Division of Genetics, Brigham and Women's Hospital, Boston, MA, United States; Transplant Research Program, Boston Children's Hospital, Boston, MA, United States.
Department of Biosciences and Nutrition, Karolinska Institutet, Stockholm, Sweden.
Ocul Surf. 2022 Jan;23:197-200. doi: 10.1016/j.jtos.2021.10.002. Epub 2021 Oct 13.
Coronavirus disease 2019 (COVID-19) is caused by severe acute respiratory syndrome coronavirus 2 (SARS-CoV2). While the ocular surface is considered one of the major SARS-CoV2 transmission routes, the specific cellular tropism of SARS-CoV2 is not fully understood. In the current study, we evaluated the expression and regulation of two SARS-CoV2 viral entry proteins, TMPRSS2 and ACE2, in human ocular epithelial cells and stem cells.
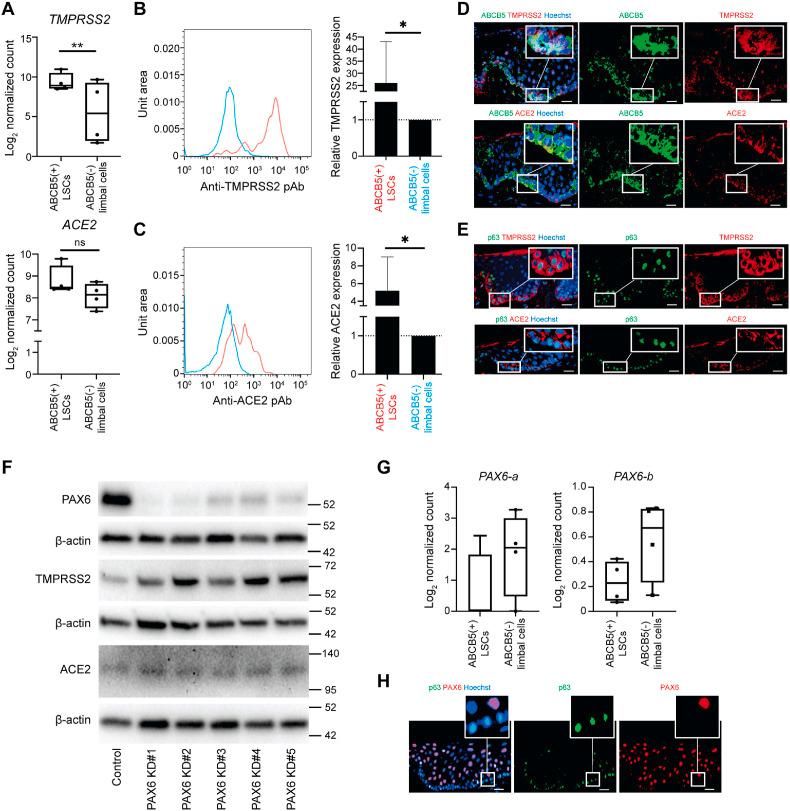
TMPRSS2 and ACE2 expression in ABCB5-positive limbal stem cells (LSCs) were assessed by RNAseq, flow cytometry and immunohistochemistry. PAX6, TMPRSS2, and ACE2 mRNA expression values were obtained from the GSE135455 and DRA002960 RNA-seq datasets. siRNA-mediated PAX6 knockdown (KD) was performed in limbal and conjunctival epithelial cells. TMPRSS2 and ACE2 expression in the PAX6 KD cells was analyzed by qRT-PCR and Western blot.
We found that ABCB5-positive LSCs express high levels of TMPRSS2 and ACE2 compared to ABCB5-negative limbal epithelial cells. Mechanistically, gene knockout and overexpression models revealed that the eye transcription factor PAX6 negatively regulates TMPRSS2 expression. Therefore, low levels of PAX6 in ABCB5-positive LSCs promote TMPRSS2 expression, and high levels of TMPRSS2 and ACE2 expression by LSCs indicate enhanced susceptibility to SARS-CoV2 infection in this stem cell population.
Our study points to a need for COVID-19 testing of LSCs derived from donor corneas before transplantation to patients with limbal stem cell deficiency. Furthermore, our findings suggest that expandable human ABCB5+ LSC cultures might represent a relevant novel model system for studying cellular SARS-CoV2 viral entry mechanisms and evaluating related targeting strategies.
新型冠状病毒病 2019(COVID-19)由严重急性呼吸系统综合征冠状病毒 2(SARS-CoV2)引起。虽然眼表面被认为是 SARS-CoV2 的主要传播途径之一,但 SARS-CoV2 的特定细胞嗜性尚不完全清楚。在本研究中,我们评估了两种 SARS-CoV2 病毒进入蛋白 TMPRSS2 和 ACE2 在人眼上皮细胞和干细胞中的表达和调节。
通过 RNAseq、流式细胞术和免疫组织化学评估 ABCB5 阳性角膜缘干细胞(LSCs)中的 TMPRSS2 和 ACE2 表达。从 GSE135455 和 DRA002960 RNA-seq 数据集获得 PAX6、TMPRSS2 和 ACE2 mRNA 表达值。在角膜缘和结膜上皮细胞中进行 PAX6 小干扰 RNA 敲低(KD)。通过 qRT-PCR 和 Western blot 分析 PAX6 KD 细胞中的 TMPRSS2 和 ACE2 表达。
我们发现,与 ABCB5 阴性角膜缘上皮细胞相比,ABCB5 阳性 LSCs 表达高水平的 TMPRSS2 和 ACE2。从机制上讲,基因敲除和过表达模型表明眼转录因子 PAX6 负调节 TMPRSS2 的表达。因此,ABCB5 阳性 LSCs 中低水平的 PAX6 促进 TMPRSS2 的表达,而 LSCs 中高水平的 TMPRSS2 和 ACE2 表达表明该干细胞群体对 SARS-CoV2 感染的易感性增强。
我们的研究表明,在将供体角膜衍生的 LSCs 移植给患有角膜缘干细胞缺陷的患者之前,需要对其进行 COVID-19 检测。此外,我们的研究结果表明,可扩增的人 ABCB5+LSC 培养物可能代表一种相关的新型模型系统,用于研究细胞 SARS-CoV2 病毒进入机制并评估相关靶向策略。