Suppr超能文献

快速致命的 SMARCA4 缺陷型未分化肉瘤源于足部的混合含铁血黄素纤维脂肪瘤样肿瘤/多形性玻璃样血管扩张性肿瘤。

Rapidly fatal SMARCA4-deficient undifferentiated sarcoma originating from hybrid hemosiderotic fibrolipomatous tumor/pleomorphic hyalinizing angiectatic tumor of the foot.

机构信息

Institute of Pathology, Friedrich-Alexander University Erlangen-Nürnberg (FAU), Erlangen, Germany.

Departments of Internal Medicine 5 (Medical Oncology and Hematology), Friedrich-Alexander University Erlangen-Nürnberg (FAU), Erlangen, Germany.

出版信息

Virchows Arch. 2022 May;480(5):1115-1120. doi: 10.1007/s00428-021-03167-6. Epub 2021 Aug 14.

Abstract

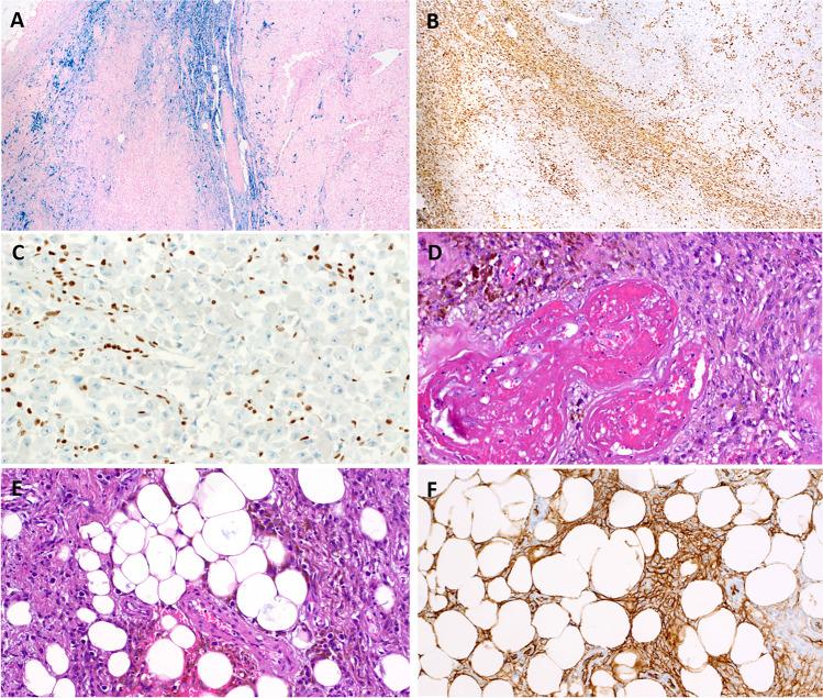
Pleomorphic hyalinizing angiectatic tumor (PHAT) of soft parts and hemosiderotic fibrolipomatous tumor (HFLT) are two rare low-grade locally recurring neoplasms with predilection for the foot/ankle. Recent studies support a close link between the two entities, and origin of PHAT from HFLT and occurrence of hybrid HFLT/PHAT have been documented. Both lesions often harbor TGFBR3 or MGEA5 rearrangements. Rare sarcomas originating from HFLT/PHAT have been reported, typically resembling myxofibrosarcoma or myxoinflammatory fibroblastic sarcoma. We describe a novel SMARCA4-deficient undifferentiated sarcoma with rhabdoid features originating from hybrid HFLT/PHAT in the foot of a 54-year-old male. The tumor pursued a highly aggressive course with rapid regrowth after resection and multiple metastases resulting in patient's death within 5 months, despite systemic chemotherapy. Immunohistochemistry revealed SMARCA4 loss in the undifferentiated sarcoma, but not in the HFLT/PHAT. Molecular testing confirmed TGFBR3/MGEA5 rearrangements. This report expands the phenotypes of sarcomas developing from pre-existing PHAT/HFLT.

摘要

多形性透明血管性肿瘤(PHAT)和含铁血黄素纤维脂肪瘤样肿瘤(HFLT)是两种罕见的低度局部复发性肿瘤,好发于足/踝关节。最近的研究支持这两种肿瘤密切相关,PHAT 起源于 HFLT,混合性 HFLT/PHAT 也有报道。两种病变通常都存在 TGFBR3 或 MGEA5 重排。也有源自 HFLT/PHAT 的罕见肉瘤报道,通常类似于黏液纤维肉瘤或黏液炎症性成纤维细胞肉瘤。我们描述了一例源自混合性 HFLT/PHAT 的足部新型 SMARCA4 缺陷未分化肉瘤,具有横纹肌样特征。该肿瘤具有高度侵袭性,切除后迅速复发,并发生多处转移,尽管进行了全身化疗,患者仍在 5 个月内死亡。免疫组化显示未分化肉瘤中存在 SMARCA4 缺失,但 HFLT/PHAT 中不存在。分子检测证实存在 TGFBR3/MGEA5 重排。本报告扩展了源自先前存在的 PHAT/HFLT 的肉瘤的表型。

https://cdn.ncbi.nlm.nih.gov/pmc/blobs/1648/9033724/1a75e6f5524a/428_2021_3167_Fig1_HTML.jpg

文献AI研究员

20分钟写一篇综述,助力文献阅读效率提升50倍。

立即体验

用中文搜PubMed

大模型驱动的PubMed中文搜索引擎

马上搜索

文档翻译

学术文献翻译模型,支持多种主流文档格式。

立即体验