Suppr超能文献

在接受二次经导管主动脉瓣置换术(TAVR)治疗的退化外科生物人工瓣膜内发生的退化性TAVR

Degenerated TAVR Within Degenerated Surgical Bioprosthetic Valve Treated With Second TAVR.

作者信息

Ajmal Muhammad, Reddy Sridhar, Shetty Ranjith, Kazui Toshinobu, Lotun Kapildeo

机构信息

University of Arizona, Sarver Heart Center, Tucson, Arizona.

Interventional Cardiology, University of Arizona, Sarver Heart Center, Tucson, Arizona.

出版信息

JACC Case Rep. 2020 Jun 24;2(8):1097-1098. doi: 10.1016/j.jaccas.2020.03.029. eCollection 2020 Jul.

Abstract

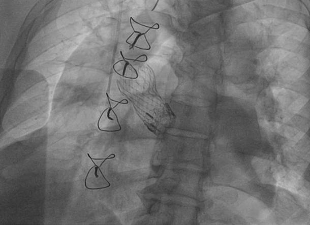
Transcatheter aortic valve replacement within a degenerated surgical bioprosthetic aortic valve is increasing in frequency. We present a rare case of a patient requiring a second TAVR placed within a previous placed degenerated transcatheter aortic valve, which was implanted in a degenerated surgical bioprosthetic aortic valve. ().

摘要

在退化的外科生物人工主动脉瓣内行经导管主动脉瓣置换术的频率正在增加。我们报告了一例罕见病例,一名患者需要在先前植入的退化经导管主动脉瓣内行第二次经导管主动脉瓣置换术,而该经导管主动脉瓣是植入在退化的外科生物人工主动脉瓣内的。()

https://cdn.ncbi.nlm.nih.gov/pmc/blobs/ea4b/8311726/e7b09f9764fb/fx1.jpg

文献AI研究员

20分钟写一篇综述,助力文献阅读效率提升50倍。

立即体验

用中文搜PubMed

大模型驱动的PubMed中文搜索引擎

马上搜索

文档翻译

学术文献翻译模型,支持多种主流文档格式。

立即体验