Han Chenchen, Li Yifan, Zhang Yuwen, Wang Yang, Cui Dongqian, Luo Tingting, Zhang Yu, Liu Qian, Li Hao, Wang Chun, Xu Dexiang, Ma Yang, Wei Wei
Institute of Clinical Pharmacology, Anhui Medical University, Key Laboratory of Anti-Inflammatory and Immune Medicine (Anhui Medical University), Ministry of Education, Anhui Collaborative Innovation Center of Anti-inflammatory and Immune Medicine, Hefei 230032, China.
Public Health and Preventive Medicine Postdoctoral Research Station of Anhui Medical University, Hefei 230032, China.
Acta Pharm Sin B. 2021 Jul;11(7):1835-1852. doi: 10.1016/j.apsb.2021.01.015. Epub 2021 Jan 23.
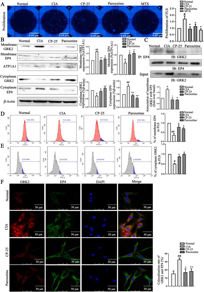
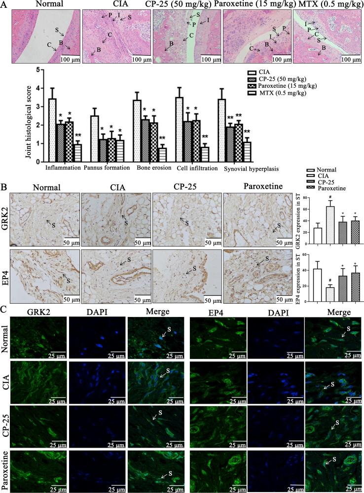
Rheumatoid arthritis (RA) is an autoimmune disease and is mainly characterized by abnormal proliferation of fibroblast-like synoviocytes (FLS). The up-regulated cellular membrane expression of G protein coupled receptor kinase 2 (GRK2) of FLS plays a critical role in RA progression, the increase of GRK2 translocation activity promotes dysfunctional prostaglandin E4 receptor (EP4) signaling and FLS abnormal proliferation. Recently, although our group found that paeoniflorin-6'--benzene sulfonate (CP-25), a novel compound, could reverse FLS dysfunction GRK2, little is known as to how GRK2 translocation activity is suppressed. Our findings revealed that GRK2 expression up-regulated and EP4 expression down-regulated in synovial tissues of RA patients and collagen-induced arthritis (CIA) rats, and prostaglandin E2 (PGE2) level increased in arthritis. CP-25 could down-regulate GRK2 expression, up-regulate EP4 expression, and improve synovitis of CIA rats. CP-25 and GRK2 inhibitors (paroxetine or GSK180736A) inhibited the abnormal proliferation of FLS in RA patients and CIA rats by down-regulating GRK2 translocation to EP4 receptor. The results of microscale thermophoresis (MST), cellular thermal shift assay, and inhibition of kinase activity assay indicated that CP-25 could directly target GRK2, increase the protein stability of GRK2 in cells, and inhibit GRK2 kinase activity. The docking of CP-25 and GRK2 suggested that the kinase domain of GRK2 might be an important active pocket for CP-25. G201, K220, K230, A321, and D335 in kinase domain of GRK2 might form hydrogen bonds with CP-25. Site-directed mutagenesis and co-immunoprecipitation assay further revealed that CP-25 down-regulated the interaction of GRK2 and EP4 controlling the key amino acid residue of Ala321 of GRK2. Our data demonstrate that FLS proliferation is regulated by GRK2 translocation to EP4. Targeted inhibition of GRK2 kinase domain by CP-25 improves FLS function and represents an innovative drug for the treatment of RA by targeting GRK2.
类风湿关节炎(RA)是一种自身免疫性疾病,主要特征为成纤维样滑膜细胞(FLS)异常增殖。FLS中G蛋白偶联受体激酶2(GRK2)细胞膜表达上调在RA进展中起关键作用,GRK2易位活性增加促进功能失调的前列腺素E4受体(EP4)信号传导及FLS异常增殖。最近,尽管我们团队发现新型化合物芍药苷-6'-苯磺酸盐(CP-25)可逆转FLS中GRK2功能障碍,但对于GRK2易位活性如何被抑制却知之甚少。我们的研究结果显示,RA患者及胶原诱导性关节炎(CIA)大鼠的滑膜组织中GRK2表达上调而EP4表达下调,且关节炎中前列腺素E2(PGE2)水平升高。CP-25可下调GRK2表达,上调EP4表达,并改善CIA大鼠的滑膜炎。CP-25和GRK2抑制剂(帕罗西汀或GSK180736A)通过下调GRK2向EP4受体的易位抑制RA患者及CIA大鼠中FLS的异常增殖。微量热泳动(MST)、细胞热迁移分析及激酶活性抑制分析结果表明,CP-25可直接靶向GRK2,增加细胞中GRK2的蛋白质稳定性,并抑制GRK2激酶活性。CP-25与GRK2的对接表明,GRK2的激酶结构域可能是CP-25的重要活性口袋。GRK2激酶结构域中的G_{201}、K_{220}、K_{230}、A_{321}和D_{335}可能与CP-25形成氢键。定点诱变及免疫共沉淀分析进一步揭示,CP-25通过控制GRK2的关键氨基酸残基Ala_{321}下调GRK2与EP4的相互作用。我们的数据表明,FLS增殖受GRK2向EP4易位的调控。CP-25对GRK2激酶结构域的靶向抑制改善了FLS功能,代表了一种通过靶向GRK2治疗RA的创新药物。