Qasim Abdallah, Buaisha Haitam, Abuhazeem Bader, Jenkins Erin
Internal Medicine Department, Creighton University, Omaha, Nebraska.
Division of Gastroenterology, CHI Health Creighton University School of Medicine, Omaha, Nebraska.
ACG Case Rep J. 2021 May 19;8(5):e00602. doi: 10.14309/crj.0000000000000602. eCollection 2021 May.
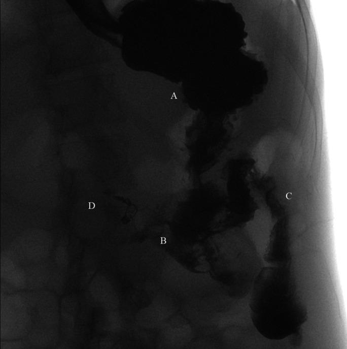
We present a case of a pregnant woman admitted for malnutrition secondary to a large gastrocolic fistula (GCF). She has a history of perforated duodenal ulcer that required surgical pyloroplasty 6 years ago. This fistula was diagnosed on the gastrointestinal barium series showing direct transit of barium from the stomach to the colon. An upper endoscopy showed a large gastrocolonic fistula with stool leaking to the stomach. Her nutrition was optimized, then she underwent surgical repair. GCF is suspected in the patient presenting with malnutrition with a history of intra-abdominal surgery.
我们报告一例因巨大胃结肠瘘(GCF)继发营养不良而入院的孕妇。她有十二指肠溃疡穿孔病史,6年前接受了手术幽门成形术。该瘘在胃肠道钡剂造影检查中被诊断出来,显示钡剂从胃直接进入结肠。上消化道内镜检查显示一个巨大的胃结肠瘘,粪便漏入胃内。对她的营养状况进行了优化,然后她接受了手术修复。对于有腹部手术史且出现营养不良的患者,应怀疑存在胃结肠瘘。