• 文献检索
  • 文档翻译
  • 深度研究
  • 学术资讯
  • Suppr Zotero 插件Zotero 插件
  • 邀请有礼
  • 套餐&价格
  • 历史记录
应用&插件
Suppr Zotero 插件Zotero 插件浏览器插件Mac 客户端Windows 客户端微信小程序
定价
高级版会员购买积分包购买API积分包
服务
文献检索文档翻译深度研究API 文档MCP 服务
关于我们
关于 Suppr公司介绍联系我们用户协议隐私条款
关注我们

Suppr 超能文献

核心技术专利:CN118964589B侵权必究
粤ICP备2023148730 号-1Suppr @ 2026

文献检索

告别复杂PubMed语法,用中文像聊天一样搜索,搜遍4000万医学文献。AI智能推荐,让科研检索更轻松。

立即免费搜索

文件翻译

保留排版,准确专业,支持PDF/Word/PPT等文件格式,支持 12+语言互译。

免费翻译文档

深度研究

AI帮你快速写综述,25分钟生成高质量综述,智能提取关键信息,辅助科研写作。

立即免费体验

[晚期ALK阳性非小细胞肺癌治疗的全程管理:一例报告]

[Whole-process Management of Treatment of Advanced ALK Positive Non-small Cell Lung Cancer: A Case Report].

作者信息

Bai Henan, Han Yu, Niu Yi, Zhang Minghui

机构信息

Department of Oncology, Chifeng City Hospital, Chifeng 024000, China.

出版信息

Zhongguo Fei Ai Za Zhi. 2021 Aug 20;24(8):598-604. doi: 10.3779/j.issn.1009-3419.2021.101.32. Epub 2021 Aug 4.

DOI:10.3779/j.issn.1009-3419.2021.101.32
PMID:34344501
原文链接:https://pmc.ncbi.nlm.nih.gov/articles/PMC8387652/
Abstract

BACKGROUND

Anaplastic lymphoma kinase (ALK) is an important therapeutic target for advanced non-small cell lung cancer (NSCLC). In recent years, with the emergence of several ALK tyrosine kinase inhibitors (TKI), the overall survival (OS) of ALK fusion positive patients is gradually extended. This paper reports the treatment of a late stage non-small cell lung cancer (NSCLC) patient with ALK fusion positive for more than 5 years, and analyzes the treatment process and effect evaluation, so as to provide experience for the follow-up treatment of patients.

METHODS

The diagnosis and treatment process of a patient with advanced ALK fusion mutation positive lung cancer admitted to the third ward of Department of oncology, Chifeng hospital, Inner Mongolia on July 3, 2015 was retrospectively analyzed.

RESULTS

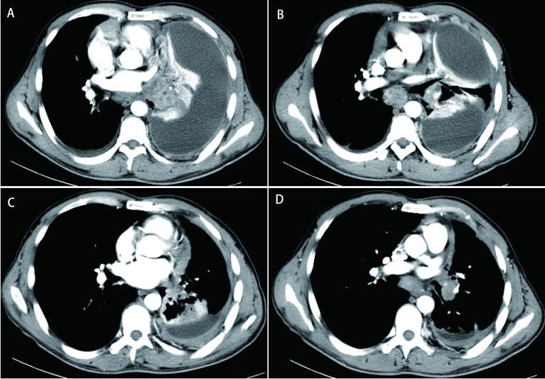
A 42 years old male patient was admitted to our department on July 3, 2015 for "intermittent cough, chest tightness for 2 months, diagnosed with lung adenocarcinoma for 1 day". Imaging examination showed a space occupying lesion in the left lower lobe of the lung, accompanied by mediastinal lymphadenopathy and left encapsulated pleural effusion. Bronchoscopic pathology showed non-small cell carcinoma, and adenocarcinoma was tentatively suggested.

