Suppr超能文献

自发性髂静脉破裂:一种罕见但常致命的事件。

Spontaneous iliac vein rupture: An uncommon, but frequently lethal, event.

作者信息

McCready Robert A, Kiell Charles S, Webb Thomas H

机构信息

Department of Vascular Surgery, Franciscan Alliance, Indianapolis, Ind.

出版信息

J Vasc Surg Cases Innov Tech. 2021 Jul 1;7(3):558-562. doi: 10.1016/j.jvscit.2021.06.011. eCollection 2021 Sep.

Abstract

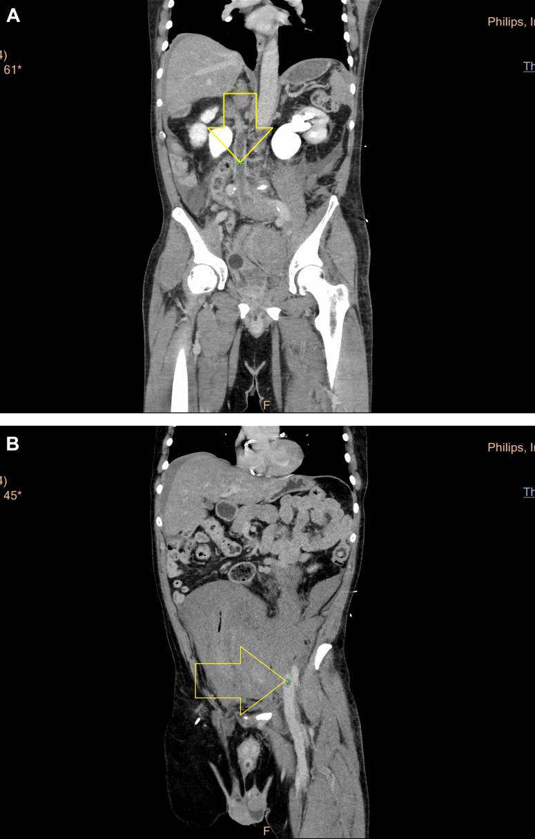
Spontaneous rupture of the iliac veins is a distinctly uncommon problem often misdiagnosed as an arterial rupture because of significant retroperitoneal bleeding. It often occurs with acute left-sided deep vein thrombosis and physical activities that exacerbate acute venous hypertension. A significant number of these patients will have anatomy associated with May-Thurner syndrome. Delayed imaging on computed tomography scanning might suggest a venous etiology for a retroperitoneal hematoma rather than arterial bleeding. We found 53 previously reported cases of iliac vein rupture Our report details two additional cases and the treatment options and outcomes.

摘要

髂静脉自发性破裂是一个明显罕见的问题,由于严重的腹膜后出血,常被误诊为动脉破裂。它常与急性左侧深静脉血栓形成以及加剧急性静脉高压的体力活动有关。相当一部分此类患者会有与May-Thurner综合征相关的解剖结构。计算机断层扫描的延迟成像可能提示腹膜后血肿的静脉病因而非动脉出血。我们发现了53例先前报道的髂静脉破裂病例。我们的报告详细介绍了另外两例病例以及治疗方案和结果。

https://cdn.ncbi.nlm.nih.gov/pmc/blobs/6295/8403535/b680e46c1b2d/gr1.jpg

文献AI研究员

20分钟写一篇综述,助力文献阅读效率提升50倍。

立即体验

用中文搜PubMed

大模型驱动的PubMed中文搜索引擎

马上搜索

文档翻译

学术文献翻译模型,支持多种主流文档格式。

立即体验