Department of Pediatric Neurology and Endocrinology, the Affiliated Hospital of Qingdao University, Qingdao, Shandong, China.
Department of Pediatric Emergency, the Affiliated Hospital of Qingdao University, Qingdao, Shandong, China.
Brain Behav. 2021 Aug;11(8):e2306. doi: 10.1002/brb3.2306. Epub 2021 Aug 1.
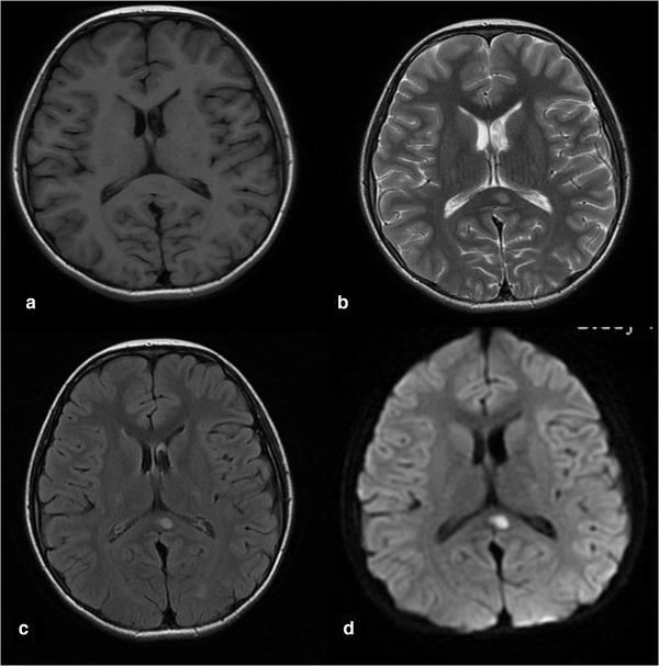
To investigate the clinical features, imaging features, and prognosis of mild encephalitis/encephalopathy with a reversible splenial lesion (MERS) in children METHODS: The clinical and imaging data of a cohort of 28 children diagnosed as MERS from January 2019 to October 2020 were retrospectively analyzed RESULTS: Of the 28 patients, 17 were males and 11 were females. The onset age ranged from 8 months to 12 years old, with an average age of 4 years and 2 months. All children developed normally before onset, and three of them had a history of febrile convulsion. More than half of the patients (62.9%) had preceding infections of gastrointestinal tract. All the cases developed seizures, and most (71.4%) had more than one time. Other neurological symptoms included dizziness/headache, consciousness disorder, limb weakness, blurred vision, and dysarthria. Cranial magnetic resonance imaging (MRI) showed lesions in the splenium of the corpus callosum in all, extending to other areas of the corpus callosum, bilateral semi-ovoid center, and adjacent periventricular in two cases. The clinical symptoms were relieved after steroids, intravenous immunogloblin, and symptomatic treatment, without abnormal neurodevelopment during the followed-up (2 months-2 years). Complete resolution of the lesions was observed 8-60 days after the initial MRI examinations CONCLUSION: MERS in children is related to prodromal infection mostly, with a wide spectrum of neurologic symptoms, characteristic MRI manifestations, and good prognosis.
探讨儿童轻微脑炎/脑病伴可逆性胼胝体压部病变(MERS)的临床特征、影像学特征及预后。
回顾性分析 2019 年 1 月至 2020 年 10 月期间确诊为 MERS 的 28 例儿童的临床和影像学资料。
28 例患儿中,男 17 例,女 11 例;发病年龄 8 个月至 12 岁,平均 4 岁 2 个月;起病前均发育正常,3 例有热性惊厥史;超过一半(62.9%)的患儿有胃肠道前驱感染;所有患儿均出现癫痫发作,其中 71.4%的患儿发作超过 1 次;其他神经系统症状包括头晕/头痛、意识障碍、肢体无力、视力模糊和构音障碍;头颅磁共振成像(MRI)均显示胼胝体压部病变,2 例延伸至胼胝体其他部位、双侧半卵圆中心及邻近脑室周围;经激素、静脉注射免疫球蛋白和对症治疗后临床症状缓解,随访(2 个月-2 年)中无神经发育异常;初始 MRI 检查后 8-60 天,病变完全缓解。
儿童 MERS 多与前驱感染有关,具有广泛的神经系统症状、特征性 MRI 表现和良好的预后。