• 文献检索
  • 文档翻译
  • 深度研究
  • 学术资讯
  • Suppr Zotero 插件Zotero 插件
  • 邀请有礼
  • 套餐&价格
  • 历史记录
应用&插件
Suppr Zotero 插件Zotero 插件浏览器插件Mac 客户端Windows 客户端微信小程序
定价
高级版会员购买积分包购买API积分包
服务
文献检索文档翻译深度研究API 文档MCP 服务
关于我们
关于 Suppr公司介绍联系我们用户协议隐私条款
关注我们

Suppr 超能文献

核心技术专利:CN118964589B侵权必究
粤ICP备2023148730 号-1Suppr @ 2026

文献检索

告别复杂PubMed语法,用中文像聊天一样搜索,搜遍4000万医学文献。AI智能推荐,让科研检索更轻松。

立即免费搜索

文件翻译

保留排版,准确专业,支持PDF/Word/PPT等文件格式,支持 12+语言互译。

免费翻译文档

深度研究

AI帮你快速写综述,25分钟生成高质量综述,智能提取关键信息,辅助科研写作。

立即免费体验

混合性神经内分泌癌与肝细胞癌:一例报告及文献综述

Mixed Neuroendocrine Carcinoma and Hepatocellular Carcinoma: A Case Report and Literature Review.

作者信息

Lan Jianwei, Guo Deliang, Qin Xian, Chen Baiyang, Liu Quanyan

机构信息

Department of Hepatobiliary and Pancreatic Surgery, Research Center of Digestive Diseases, Zhongnan Hospital of Wuhan University, Wuhan, China.

Department of General Surgery, Xiangyang Central Hospital, Affiliated of Hubei University of Arts and Science, Xiangyang, China.

出版信息

Front Surg. 2021 Jul 14;8:678853. doi: 10.3389/fsurg.2021.678853. eCollection 2021.

DOI:10.3389/fsurg.2021.678853
PMID:34336917
原文链接:https://pmc.ncbi.nlm.nih.gov/articles/PMC8316597/
Abstract

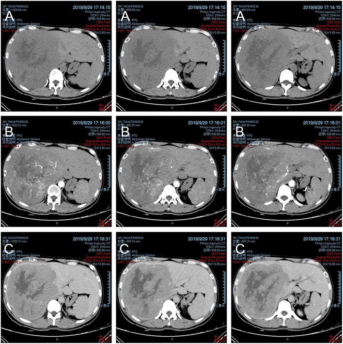
Neuroendocrine tumors are heterogeneous malignancies that originate from the neuroendocrine system. Previous studies show that this cancer type mainly localizes in the gastrointestinal tract and often metastasizes to the liver. Primary liver neuroendocrine tumors are very rare and primary hepatic neuroendocrine tumors (PHNET) with concurrent hepatocellular carcinoma (HCC) are extremely rare. To the best of our knowledge, only few PHNET cases have been identified, making their diagnosis difficult. Here, we report the biggest ever reported and "deceiving" lesion of a mixed neuroendocrine-non-neuroendocrine neoplasm in the liver, aiming to raise awareness and improve treatment of the disease. Here, we report a preoperative misdiagnosed case that presented with hepatocellular carcinoma clinical features and no extrahepatic tumors. Postoperative pathology confirmed that it was a mixed neuroendocrine-non-neuroendocrine neoplasm. The patient was then referred for etoposide and cisplatin-based chemotherapy. No disease recurrence was observed at the 6-month follow-up. We report a very rare and easily misdiagnosed case and we speculate that there were "undifferentiated cells" undergoing neuroendocrine and hepatocellular carcinoma differentiation, during which some hepatocellular carcinoma cells express neuroendocrine features. We recommend proper surgery and postoperative platinum-based chemotherapy in the management of this disease.

