Suppr超能文献

阴茎头原发性结核:一种罕见的表现及文献综述。

Primary tuberculosis of the glans penis: A rare presentation and review of literature.

作者信息

Tapsoba Abdoul Kader, Bibi Mokhtar, Traoré Tiéoulé Mamadou, Ayari Asma, Ben Rhouma Sami, Nouira Yassine

机构信息

University of Joseph Ki-Zerbo, Ouagadougou, Burkina Faso.

Departement of Urology, La Rabta Hospital, Tunis, 1001, Tunisia.

出版信息

Urol Case Rep. 2021 Sep 20;39:101858. doi: 10.1016/j.eucr.2021.101858. eCollection 2021 Nov.

Abstract

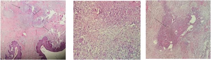
Tuberculosis poses a real public health problem inTunisia.We report an 80-year old patient, immunocompetent, who has initial presentation of a painless ulcerative lesions of the glans penis. A history of pulmonary tuberculosis was not present.The physical examination revealed an indurated glans penis covered with blackish crusts and small ulcerations. A biopsy of the lesion was undertaken and histological examination was confirmed the diagnosis of tuberculosis of glans.Others investigations was performed without finding any abnormalities He responded well to anti-tubercular treatment with complete resolution of lesions in six months.

摘要

结核病在突尼斯构成了一个切实的公共卫生问题。我们报告了一名80岁免疫功能正常的患者,其最初表现为阴茎头无痛性溃疡性病变。无肺结核病史。体格检查发现阴茎头硬结,覆盖有黑色痂皮和小溃疡。对病变进行了活检,组织学检查确诊为阴茎头结核。还进行了其他检查,未发现任何异常。他对抗结核治疗反应良好,六个月内病变完全消退。

https://cdn.ncbi.nlm.nih.gov/pmc/blobs/0327/8473655/ede7559ab470/gr1.jpg

文献AI研究员

20分钟写一篇综述,助力文献阅读效率提升50倍。

立即体验

用中文搜PubMed

大模型驱动的PubMed中文搜索引擎

马上搜索

文档翻译

学术文献翻译模型,支持多种主流文档格式。

立即体验