DIAGNOSIS

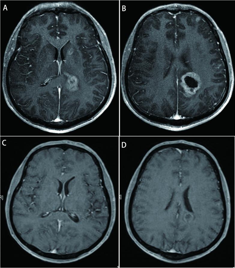
left lower lobe adenocarcinoma T1bN2M1a stage IV. Fluorescence in situ hybridization (FISH) indicated the translocation of ALK (2p23) chromosome. After 2 cycles of docetaxel+cisplatin (DP) regimens chemotherapy, disease progression occurred, so we used 6 cycles of pemetrexed+carboplatin to apply combination chemotherapy, 4 cycles of pemetrexed monotherapy were used after that. The efficacy evaluation: PR. On April 9, 2016, the patient was treated with crizotinib. In August 2019, multiple intracranial metastases were found and whole brain radiotherapy was given. Since September 4, 2019, oral administration of nsatinib has been carried out. As of March 1, 2021, the patients were followed up well.

CONCLUSIONS

The advanced ALK fusion positive lung adenocarcinoma patients, though the first-line and the second-line chemotherapy, and the follwing application of ALK-TKI treatment, has procured a total OS has reached 68 months, and the current follow-up is good.

摘要

背景

间变性淋巴瘤激酶(ALK)是晚期非小细胞肺癌(NSCLC)的重要治疗靶点。近年来,随着多种ALK酪氨酸激酶抑制剂(TKI)的出现,ALK融合阳性患者的总生存期(OS)逐渐延长。本文报道1例ALK融合阳性晚期非小细胞肺癌(NSCLC)患者5年余的治疗情况,并分析其治疗过程及疗效评估,为患者后续治疗提供经验。

方法

回顾性分析2015年7月3日内蒙古赤峰市医院肿瘤科三病区收治的1例晚期ALK融合突变阳性肺癌患者的诊断及治疗过程。

结果

1例42岁男性患者于2015年7月3日因“间断咳嗽、胸闷2个月,确诊肺腺癌1天”入院。影像学检查显示左肺下叶占位性病变,伴有纵隔淋巴结肿大及左侧包裹性胸腔积液。支气管镜病理显示非小细胞癌,初步考虑为腺癌。

诊断

左肺下叶腺癌T1bN2M1a Ⅳ期。荧光原位杂交(FISH)检测提示ALK(2p23)染色体易位。多西他赛+顺铂(DP)方案化疗2周期后疾病进展,换用培美曲塞+卡铂联合化疗6周期,之后采用培美曲塞单药化疗4周期。疗效评估:PR。2016年4月9日患者接受克唑替尼治疗。2019年8月发现多发颅内转移,给予全脑放疗。自2019年9月4日起口服恩扎替尼。截至2021年3月1日,患者随访情况良好。

结论

晚期ALK融合阳性肺腺癌患者,经一线及二线化疗,后续应用ALK-TKI治疗,总OS达68个月,目前随访情况良好。

https://cdn.ncbi.nlm.nih.gov/pmc/blobs/f9d0/8387652/a221b63f1c4a/zgfazz-24-8-598-4.jpg
https://cdn.ncbi.nlm.nih.gov/pmc/blobs/f9d0/8387652/e65f1f3f8dba/zgfazz-24-8-598-1.jpg
https://cdn.ncbi.nlm.nih.gov/pmc/blobs/f9d0/8387652/a1ffbaff7f6d/zgfazz-24-8-598-2.jpg
https://cdn.ncbi.nlm.nih.gov/pmc/blobs/f9d0/8387652/6b198e845181/zgfazz-24-8-598-3.jpg
https://cdn.ncbi.nlm.nih.gov/pmc/blobs/f9d0/8387652/a221b63f1c4a/zgfazz-24-8-598-4.jpg
https://cdn.ncbi.nlm.nih.gov/pmc/blobs/f9d0/8387652/e65f1f3f8dba/zgfazz-24-8-598-1.jpg
https://cdn.ncbi.nlm.nih.gov/pmc/blobs/f9d0/8387652/a1ffbaff7f6d/zgfazz-24-8-598-2.jpg
https://cdn.ncbi.nlm.nih.gov/pmc/blobs/f9d0/8387652/6b198e845181/zgfazz-24-8-598-3.jpg
https://cdn.ncbi.nlm.nih.gov/pmc/blobs/f9d0/8387652/a221b63f1c4a/zgfazz-24-8-598-4.jpg