摘要

神经内分泌肿瘤是起源于神经内分泌系统的异质性恶性肿瘤。先前的研究表明,这种癌症类型主要位于胃肠道,且常转移至肝脏。原发性肝脏神经内分泌肿瘤非常罕见,而同时合并肝细胞癌(HCC)的原发性肝神经内分泌肿瘤(PHNET)极为罕见。据我们所知,仅发现少数PHNET病例,这使得其诊断困难。在此,我们报告了肝脏中最大的一例已报道的“具有欺骗性”的混合性神经内分泌-非神经内分泌肿瘤病变,旨在提高对该疾病的认识并改善其治疗。在此,我们报告一例术前误诊病例,该病例表现出肝细胞癌的临床特征且无肝外肿瘤。术后病理证实为混合性神经内分泌-非神经内分泌肿瘤。随后该患者接受了依托泊苷和顺铂为主的化疗。在6个月的随访中未观察到疾病复发。我们报告了一例非常罕见且容易误诊的病例,我们推测存在正在经历神经内分泌和肝细胞癌分化的“未分化细胞”,在此过程中一些肝细胞癌细胞表达神经内分泌特征。我们建议在该疾病的管理中进行适当的手术及术后铂类化疗。

https://cdn.ncbi.nlm.nih.gov/pmc/blobs/1810/8316597/49ddd845bc19/fsurg-08-678853-g0004.jpg
https://cdn.ncbi.nlm.nih.gov/pmc/blobs/1810/8316597/664d373f6993/fsurg-08-678853-g0001.jpg
https://cdn.ncbi.nlm.nih.gov/pmc/blobs/1810/8316597/c3bb79f1c0ce/fsurg-08-678853-g0002.jpg
https://cdn.ncbi.nlm.nih.gov/pmc/blobs/1810/8316597/8f21de0b28c0/fsurg-08-678853-g0003.jpg
https://cdn.ncbi.nlm.nih.gov/pmc/blobs/1810/8316597/49ddd845bc19/fsurg-08-678853-g0004.jpg
https://cdn.ncbi.nlm.nih.gov/pmc/blobs/1810/8316597/664d373f6993/fsurg-08-678853-g0001.jpg
https://cdn.ncbi.nlm.nih.gov/pmc/blobs/1810/8316597/c3bb79f1c0ce/fsurg-08-678853-g0002.jpg
https://cdn.ncbi.nlm.nih.gov/pmc/blobs/1810/8316597/8f21de0b28c0/fsurg-08-678853-g0003.jpg
https://cdn.ncbi.nlm.nih.gov/pmc/blobs/1810/8316597/49ddd845bc19/fsurg-08-678853-g0004.jpg

