Suppr超能文献

Automatic implantable cardioverter defibrillator (AICD) within the abdomen as a cause of adhesive small bowel obstruction (ASBO): a case report.

作者信息

Shean Christopher J W, Butt Amir

机构信息

Department of General Surgery, The Canberra Hospital, Garran, ACT, Australia.

出版信息

J Surg Case Rep. 2021 Sep 27;2021(9):rjab423. doi: 10.1093/jscr/rjab423. eCollection 2021 Sep.

Abstract

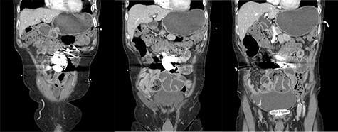
Adhesive small bowel obstruction (ASBO) is commonly caused by intra-abdominal adhesions, usually from prior surgery. Conservative management is the mainstay of treatment, with adhesiolysis required for non-resolving obstruction. An unusual patient presentation of ASBO is presented here, where the cause is proposed as an automatic implantable cardioverter defibrillator (AICD) within the abdomen. Although the patient had several presentations of ASBO successfully treated with conservative management, a non-resolving obstruction required surgical management. At laparotomy, the AICD was found to be in close association with extensive matted adhesions to adjacent small bowel. Adhesiolysis was performed, with the AICD implanted in a subrectus pocket. The patient had an uncomplicated recovery, and at review 6 weeks following the operation was found to have a normal bowel habit with nil further episodes concerning for obstruction. This case highlights the importance of non-classical risk factors being a possible cause of ASBO.

摘要
https://cdn.ncbi.nlm.nih.gov/pmc/blobs/8719/8478473/5d54ff6171e5/rjab423f1.jpg

文献AI研究员

20分钟写一篇综述,助力文献阅读效率提升50倍。

立即体验

用中文搜PubMed

大模型驱动的PubMed中文搜索引擎

马上搜索

文档翻译

学术文献翻译模型,支持多种主流文档格式。

立即体验