相似文献

1
[Whole-process Management of Treatment of Advanced ALK Positive Non-small Cell Lung Cancer: A Case Report].[晚期ALK阳性非小细胞肺癌治疗的全程管理:一例报告]
Zhongguo Fei Ai Za Zhi. 2021 Aug 20;24(8):598-604. doi: 10.3779/j.issn.1009-3419.2021.101.32. Epub 2021 Aug 4.
2
Final Overall Survival Analysis From a Study Comparing First-Line Crizotinib Versus Chemotherapy in ALK-Mutation-Positive Non-Small-Cell Lung Cancer.一线克唑替尼对比化疗用于 ALK 基因突变阳性非小细胞肺癌的研究的最终总生存分析。
J Clin Oncol. 2018 Aug 1;36(22):2251-2258. doi: 10.1200/JCO.2017.77.4794. Epub 2018 May 16.
3
ALK fusion small cell transformation of lung adenocarcinoma: A case report and literature review.肺腺癌的ALK融合小细胞转化:一例报告及文献复习
Zhong Nan Da Xue Xue Bao Yi Xue Ban. 2024 Apr 28;49(4):628-636. doi: 10.11817/j.issn.1672-7347.2024.230506.
4
A novel SOS1-ALK fusion variant in a patient with metastatic lung adenocarcinoma and a remarkable response to crizotinib.一名转移性肺腺癌患者中存在新型 SOS1-ALK 融合变体,对克唑替尼有显著反应。
Lung Cancer. 2020 Apr;142:59-62. doi: 10.1016/j.lungcan.2020.02.012. Epub 2020 Feb 21.
5
Crizotinib vs platinum-based chemotherapy as first-line treatment for advanced non-small cell lung cancer with different ROS1 fusion variants.克唑替尼与铂类化疗作为不同 ROS1 融合变异晚期非小细胞肺癌的一线治疗。
Cancer Med. 2020 May;9(10):3328-3336. doi: 10.1002/cam4.2984. Epub 2020 Mar 13.
6
Effective treatment in lung adenocarcinoma patient with brain metastases harboring novel CLHC1/RNT4 intergenic region- ALK fusion: A case report.肺腺癌伴脑转移新型 CLHC1/RNT4 基因间区-ALK 融合患者的有效治疗:一例报告。
Medicine (Baltimore). 2022 Apr 8;101(14):e29134. doi: 10.1097/MD.0000000000029134.
7
Ceritinib versus chemotherapy in patients with ALK-rearranged non-small-cell lung cancer previously given chemotherapy and crizotinib (ASCEND-5): a randomised, controlled, open-label, phase 3 trial.塞瑞替尼与化疗用于既往接受过化疗和克唑替尼治疗的间变性淋巴瘤激酶(ALK)重排的非小细胞肺癌患者(ASCEND-5):一项随机、对照、开放标签、III 期临床试验。
Lancet Oncol. 2017 Jul;18(7):874-886. doi: 10.1016/S1470-2045(17)30339-X. Epub 2017 Jun 9.
8
Intracranial Efficacy of Crizotinib Versus Chemotherapy in Patients With Advanced ALK-Positive Non-Small-Cell Lung Cancer: Results From PROFILE 1014.ALK 阳性晚期非小细胞肺癌患者中克唑替尼与化疗的颅内疗效:PROFILE 1014 研究结果。
J Clin Oncol. 2016 Aug 20;34(24):2858-65. doi: 10.1200/JCO.2015.63.5888. Epub 2016 Mar 28.
9
First-line crizotinib versus chemotherapy in ALK-positive lung cancer.克唑替尼对比化疗用于治疗 ALK 阳性肺癌。
N Engl J Med. 2014 Dec 4;371(23):2167-77. doi: 10.1056/NEJMoa1408440.
10
Transformation of NSCLC to SCLC harboring EML4-ALK fusion with V1180L mutation after alectinib resistance and response to lorlatinib: A case report and literature review.克唑替尼耐药后 EML4-ALK 融合阳性 NSCLC 转化为 SCLC 伴 V1180L 突变,对洛拉替尼治疗有效:病例报告及文献复习。
Lung Cancer. 2023 Dec;186:107415. doi: 10.1016/j.lungcan.2023.107415. Epub 2023 Oct 28.

