Suppr超能文献

YAP 依赖性 BiP 诱导参与尼古丁介导的口腔癌恶性转化。

YAP-Dependent BiP Induction Is Involved in Nicotine-Mediated Oral Cancer Malignancy.

机构信息

Graduate Institute of Medical Sciences, National Defense Medical Center, Taipei 114, Taiwan.

Molecular and Cell Biology, Taiwan International Graduate Program, Academia Sinica and Graduate Institute of Life Science, National Defense Medical Center, Taipei 114, Taiwan.

出版信息

Cells. 2021 Aug 13;10(8):2080. doi: 10.3390/cells10082080.

Abstract

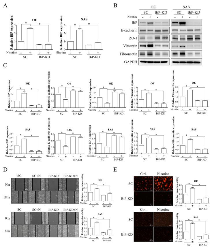
Cigarette smoking is a significant risk factor for the development and progression of oral cancer. Previous studies have reported an association between nicotine and malignancy in oral cancer. Recent studies have also demonstrated that nicotine can induce endoplasmic reticulum (ER) stress in tumor cells. Binding immunoglobulin protein (BiP) acts as a master regulator of ER stress and is frequently overexpressed in oral cancer cell lines and tissues. However, the effect of nicotine on BiP in oral cancer is unknown. Therefore, this study aimed to evaluate the role of BiP and its underlying regulatory mechanisms in nicotine-induced oral cancer progression. Our results showed that nicotine significantly induced the expression of BiP in time- and dose-dependent manners in oral squamous cell carcinoma (OSCC) cells. In addition, BiP was involved in nicotine-mediated OSCC malignancy, and depletion of BiP expression remarkably suppressed nicotine-induced malignant behaviors, including epithelial-mesenchymal transition (EMT) change, migration, and invasion. In vivo, BiP silencing abrogated nicotine-induced tumor growth and EMT switch in nude mice. Moreover, nicotine stimulated BiP expression through the activation of the YAP-TEAD transcriptional complex. Mechanistically, we observed that nicotine regulated YAP nuclear translocation and its interaction with TEAD through α7-nAChR-Akt signaling, subsequently resulting in increased TEAD occupancy on the HSPA5 promoter and elevated promoter activity. These observations suggest that BiP is involved in nicotine-induced oral cancer malignancy and may have therapeutic potential in tobacco-related oral cancer.

摘要

吸烟是口腔癌发生和发展的重要危险因素。先前的研究已经报道了尼古丁与口腔癌恶性之间的关联。最近的研究还表明,尼古丁可以诱导肿瘤细胞内质网(ER)应激。结合免疫球蛋白蛋白(BiP)作为 ER 应激的主要调节剂,在口腔癌细胞系和组织中经常过表达。然而,尼古丁对口腔癌中 BiP 的影响尚不清楚。因此,本研究旨在评估 BiP 在尼古丁诱导的口腔癌进展中的作用及其潜在的调节机制。我们的结果表明,尼古丁在时间和剂量依赖性方式下显著诱导口腔鳞状细胞癌(OSCC)细胞中 BiP 的表达。此外,BiP 参与了尼古丁介导的 OSCC 恶性,BiP 表达的耗竭显著抑制了尼古丁诱导的恶性行为,包括上皮-间充质转化(EMT)改变、迁移和侵袭。在体内,BiP 沉默阻止了尼古丁诱导的裸鼠肿瘤生长和 EMT 转换。此外,尼古丁通过激活 YAP-TEAD 转录复合物刺激 BiP 表达。在机制上,我们观察到尼古丁通过α7-nAChR-Akt 信号调节 YAP 核易位及其与 TEAD 的相互作用,从而导致 TEAD 在内质网应激基因 HSPA5 启动子上的占有率增加和启动子活性升高。这些观察结果表明,BiP 参与了尼古丁诱导的口腔癌恶性,并且在与烟草相关的口腔癌中可能具有治疗潜力。

https://cdn.ncbi.nlm.nih.gov/pmc/blobs/0a66/8392082/8498c0235a6c/cells-10-02080-g001.jpg

文献AI研究员

20分钟写一篇综述,助力文献阅读效率提升50倍。

立即体验

用中文搜PubMed

大模型驱动的PubMed中文搜索引擎

马上搜索

文档翻译

学术文献翻译模型,支持多种主流文档格式。

立即体验