• 文献检索
  • 文档翻译
  • 深度研究
  • 学术资讯
  • Suppr Zotero 插件Zotero 插件
  • 邀请有礼
  • 套餐&价格
  • 历史记录
应用&插件
Suppr Zotero 插件Zotero 插件浏览器插件Mac 客户端Windows 客户端微信小程序
定价
高级版会员购买积分包购买API积分包
服务
文献检索文档翻译深度研究API 文档MCP 服务
关于我们
关于 Suppr公司介绍联系我们用户协议隐私条款
关注我们

Suppr 超能文献

核心技术专利:CN118964589B侵权必究
粤ICP备2023148730 号-1Suppr @ 2026

文献检索

告别复杂PubMed语法,用中文像聊天一样搜索,搜遍4000万医学文献。AI智能推荐,让科研检索更轻松。

立即免费搜索

文件翻译

保留排版,准确专业,支持PDF/Word/PPT等文件格式,支持 12+语言互译。

免费翻译文档

深度研究

AI帮你快速写综述,25分钟生成高质量综述,智能提取关键信息,辅助科研写作。

立即免费体验

精囊神经鞘瘤:经直肠及术中超声检查结果

Seminal Vesicle Schwannoma: Transrectal and Intraoperative Sonographic Findings.

作者信息

Shen Chih-Yu, Chow Nan-Haw, Tsai Yuh-Shyan

机构信息

Department of Urology, National Cheng Kung University Hospital, College of Medicine, National Cheng Kung University, Tainan, Taiwan.

Department of Pathology, National Cheng Kung University Hospital, College of Medicine, National Cheng Kung University, Tainan, Taiwan.

出版信息

J Med Ultrasound. 2021 Jan 9;29(2):123-125. doi: 10.4103/JMU.JMU_68_20. eCollection 2021 Apr-Jun.

DOI:10.4103/JMU.JMU_68_20
PMID:34377645
原文链接:https://pmc.ncbi.nlm.nih.gov/articles/PMC8330677/
Abstract

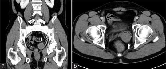
Schwannomas, namely neurilemmomas, are benign nerve sheath tumors and comprise the myelin sheaths around the peripheral nerves. Schwannomas commonly occur in the head and neck, or extremities, less found in the mediastinum and retroperitoneum, and rarely in the pelvis. We report a 40-year-old male presenting with an 18-month history of nocturia and urinary frequency. Transrectal ultrasound revealed a well-defined, 2.81 cm × 3.77 cm in size, homogeneous, hypoechoic mass in the tail of the left seminal vesicle, compatible with the finding of a well-demarcated mass at the left seminal vesicle with homogeneous contrast enhancement on computed tomography. He underwent laparoscopic excision of the mass via da Vinci robotic surgical system. Intraoperative sonography showed that the mass exhibited the majority of hypoechoic density with some hyperechoic spots inside. Pathology reveals schwannoma. Both of erectile and ejaculatory functions were claimed postoperatively. Our case report highlights the potential of either intraoperative or preoperative sonography in the assessment of the seminal vesicle schwannoma.

摘要

施万细胞瘤,即神经鞘瘤,是一种良性神经鞘肿瘤,由周围神经的髓鞘组成。施万细胞瘤常见于头颈部或四肢,较少见于纵隔和腹膜后,很少见于骨盆。我们报告一例40岁男性,有18个月的夜尿症和尿频病史。经直肠超声显示左精囊尾部有一个边界清晰、大小为2.81 cm×3.77 cm、均匀的低回声肿块,与计算机断层扫描显示的左精囊边界清晰的肿块及均匀的对比增强结果相符。他通过达芬奇机器人手术系统接受了腹腔镜下肿块切除术。术中超声显示肿块大部分为低回声密度,内部有一些高回声斑点。病理显示为施万细胞瘤。术后患者的勃起和射精功能均得以保留。我们的病例报告强调了术中或术前超声在评估精囊施万细胞瘤方面的潜力。

https://cdn.ncbi.nlm.nih.gov/pmc/blobs/4bc6/8330677/cc5679666a7b/JMU-29-123-g003.jpg
https://cdn.ncbi.nlm.nih.gov/pmc/blobs/4bc6/8330677/5c070044b769/JMU-29-123-g001.jpg
https://cdn.ncbi.nlm.nih.gov/pmc/blobs/4bc6/8330677/0206fcb43906/JMU-29-123-g002.jpg
https://cdn.ncbi.nlm.nih.gov/pmc/blobs/4bc6/8330677/cc5679666a7b/JMU-29-123-g003.jpg
https://cdn.ncbi.nlm.nih.gov/pmc/blobs/4bc6/8330677/5c070044b769/JMU-29-123-g001.jpg
https://cdn.ncbi.nlm.nih.gov/pmc/blobs/4bc6/8330677/0206fcb43906/JMU-29-123-g002.jpg
https://cdn.ncbi.nlm.nih.gov/pmc/blobs/4bc6/8330677/cc5679666a7b/JMU-29-123-g003.jpg