本文引用的文献

1
[Pharmacology and Clinical Evaluation of Ensartinib Hydrochloride Capsule].[盐酸恩沙替尼胶囊的药理作用及临床评价]
Zhongguo Fei Ai Za Zhi. 2020 Aug 20;23(8):719-729. doi: 10.3779/j.issn.1009-3419.2020.102.34.
2
Brigatinib and Alectinib for ALK Rearrangement-Positive Advanced Non-Small Cell Lung Cancer With or Without Central Nervous System Metastasis: A Systematic Review and Network Meta-Analysis.布加替尼和阿来替尼用于治疗伴有或不伴有中枢神经系统转移的ALK重排阳性晚期非小细胞肺癌:一项系统评价和网状Meta分析
Cancers (Basel). 2020 Apr 10;12(4):942. doi: 10.3390/cancers12040942.
3
Efficacy, safety, and biomarker analysis of ensartinib in crizotinib-resistant, ALK-positive non-small-cell lung cancer: a multicentre, phase 2 trial.
恩沙替尼治疗克唑替尼耐药、ALK 阳性非小细胞肺癌的疗效、安全性和生物标志物分析:一项多中心、Ⅱ期临床试验。
Lancet Respir Med. 2020 Jan;8(1):45-53. doi: 10.1016/S2213-2600(19)30252-8. Epub 2019 Oct 15.
4
Molecular and clinical analysis of Chinese patients with anaplastic lymphoma kinase (ALK)-rearranged non-small cell lung cancer.中国间变性淋巴瘤激酶(ALK)重排非小细胞肺癌患者的分子和临床分析。
Cancer Sci. 2019 Oct;110(10):3382-3390. doi: 10.1111/cas.14177. Epub 2019 Sep 23.
5
Updated Efficacy and Safety Data and Impact of the EML4-ALK Fusion Variant on the Efficacy of Alectinib in Untreated ALK-Positive Advanced Non-Small Cell Lung Cancer in the Global Phase III ALEX Study.更新的疗效和安全性数据以及 EML4-ALK 融合变体对全球 III 期 ALEX 研究中未经治疗的 ALK 阳性晚期非小细胞肺癌中阿来替尼疗效的影响。
J Thorac Oncol. 2019 Jul;14(7):1233-1243. doi: 10.1016/j.jtho.2019.03.007. Epub 2019 Mar 20.
6
Alectinib in the treatment of ALK-positive metastatic non-small cell lung cancer: clinical trial evidence and experience with a focus on brain metastases.阿来替尼治疗间变性淋巴瘤激酶阳性转移性非小细胞肺癌:临床试验证据和脑转移治疗经验。
Ther Adv Respir Dis. 2019 Jan-Dec;13:1753466619831906. doi: 10.1177/1753466619831906.
7
Natural History and Factors Associated with Overall Survival in Stage IV ALK-Rearranged Non-Small Cell Lung Cancer.IV 期 ALK 重排非小细胞肺癌的自然病史及与总生存相关的因素。
J Thorac Oncol. 2019 Apr;14(4):691-700. doi: 10.1016/j.jtho.2018.12.014. Epub 2018 Dec 30.
8
Lorlatinib in patients with ALK-positive non-small-cell lung cancer: results from a global phase 2 study.洛拉替尼治疗 ALK 阳性非小细胞肺癌患者的疗效:一项全球性 2 期研究结果。
Lancet Oncol. 2018 Dec;19(12):1654-1667. doi: 10.1016/S1470-2045(18)30649-1. Epub 2018 Nov 6.
9
Brigatinib versus Crizotinib in ALK-Positive Non-Small-Cell Lung Cancer.布加替尼与克唑替尼用于治疗间变性淋巴瘤激酶阳性的非小细胞肺癌。
N Engl J Med. 2018 Nov 22;379(21):2027-2039. doi: 10.1056/NEJMoa1810171. Epub 2018 Sep 25.
10
Ensartinib (X-396) in ALK-Positive Non-Small Cell Lung Cancer: Results from a First-in-Human Phase I/II, Multicenter Study.恩沙替尼(X-396)治疗间变性淋巴瘤激酶阳性非小细胞肺癌:一项多中心、I/II 期首次人体研究结果。
Clin Cancer Res. 2018 Jun 15;24(12):2771-2779. doi: 10.1158/1078-0432.CCR-17-2398. Epub 2018 Mar 21.