Suppr超能文献

第四鳃裂异常:诊断、治疗及长期预后

Fourth Branchial Anomalies: Diagnosis, Treatment, and Long-Term Outcome.

作者信息

Boonen Annelien, Hens Greet, Meulemans Jeroen, Hermans Robert, Delaere Pierre, Vander Poorten Vincent

机构信息

Otorhinolaryngology-Head and Neck Surgery, University Hospitals Leuven, Leuven, Belgium.

Department of Oncology, Section Head and Neck Oncology, KU Leuven, Leuven, Belgium.

出版信息

Front Surg. 2021 Sep 28;8:748351. doi: 10.3389/fsurg.2021.748351. eCollection 2021.

Abstract

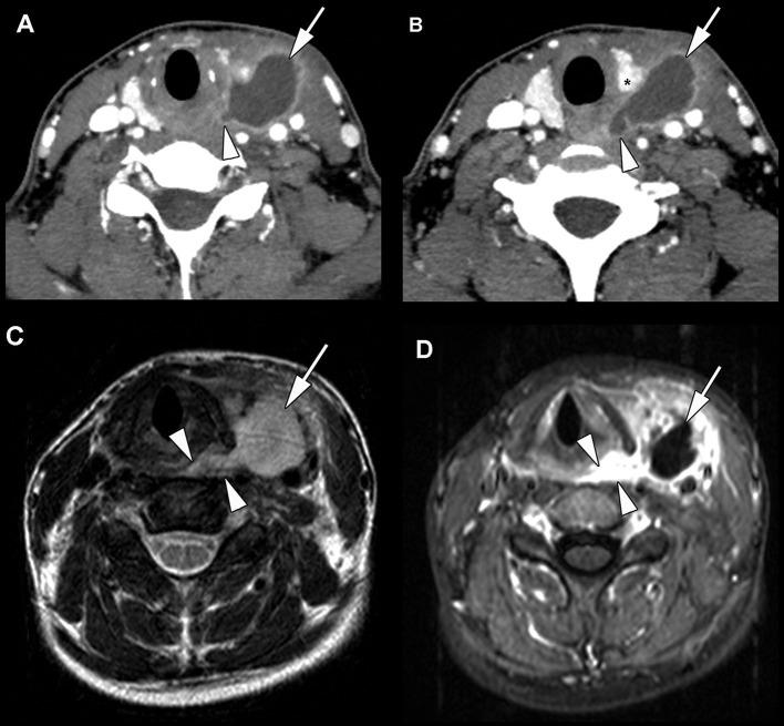
Fourth branchial anomalies, the rarest among anomalies of the branchial apparatus, often present diagnostic and therapeutic challenges. We evaluated the clinical presentation and radiographic features, the treatment and the long-term outcome of patients in this setting. Of 12 patients treated in the University Hospitals Leuven from 2004 until 2020, 12 variables were collected: date of birth, gender, age of onset of the symptoms, age at final diagnosis, presentation, laterality, previous procedures, diagnostic tools, treatment (open neck surgery, endoscopic laser excision, or combination), complications, recurrence, and period of follow-up. Descriptive statistics were calculated and results were compared to the existing literature. The most common clinical manifestations were recurrent neck infections with and without abcedation. Definitive diagnosis using direct laryngoscopy, visualizing the internal sinus opening, was possible in all patients. A CT study revealed the typical features of fourth branchial anomalies in seven patients out of nine, an ultrasound study in five out of nine patients. All patients underwent open neck surgery. If this was insufficient, secondary endoscopic laser resection of the ostium at the apex of the piriform sinus was performed ( = 4). In eight patients a thyroid lobectomy was needed for safe complete resection. Postoperative complications were minimal and at long-term, none of the patients showed further recurrence. Average time of follow-up was 8.6 years. Direct laryngoscopy and CT are the most accurate diagnostic tools. Our recommended treatment schedule consists of complete excision of the sinus tract by open neck surgery as the primary treatment because this ensures the best results. In case of recurrence afterwards, endoscopic laser resection of the pharyngeal ostium solved the problem.

摘要

第四鳃裂异常是鳃器异常中最为罕见的,常常带来诊断和治疗方面的挑战。我们评估了该情况下患者的临床表现、影像学特征、治疗方法及长期预后。在2004年至2020年于鲁汶大学医院接受治疗的12例患者中,收集了12项变量:出生日期、性别、症状出现年龄、最终诊断年龄、临床表现、病变侧别、既往治疗、诊断工具、治疗方法(颈部开放手术、内镜激光切除或联合治疗)、并发症、复发情况及随访时间。计算描述性统计数据,并将结果与现有文献进行比较。最常见的临床表现是伴有或不伴有脓肿形成的复发性颈部感染。所有患者均可行直接喉镜检查明确诊断,观察内部窦口。9例患者中的7例通过CT检查显示出第四鳃裂异常的典型特征,9例患者中的5例通过超声检查显示。所有患者均接受了颈部开放手术。若手术不充分,则对梨状窝尖部的窦口进行二期内镜激光切除(n = 4)。为安全完整切除,8例患者需要行甲状腺叶切除术。术后并发症极少,长期来看,所有患者均未出现进一步复发。平均随访时间为8.6年。直接喉镜检查和CT是最准确的诊断工具。我们推荐的治疗方案是以颈部开放手术完整切除窦道作为主要治疗方法,因为这样能确保最佳效果。若之后出现复发,内镜激光切除咽侧窦口可解决问题。

https://cdn.ncbi.nlm.nih.gov/pmc/blobs/f961/8505890/06fb0f6a80a3/fsurg-08-748351-g0001.jpg

