Suppr超能文献

1例新型冠状病毒肺炎患者合并获得性免疫缺陷综合征相关卡波西肉瘤——艾滋病合并新型冠状病毒肺炎感染及其治疗挑战简述!

A case of acquired immunodeficiency syndrome-related Kaposi sarcoma in a patient with COVID-19 - A brief review of HIV-COVID Co-infection and its Therapeutic challenges!

作者信息

Nasrullah Adeel, Patel Samir, Ud Din Mian Tanveer, Javed Anam, Arshad Hammad, Raja Atif, Dumont Tiffany

机构信息

Division of Pulmonology and Critical Care, Allegheny Health Network, Pittsburgh, PA, USA.

Department of Internal Medicine, Allegheny Health Network, Pittsburgh, PA, USA.

出版信息

Respir Med Case Rep. 2021;34:101524. doi: 10.1016/j.rmcr.2021.101524. Epub 2021 Oct 6.

Abstract

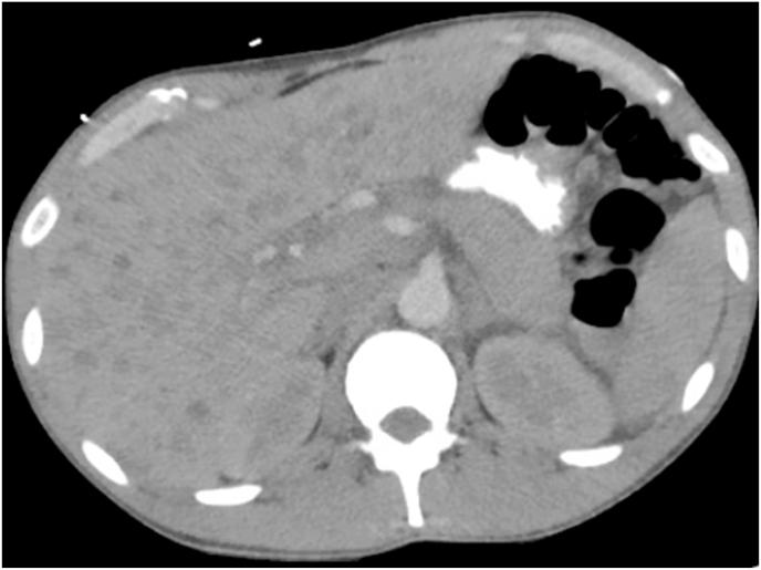
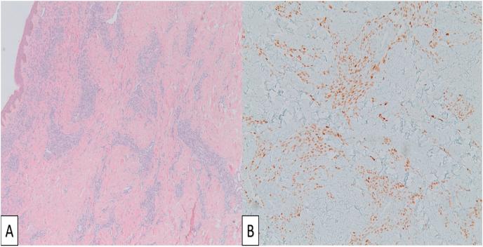
Barriers posed by the COVID-19 pandemic have led to reduced access to Human Immunodeficiency virus (HIV) care, leaving untreated patients at risk for various superimposed infections and malignancies such as Kaposi sarcoma (KS). We recently encountered a 37-year-old African-American male with a past medical history of HIV who tested positive for SARS-CoV-2 and was diagnosed with AIDS-related disseminated KS, representing the first reported case of COVID-19 infection with a newly diagnosed concomitant KS. The patient experienced multi-organ failure requiring tracheostomy, renal replacement therapy, and a prolonged intensive care unit (ICU) stay. Goals of care were changed to comfort measures and the patient passed away shortly afterwards. He was made comfort measures and passed away shortly afterwards. AIDS-related KS is a vascular tumor seen in association with (HHV-8). Management of limited AIDS-related KS typically includes combined antiretroviral therapy (ART) while multi-organ KS disease demands systemic chemotherapy. Immunosuppression should be avoided in patients with AIDS-related KS as it can lead to progression of KS. This recommendation is in conflict with the usual standard of care for patients with COVID-19 pneumonia, requiring clinical judgment and a customized approach based on the stage and severity of both the KS and the COVID-related disease. We briefly review HIV-COVID-19 coinfection, AIDS related KS and challenges associated with their management.

摘要

2019年冠状病毒病(COVID-19)大流行造成的障碍导致获得人类免疫缺陷病毒(HIV)治疗的机会减少,使未经治疗的患者面临各种叠加感染和恶性肿瘤的风险,如卡波西肉瘤(KS)。我们最近遇到一名37岁的非裔美国男性,他有HIV病史,SARS-CoV-2检测呈阳性,被诊断为艾滋病相关播散性KS,这是首例报告的COVID-19感染合并新诊断KS的病例。该患者出现多器官功能衰竭,需要气管切开、肾脏替代治疗,并在重症监护病房(ICU)长期住院。护理目标改为采取舒适措施,患者随后不久去世。对他采取了舒适措施,他随后不久去世。艾滋病相关KS是一种与人类疱疹病毒8型(HHV-8)相关的血管肿瘤。局限性艾滋病相关KS的治疗通常包括联合抗逆转录病毒疗法(ART),而多器官KS疾病则需要全身化疗。艾滋病相关KS患者应避免免疫抑制,因为这可能导致KS进展。这一建议与COVID-19肺炎患者的通常护理标准相冲突,需要根据KS和COVID相关疾病的阶段和严重程度进行临床判断并采取定制方法。我们简要回顾了HIV与COVID-19合并感染、艾滋病相关KS及其管理相关的挑战。

https://cdn.ncbi.nlm.nih.gov/pmc/blobs/b079/8501763/fe1fcf74877d/gr1.jpg

文献AI研究员

20分钟写一篇综述,助力文献阅读效率提升50倍。

立即体验

用中文搜PubMed

大模型驱动的PubMed中文搜索引擎

马上搜索

文档翻译

学术文献翻译模型,支持多种主流文档格式。

立即体验