cdn.ncbi.nlm.nih.gov/pmc/blobs/8185/8299123/df3d92d68a86/fx1.jpg

文献AI研究员

20分钟写一篇综述,助力文献阅读效率提升50倍。

立即体验

用中文搜PubMed

大模型驱动的PubMed中文搜索引擎

马上搜索

文档翻译

学术文献翻译模型,支持多种主流文档格式。

立即体验