相似文献

1
Fourth Branchial Anomalies: Diagnosis, Treatment, and Long-Term Outcome.
Front Surg. 2021 Sep 28;8:748351. doi: 10.3389/fsurg.2021.748351. eCollection 2021.
2
Management of congenital fourth branchial arch anomalies: a review and analysis of published cases.
J Pediatr Surg. 2009 Jul;44(7):1432-9. doi: 10.1016/j.jpedsurg.2008.12.001.
3
Surgical treatment of fourth branchial apparatus anomalies: a case series study.
J Otolaryngol Head Neck Surg. 2020 Nov 16;49(1):79. doi: 10.1186/s40463-020-00477-8.
4
Case series: Endoscopic management of fourth branchial arch anomalies.
Int J Pediatr Otorhinolaryngol. 2013 May;77(5):766-9. doi: 10.1016/j.ijporl.2013.02.007. Epub 2013 Mar 9.
5
Combination Surgical Procedure for Fourth Branchial Anomalies: Operative Technique and Outcomes.
Ann Otol Rhinol Laryngol. 2021 Jul;130(7):738-744. doi: 10.1177/0003489420971674. Epub 2020 Nov 6.
6
A novel surgical management of hypopharyngeal branchial anomalies.
Int J Pediatr Otorhinolaryngol. 2015 Apr;79(4):579-83. doi: 10.1016/j.ijporl.2015.01.032. Epub 2015 Feb 14.
8
Management of third branchial pouch anomalies - an evolution of a minimally invasive technique.
Int J Pediatr Otorhinolaryngol. 2014 Mar;78(3):493-8. doi: 10.1016/j.ijporl.2013.12.027. Epub 2013 Dec 27.
9
Open and Endoscopic Management of Fourth Branchial Pouch Sinus - Our Experience.
Int Arch Otorhinolaryngol. 2015 Oct;19(4):309-13. doi: 10.1055/s-0035-1556823. Epub 2015 Jul 13.
10
Recurrent neck infection with branchial arch fistula in children.
Int J Pediatr Otorhinolaryngol. 2011 Sep;75(9):1181-5. doi: 10.1016/j.ijporl.2011.06.016. Epub 2011 Jul 18.

引用本文的文献

本文引用的文献

1
A unique location of branchial cleft cyst: case report and review of the literature.
Int J Oral Maxillofac Surg. 2019 Jun;48(6):712-715. doi: 10.1016/j.ijom.2018.11.014. Epub 2018 Dec 20.
2
Fourth branchial pouch sinus: A report of 7 cases and review of the literature.
Ear Nose Throat J. 2018 Aug;97(8):236-242. doi: 10.1177/014556131809700820.
3
Branchial cleft anomalies: a pictorial review of embryological development and spectrum of imaging findings.
Insights Imaging. 2016 Feb;7(1):69-76. doi: 10.1007/s13244-015-0454-5. Epub 2015 Dec 10.
4
Surgery versus endoscopic cauterization in patients with third or fourth branchial pouch sinuses: A systematic review.
Laryngoscope. 2016 Jan;126(1):212-7. doi: 10.1002/lary.25321. Epub 2015 Sep 15.
5
Branchial cleft cyst: A case report and review of literature.
J Oral Maxillofac Pathol. 2014 Jan;18(1):150. doi: 10.4103/0973-029X.131950.
6
Management of third branchial pouch anomalies - an evolution of a minimally invasive technique.
Int J Pediatr Otorhinolaryngol. 2014 Mar;78(3):493-8. doi: 10.1016/j.ijporl.2013.12.027. Epub 2013 Dec 27.
7
Neonatal vs delayed-onset fourth branchial pouch anomalies: therapeutic implications.
Arch Otolaryngol Head Neck Surg. 2010 Sep;136(9):885-90. doi: 10.1001/archoto.2010.148.
8
Management of congenital third branchial arch anomalies: a systematic review.
Otolaryngol Head Neck Surg. 2010 Jan;142(1):21-28.e2. doi: 10.1016/j.otohns.2009.09.001. Epub 2009 Nov 25.
9
Management of congenital fourth branchial arch anomalies: a review and analysis of published cases.
J Pediatr Surg. 2009 Jul;44(7):1432-9. doi: 10.1016/j.jpedsurg.2008.12.001.
10
Piriform sinus tracts in children.
Arch Otolaryngol Head Neck Surg. 2006 Oct;132(10):1119-21. doi: 10.1001/archotol.132.10.1119.

文献AI研究员

20分钟写一篇综述,助力文献阅读效率提升50倍。

立即体验

用中文搜PubMed

大模型驱动的PubMed中文搜索引擎

马上搜索

文档翻译

学术文献翻译模型,支持多种主流文档格式。

立即体验