相似文献

1
Mixed Neuroendocrine Carcinoma and Hepatocellular Carcinoma: A Case Report and Literature Review.混合性神经内分泌癌与肝细胞癌:一例报告及文献综述
Front Surg. 2021 Jul 14;8:678853. doi: 10.3389/fsurg.2021.678853. eCollection 2021.
2
Primary Hepatic Neuroendocrine Tumor Arising at a Young Age: Rare Case Report and Literature Review.青少年原发性肝神经内分泌肿瘤:罕见病例报告及文献综述
Korean J Gastroenterol. 2022 Jan 25;79(1):35-40. doi: 10.4166/kjg.2021.139.
3
Primary Hepatic Neuroendocrine Tumor Mimicking Ruptured Hepatocellular Carcinoma with AFP Elevation: A Case Report and Literature Review.原发性肝神经内分泌肿瘤酷似破裂的肝细胞癌伴甲胎蛋白升高:病例报告及文献复习
Onco Targets Ther. 2020 Feb 3;13:975-979. doi: 10.2147/OTT.S236728. eCollection 2020.
4
Collision tumor of hepatocellular carcinoma and neuroendocrine carcinoma involving the liver: Case report and review of the literature.肝细胞癌与神经内分泌癌累及肝脏的碰撞瘤:病例报告及文献复习
World J Gastroenterol. 2016 Nov 7;22(41):9229-9234. doi: 10.3748/wjg.v22.i41.9229.
5
Combined primary hepatic neuroendocrine carcinoma and hepatocellular carcinoma: case report and literature review.原发性肝神经内分泌癌合并肝细胞癌:病例报告及文献综述
World J Surg Oncol. 2021 Mar 16;19(1):78. doi: 10.1186/s12957-021-02187-5.
6
Primary hepatic neuroendocrine tumor: A case report and literature review.原发性肝神经内分泌肿瘤:一例报告及文献综述
World J Clin Cases. 2016 Aug 16;4(8):243-7. doi: 10.12998/wjcc.v4.i8.243.
7
Primary hepatic neuroendocrine tumor with repeated diarrhea and flushing face: A case report and literature review.原发性肝神经内分泌肿瘤伴反复腹泻和面部潮红:一例报告并文献复习
Heliyon. 2024 Sep 27;10(19):e38606. doi: 10.1016/j.heliyon.2024.e38606. eCollection 2024 Oct 15.
8
Hepatocellular carcinoma with biliary and neuroendocrine differentiation: A case report.伴有胆管和神经内分泌分化的肝细胞癌:一例报告
World J Clin Oncol. 2021 Apr 24;12(4):262-271. doi: 10.5306/wjco.v12.i4.262.
9
Mixed Primary Hepatocellular Carcinoma and Hepatic Neuroendocrine Carcinoma: Case Report and Literature Review.混合性原发性肝细胞癌和肝神经内分泌癌:病例报告及文献复习。
Medicina (Kaunas). 2023 Feb 20;59(2):418. doi: 10.3390/medicina59020418.
10
Case report: mixed large-cell neuroendocrine and hepatocellular carcinoma of the liver.病例报告:肝脏混合性大细胞神经内分泌癌和肝细胞癌
Front Oncol. 2024 Jan 9;13:1309798. doi: 10.3389/fonc.2023.1309798. eCollection 2023.

引用本文的文献

1
Combined Neuroendocrine Carcinoma and Hepatocellular Carcinoma of the Liver: Systematic Literature Review Suggests Implementing Biological Characterization to Optimize Therapeutic Strategy.肝脏神经内分泌癌与肝细胞癌合并:系统文献综述表明实施生物学特征分析以优化治疗策略
Cancers (Basel). 2025 Mar 22;17(7):1074. doi: 10.3390/cancers17071074.
2
Enhancer landscape of lung neuroendocrine tumors reveals regulatory and developmental signatures with potential theranostic implications.肺神经内分泌肿瘤的增强子景观揭示了具有潜在治疗意义的调控和发育特征。
Proc Natl Acad Sci U S A. 2024 Oct 8;121(41):e2405001121. doi: 10.1073/pnas.2405001121. Epub 2024 Oct 3.
3