相似文献

1
Seminal Vesicle Schwannoma: Transrectal and Intraoperative Sonographic Findings.精囊神经鞘瘤:经直肠及术中超声检查结果
J Med Ultrasound. 2021 Jan 9;29(2):123-125. doi: 10.4103/JMU.JMU_68_20. eCollection 2021 Apr-Jun.
2
Seminal vesicle schwannoma presenting as rectal pain: successful robotic-assisted excision.表现为直肠疼痛的精囊神经鞘瘤:机器人辅助切除成功
Transl Androl Urol. 2017 Dec;6(6):1184-1186. doi: 10.21037/tau.2017.10.03.
3
Pelvic mass: Schwannoma of the left seminal vesicle.盆腔肿物:左侧精囊神经鞘瘤。
Andrologia. 2018 Oct;50(8):e13053. doi: 10.1111/and.13053. Epub 2018 May 24.
4
Multiple schwannoma of the seminal vesicle: A case report.精囊多发性神经鞘瘤:一例报告。
Medicine (Baltimore). 2020 Aug 14;99(33):e21603. doi: 10.1097/MD.0000000000021603.
5
Laparoscopic surgery combined with the double-J tube implantation for the rare cystic-solid schwannoma of seminal vesicle: A Case Report and Literature Review.腹腔镜手术联合双 J 管植入术治疗罕见精囊囊实性 schwann 瘤:病例报告及文献复习。
Medicine (Baltimore). 2022 Jul 15;101(28):e29352. doi: 10.1097/MD.0000000000029352.
6
Schwannoma of Seminal Vesicle: A Case Report.精囊神经鞘瘤:一例报告
Cureus. 2022 Dec 27;14(12):e32986. doi: 10.7759/cureus.32986. eCollection 2022 Dec.
7
Pleural Schwannoma Presenting As Musculoskeletal Type Pain: A Case Report.表现为肌肉骨骼型疼痛的胸膜神经鞘瘤:一例报告
Cureus. 2023 Apr 18;15(4):e37771. doi: 10.7759/cureus.37771. eCollection 2023 Apr.
8
Rare adrenal schwannoma treated with robotic-assisted adrenalectomy: A case report.机器人辅助肾上腺切除术治疗罕见肾上腺神经鞘瘤:一例报告
Urol Case Rep. 2024 Jul 22;56:102807. doi: 10.1016/j.eucr.2024.102807. eCollection 2024 Sep.
9
Case report of seminal vesical schwannoma treated with conservative strategy.采用保守策略治疗精囊神经鞘瘤的病例报告。
Medicine (Baltimore). 2020 Sep 18;99(38):e22307. doi: 10.1097/MD.0000000000022307.
10
Intramammary schwannoma: a palpable breast mass.乳腺内神经鞘瘤:一种可触及的乳腺肿块。
Radiol Case Rep. 2016 Jun 20;11(3):129-33. doi: 10.1016/j.radcr.2016.05.011. eCollection 2016 Sep.

引用本文的文献

1
Seminal vesicle schwannoma with chronic hemorrhage.伴有慢性出血的精囊神经鞘瘤
Neurosciences (Riyadh). 2025 Jan;30(1):59-63. doi: 10.17712/nsj.2025.1.20240073.

本文引用的文献

1
18F-FDG PET/CT of Seminal Vesicle Metastasis From Ascending Colon Adenocarcinoma.18F-FDG PET/CT 显像诊断升结肠癌转移至精囊腺
Clin Nucl Med. 2017 Feb;42(2):138-139. doi: 10.1097/RLU.0000000000001519.
2
Seminal vesicle schwannoma presenting with left hydroureteronephrosis.精囊神经鞘瘤伴左肾输尿管积水。
Urol Ann. 2014 Oct;6(4):363-5. doi: 10.4103/0974-7796.141007.
3
Pudendal schwannoma: A case report and literature review.阴部神经鞘瘤:一例病例报告及文献综述
Can Urol Assoc J. 2014 Mar-Apr;8(3-4):E199-203. doi: 10.5489/cuaj.1734.
4
Schwannoma, a rare tumor of the seminal vesicle.神经鞘瘤,一种罕见的精囊肿瘤。
Cent European J Urol. 2011;64(1):44-6. doi: 10.5173/ceju.2011.01.art10. Epub 2011 Mar 18.
5
Pathology of peripheral nerve sheath tumors: diagnostic overview and update on selected diagnostic problems.周围神经鞘瘤的病理学:诊断概述及部分诊断问题的更新。
Acta Neuropathol. 2012 Mar;123(3):295-319. doi: 10.1007/s00401-012-0954-z. Epub 2012 Feb 12.
6
Tongue base schwannoma: report, review, and unique surgical approach.舌根神经鞘瘤:病例报告、文献综述及独特手术方法
Am J Otolaryngol. 2008 Mar-Apr;29(2):119-22. doi: 10.1016/j.amjoto.2006.08.003.
7
Sonographic characteristics of peripheral nerve sheath tumors.周围神经鞘瘤的超声特征
AJR Am J Roentgenol. 2004 Mar;182(3):741-4. doi: 10.2214/ajr.182.3.1820741.
8
Sonographic appearances of nerve tumors.神经肿瘤的超声表现。
J Clin Ultrasound. 1999 Sep;27(7):363-8. doi: 10.1002/(sici)1097-0096(199909)27:7<363::aid-jcu1>3.0.co;2-7.