Suppr超能文献

CT引导下立体定向消融近距离放射治疗不可切除早期非小细胞肺癌的临床结果:一项回顾性多中心研究

Clinical Outcome of CT-Guided Stereotactic Ablative Brachytherapy for Unresectable Early Non-Small Cell Lung Cancer: A Retrospective, Multicenter Study.

作者信息

Ji Zhe, Huo Bin, Liu Shifeng, Liang Qinghua, Xing Chao, Hu Miaomiao, Ma Yanli, Wang Zhe, Zhao Xinxin, Song Yuqing, Wang Yufeng, Han Hongmei, Zhang Kaixian, Wang Ruoyu, Chai Shude, Huang Xuequan, Hu Xiaokun, Wang Junjie

机构信息

Department of Radiation Oncology, Peking University Third Hospital, Beijing, China.

Department of Thoracic Surgery/Department of Oncology, The Second Hospital of Tianjin Medical University, Tianjin, China.

出版信息

Front Oncol. 2021 Sep 15;11:706242. doi: 10.3389/fonc.2021.706242. eCollection 2021.

Abstract

OBJECTIVE

To analyze the efficacy and safety of low dose rate stereotactic ablative brachytherapy (L-SABT) for treatment of unresectable early-stage non-small cell lung cancer (NSCLC).

METHODS

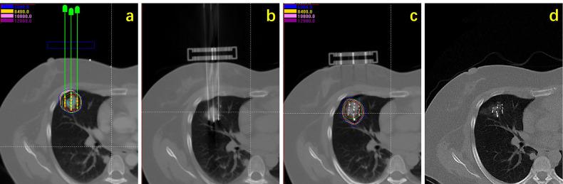
Data of patients with early-stage NSCLC who received CT-guided L-SABT (radioactive I-125 seeds implantation) at eight different centers from December 2010 to August 2020 were retrospectively analyzed. Treatment efficacy and complications were evaluated.

RESULTS

A total of 99 patients were included in this study. Median follow-up duration was 46.3 months (6.1-119.3 months). The 1-year, 3-year, and 5-year local control rates were 89.1%, 77.5%, and 75.7%, respectively. The 1-year, 3-year, and 5-year overall survival rates were 96.7%, 70.1%, and 54.4%, respectively. Treatment failure occurred in 38.4% of patients. Local/regional recurrence, distant metastasis, and recurrence combined with metastasis accounted for 15.1%, 12.1%, and 11.1%, respectively. Pneumothorax occurred in 47 patients (47.5%) with 19 cases (19.2%) needing closed drainage. The only radiation-related adverse reaction was two cases of grade 2 radiation pneumonia. KPS 80-100, T1, the lesion was located in the left lobe, GTV D90 ≥150 Gy and the distance between the lesion and chest wall was < 1 cm, were associated with better local control (all < 0.05); on multivariate analysis KPS, GTV D90, and the distance between the lesion and chest wall were independent prognostic factors for local control (all < 0.05). KPS 80-100, T1, GTV D90 ≥150 Gy, and the distance between the lesion and chest wall was < 1 cm were also associated with better survival (all < 0.05); on multivariate analysis KPS, T stage, and GTV D90 were independent prognostic factors for survival (all < 0.05). The incidence of pneumothorax in patients with lesions <1 cm and ≥1cm from the chest wall was 33.3% and 56.7%, respectively, and the differences were statistically significant ( = 0.026).

CONCLUSION

L-SABT showed acceptable efficacy in the treatment of unresectable early-stage NSCLC. But the incidence of pneumothorax is high. For patients with T1 stage and lesions <1 cm from the chest wall, it may have better efficacy. Prescription dose greater than 150 Gy may bring better results.

摘要

目的

分析低剂量率立体定向消融近距离放射治疗(L-SABT)治疗不可切除的早期非小细胞肺癌(NSCLC)的疗效和安全性。

方法

回顾性分析2010年12月至2020年8月在八个不同中心接受CT引导下L-SABT(放射性I-125粒子植入)的早期NSCLC患者的数据。评估治疗疗效和并发症。

结果

本研究共纳入99例患者。中位随访时间为46.3个月(6.1 - 119.3个月)。1年、3年和5年的局部控制率分别为89.1%、77.5%和75.7%。1年、3年和5年的总生存率分别为96.7%、70.1%和54.4%。38.4%的患者出现治疗失败。局部/区域复发、远处转移以及复发合并转移分别占15.1%、12.1%和11.1%。47例患者(47.5%)发生气胸,其中19例(19.2%)需要闭式引流。唯一与放疗相关的不良反应为2例2级放射性肺炎。KPS 80 - 100、T1期、病灶位于左叶、GTV D90≥150 Gy以及病灶与胸壁距离<1 cm与更好的局部控制相关(均P<0.05);多因素分析显示KPS、GTV D90以及病灶与胸壁距离是局部控制的独立预后因素(均P<0.05)。KPS 80 - 100、T1期、GTV D90≥150 Gy以及病灶与胸壁距离<1 cm也与更好的生存相关(均P<0.05);多因素分析显示KPS、T分期和GTV D90是生存的独立预后因素(均P<0.05)。病灶距胸壁<1 cm和≥1 cm患者的气胸发生率分别为33.3%和56.7%,差异有统计学意义(P = 0.026)。

结论

L-SABT治疗不可切除的早期NSCLC显示出可接受的疗效。但气胸发生率较高。对于T1期且病灶距胸壁<1 cm的患者,可能有更好的疗效。处方剂量大于150 Gy可能带来更好的结果。

https://cdn.ncbi.nlm.nih.gov/pmc/blobs/cbb4/8480264/073f9e59f1e5/fonc-11-706242-g001.jpg

文献AI研究员

20分钟写一篇综述,助力文献阅读效率提升50倍。

立即体验

用中文搜PubMed

大模型驱动的PubMed中文搜索引擎

马上搜索

文档翻译

学术文献翻译模型,支持多种主流文档格式。

立即体验