本文引用的文献

1
Two-in-one: A pooled analysis of primary hepatic neuroendocrine carcinoma combined/collided with hepatocellular carcinoma.二合一:原发性肝神经内分泌癌合并/碰撞肝细胞癌的汇总分析。
Hepatobiliary Pancreat Dis Int. 2020 Aug;19(4):399-403. doi: 10.1016/j.hbpd.2020.03.012. Epub 2020 Apr 8.
2
A fat containing combined neuroendocrine carcinoma and hepatocellular carcinoma in the liver: A case report.肝脏含脂肪的神经内分泌癌合并肝细胞癌 1 例报告。
Ann Hepatol. 2021 May-Jun;22:100183. doi: 10.1016/j.aohep.2020.01.006. Epub 2020 Feb 13.
3
The 2019 WHO classification of tumours of the digestive system.
Mixed Neuroendocrine Non-Neuroendocrine Tumor (MINEN) of the Liver: Report of Two Cases and Review of the Literature.
肝脏混合性神经内分泌-非神经内分泌肿瘤(MINEN):两例报告及文献复习
Turk Patoloji Derg. 2025;41(1):21-29. doi: 10.5146/tjpath.2024.13492.
4
Mixed Hepatocellular-Neuroendocrine Carcinoma: A Case Report and Literature Review.混合性肝细胞-神经内分泌癌:一例报告及文献综述
Arch Iran Med. 2023 Dec 1;26(12):709-711. doi: 10.34172/aim.2023.104.
5
Developing a competing risk nomogram that predicts the survival of patients with a primary hepatic neuroendocrine tumor.开发一种竞争风险列线图,用于预测原发性肝神经内分泌肿瘤患者的生存率。
Front Med (Lausanne). 2022 Nov 8;9:960235. doi: 10.3389/fmed.2022.960235. eCollection 2022.
6
Primary Hepatic Neuroendocrine Carcinoma with Thrombocytopenia Due to Diffuse Bone Marrow and Splenic Infiltration: An Autopsy Case.原发性肝神经内分泌癌伴血小板减少症,源于骨髓弥漫性浸润和脾脏浸润:尸检病例。
Intern Med. 2022 Nov 15;61(22):3361-3368. doi: 10.2169/internalmedicine.9465-22. Epub 2022 Apr 9.
7
Mixed neuroendocrine-nonneuroendocrine neoplasms of the gastrointestinal system: An update.消化系统混合性神经内分泌-非神经内分泌肿瘤:最新进展。
World J Gastroenterol. 2022 Feb 28;28(8):794-810. doi: 10.3748/wjg.v28.i8.794.
2019年世界卫生组织消化系统肿瘤分类。
Histopathology. 2020 Jan;76(2):182-188. doi: 10.1111/his.13975. Epub 2019 Nov 13.
4
Gastroenteropancreatic Neuroendocrine Tumors.胃肠胰神经内分泌肿瘤。
CA Cancer J Clin. 2018 Nov;68(6):471-487. doi: 10.3322/caac.21493. Epub 2018 Oct 8.
5
Incidental Collision Tumor of Hepatocellular Carcinoma and Neuroendocrine Carcinoma.肝细胞癌与神经内分泌癌的偶然碰撞瘤
J Clin Transl Hepatol. 2018 Sep 28;6(3):339-344. doi: 10.14218/JCTH.2017.00076. Epub 2018 Jun 28.
6
Combined primary hepatic neuroendocrine carcinoma and hepatocellular carcinoma with aggressive biological behavior (adverse clinical course): A case report.原发性肝神经内分泌癌与肝细胞癌合并存在且具有侵袭性生物学行为(不良临床病程):一例报告
Pathol Res Pract. 2017 Oct;213(10):1322-1326. doi: 10.1016/j.prp.2017.06.001. Epub 2017 Jun 10.
7
Collision tumor of hepatocellular carcinoma and neuroendocrine carcinoma involving the liver: Case report and review of the literature.肝细胞癌与神经内分泌癌累及肝脏的碰撞瘤:病例报告及文献复习
World J Gastroenterol. 2016 Nov 7;22(41):9229-9234. doi: 10.3748/wjg.v22.i41.9229.
8
Clinicopathological features of neoplasms with neuroendocrine differentiation occurring in the liver.肝脏中发生的具有神经内分泌分化的肿瘤的临床病理特征。
J Clin Pathol. 2017 Jul;70(7):563-570. doi: 10.1136/jclinpath-2016-203941. Epub 2016 Nov 23.
9
[A Case of Composite Hepatocellular Carcinoma and Neuroendocrine Carcinoma in a Patient with Liver Cirrhosis Caused by Chronic Hepatitis B].[一名慢性乙型肝炎所致肝硬化患者的复合性肝细胞癌和神经内分泌癌病例]
Korean J Gastroenterol. 2016 Aug 25;68(2):109-13. doi: 10.4166/kjg.2016.68.2.109.
10
Histological features of mixed neuroendocrine carcinoma and hepatocellular carcinoma in the liver: a case report and literature review.肝脏中混合性神经内分泌癌与肝细胞癌的组织学特征:一例报告及文献复习
Clin J Gastroenterol. 2016 Aug;9(4):272-9. doi: 10.1007/s12328-016-0669-0. Epub 2016 Jul 6.