Suppr超能文献

一名年轻患者自发性股浅动脉假性动脉瘤的罕见病例:病例报告及文献复习

A rare case of spontaneous superficial femoral artery pseudoaneurysm in a young patient: case report and review of literature.

作者信息

Darigny Sandrine, Astarci Parla, Elens Maxime

机构信息

Department of Cardiovascular and Thoracic Surgery, St Luc Hospital, Catholic University of Louvain, Brussels, Belgium.

出版信息

J Surg Case Rep. 2021 Aug 10;2021(8):rjab327. doi: 10.1093/jscr/rjab327. eCollection 2021 Aug.

Abstract

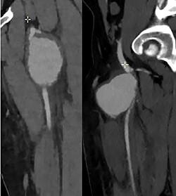
Spontaneous femoral artery pseudoaneurysm (PSA) is a rare disease and there are few reported cases. We report a case of a 17-year-old male with increasing left leg pain associated with swelling at the site of the pain. We observed a voluminous pulsatile mass. He had no history of trauma or surgery. Imaging confirmed a large PSA of the proximal portion of the left superficial femoral artery (SFA). The PSA was treated by resection of the aneurysm, reconstruction with inter-positional saphenous vein graft. Three months later; he came back to the emergency room for a pulsatile mass. The scan showed a PSA of his left SFA and a hematoma with active bleeding. It was treated surgically by resection of the aneurysm and reconstruction with graft.

摘要

自发性股动脉假性动脉瘤(PSA)是一种罕见疾病,报道的病例很少。我们报告一例17岁男性,左腿疼痛加重,疼痛部位伴有肿胀。我们观察到一个巨大的搏动性肿块。他没有外伤或手术史。影像学检查证实左股浅动脉(SFA)近端有一个大的PSA。通过切除动脉瘤、用大隐静脉间置移植进行重建来治疗该PSA。三个月后,他因搏动性肿块回到急诊室。扫描显示其左SFA有一个PSA和一个有活动性出血的血肿。通过切除动脉瘤并用移植物进行重建进行手术治疗。

https://cdn.ncbi.nlm.nih.gov/pmc/blobs/8f5c/8354679/7f51e9078682/rjab327f1.jpg

文献AI研究员

20分钟写一篇综述,助力文献阅读效率提升50倍。

立即体验

用中文搜PubMed

大模型驱动的PubMed中文搜索引擎

马上搜索

文档翻译

学术文献翻译模型,支持多种主流文档格式。

立即体验