Suppr超能文献

经改良的耳前小切口直接经腮腺途径用于髁突骨折切开复位内固定术。

Direct transparotid approach via a modified mini-preauricular incision for open reduction and internal fixation of subcondylar fractures.

作者信息

Lee Jung-Soo, Kang Sang-Hoon

机构信息

Department of Oral and Maxillofacial Surgery, National Health Insurance Service Ilsan Hospital, Goyang, Korea.

出版信息

J Korean Assoc Oral Maxillofac Surg. 2021 Aug 31;47(4):327-334. doi: 10.5125/jkaoms.2021.47.4.327.

Abstract

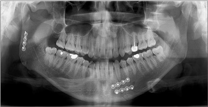
A transparotid approach, with a retromandibular or preauricular incision, is an alternative surgical approach for treating a subcondylar fracture and reducing the potential for complications such as injury to the facial nerves. However, retromandibular and preauricular incisions are both created far away from the parotid gland-dissection area. Thus, it is necessary to undermine the skin and retract it anteriorly to access the surgical field. Here, we introduce a modified approach wherein the incision allows for direct access to the fracture site. This approach may be adopted to shorten the incision length, reduce the retraction trauma at the surgical site, and help prevent injury to the facial nerve.

摘要

采用下颌后或耳前切口的透明入路是治疗髁突骨折和降低诸如面神经损伤等并发症可能性的另一种手术方法。然而,下颌后和耳前切口均远离腮腺解剖区域。因此,有必要分离皮肤并向前牵拉以进入手术视野。在此,我们介绍一种改良方法,该方法通过切口可直接进入骨折部位。可采用此方法缩短切口长度,减少手术部位的牵拉创伤,并有助于防止面神经损伤。

https://cdn.ncbi.nlm.nih.gov/pmc/blobs/9099/8408647/ff79430a47fc/jkaoms-47-4-327-f1.jpg

相似文献

1
Direct transparotid approach via a modified mini-preauricular incision for open reduction and internal fixation of subcondylar fractures.
J Korean Assoc Oral Maxillofac Surg. 2021 Aug 31;47(4):327-334. doi: 10.5125/jkaoms.2021.47.4.327.
2
Experience with the transparotid approach via a mini-preauricular incision for surgical management of condylar neck fractures.
J Craniomaxillofac Surg. 2015 Oct;43(8):1595-601. doi: 10.1016/j.jcms.2015.07.023. Epub 2015 Jul 31.
3
Evaluation of Mini-Preauricular Incision in the Surgical Management of Condylar Fracture.
Cureus. 2022 Nov 21;14(11):e31725. doi: 10.7759/cureus.31725. eCollection 2022 Nov.
5
Facial nerve injuries associated with the retromandibular transparotid approach for reduction and fixation of mandibular condyle fractures.
J Craniomaxillofac Surg. 2015 Apr;43(3):402-7. doi: 10.1016/j.jcms.2014.12.009. Epub 2014 Dec 20.
6
Retromandibular transparotid approach for subcondylar mandibular fracture: A retrospective study.
Dent Traumatol. 2021 Apr;37(2):314-320. doi: 10.1111/edt.12626. Epub 2020 Nov 29.
7
Variations in the retromandibular approach to the condyle-transparotid versus anteroparotid transmasseteric - a prospective clinical comparative study.
J Stomatol Oral Maxillofac Surg. 2020 Feb;121(1):14-18. doi: 10.1016/j.jormas.2019.06.008. Epub 2019 Jul 2.
8
Evaluation of facial nerve following open reduction and internal fixation of subcondylar fracture through retromandibular transparotid approach.
Br J Oral Maxillofac Surg. 2014 Mar;52(3):236-40. doi: 10.1016/j.bjoms.2013.12.002. Epub 2013 Dec 23.
9
The Retromandibular Transparotid Approach for Reduction and Internal Fixation of Mandibular Condylar Fractures.
Ann Maxillofac Surg. 2020 Jan-Jun;10(1):168-177. doi: 10.4103/ams.ams_193_19. Epub 2020 Jun 8.
10
Preauricular transparotid approach to mandibular condylar fractures without dissecting facial nerves.
J Craniofac Surg. 2013 Jul;24(4):1365-7. doi: 10.1097/SCS.0b013e318285d9a3.

本文引用的文献

1
An Anatomical Landmark for Retromandibular Transparotid Approach to Treat Subcondylar Fractures.
J Craniofac Surg. 2021;32(5):e427-e429. doi: 10.1097/SCS.0000000000007233.
2
Mandibular subcondylar fracture accessibility with transparotid approach by rhytidectomy and modified Risdon approach: An anatomical comparative study.
J Craniomaxillofac Surg. 2018 Dec;46(12):2256-2260. doi: 10.1016/j.jcms.2018.10.011. Epub 2018 Oct 19.
3
Complications of the retromandibular transparotid approach for low condylar neck and subcondylar fractures: a retrospective study.
J Korean Assoc Oral Maxillofac Surg. 2018 Apr;44(2):73-78. doi: 10.5125/jkaoms.2018.44.2.73. Epub 2018 Apr 25.
4
Does a Retromandibular Transparotid Approach for the Open Treatment of Condylar Fractures Result in Facial Nerve Injury?
J Oral Maxillofac Surg. 2016 Oct;74(10):2019-32. doi: 10.1016/j.joms.2016.05.022. Epub 2016 May 26.
5
Experience with the transparotid approach via a mini-preauricular incision for surgical management of condylar neck fractures.
J Craniomaxillofac Surg. 2015 Oct;43(8):1595-601. doi: 10.1016/j.jcms.2015.07.023. Epub 2015 Jul 31.
6
Facial nerve injuries associated with the retromandibular transparotid approach for reduction and fixation of mandibular condyle fractures.
J Craniomaxillofac Surg. 2015 Apr;43(3):402-7. doi: 10.1016/j.jcms.2014.12.009. Epub 2014 Dec 20.
7
Evaluation of facial nerve following open reduction and internal fixation of subcondylar fracture through retromandibular transparotid approach.
Br J Oral Maxillofac Surg. 2014 Mar;52(3):236-40. doi: 10.1016/j.bjoms.2013.12.002. Epub 2013 Dec 23.
8
Preauricular transparotid approach to mandibular condylar fractures without dissecting facial nerves.
J Craniofac Surg. 2013 Jul;24(4):1365-7. doi: 10.1097/SCS.0b013e318285d9a3.
9
The application of the Risdon approach for mandibular condyle fractures.
BMC Surg. 2013 Jul 6;13:25. doi: 10.1186/1471-2482-13-25.
10
Incidence and patterns of mandibular fractures during a 5-year period in a London teaching hospital.
Br J Oral Maxillofac Surg. 2013 Dec;51(8):794-8. doi: 10.1016/j.bjoms.2013.04.007. Epub 2013 Jun 2.

文献AI研究员

20分钟写一篇综述,助力文献阅读效率提升50倍。

立即体验

用中文搜PubMed

大模型驱动的PubMed中文搜索引擎

马上搜索

文档翻译

学术文献翻译模型,支持多种主流文档格式。

立即体验