• 文献检索
  • 文档翻译
  • 深度研究
  • 学术资讯
  • Suppr Zotero 插件Zotero 插件
  • 邀请有礼
  • 套餐&价格
  • 历史记录
应用&插件
Suppr Zotero 插件Zotero 插件浏览器插件Mac 客户端Windows 客户端微信小程序
定价
高级版会员购买积分包购买API积分包
服务
文献检索文档翻译深度研究API 文档MCP 服务
关于我们
关于 Suppr公司介绍联系我们用户协议隐私条款
关注我们

Suppr 超能文献

核心技术专利:CN118964589B侵权必究
粤ICP备2023148730 号-1Suppr @ 2026

文献检索

告别复杂PubMed语法,用中文像聊天一样搜索,搜遍4000万医学文献。AI智能推荐,让科研检索更轻松。

立即免费搜索

文件翻译

保留排版,准确专业,支持PDF/Word/PPT等文件格式,支持 12+语言互译。

免费翻译文档

深度研究

AI帮你快速写综述,25分钟生成高质量综述,智能提取关键信息,辅助科研写作。

立即免费体验

超声加速溶栓治疗高危围手术期肺栓塞:两例病例报告及文献复习

Ultrasound-accelerated thrombolysis in high-risk perioperative pulmonary embolism: two case reports and review of literature.

作者信息

Schmidt Götz, Edinger Fabian, Koch Christian, Wolff Matthias, Biehl Christoph, Hörbelt Rüdiger, Sander Michael

机构信息

Department of Anaesthesiology, Operative Intensive Care Medicine and Pain Therapy, Justus Liebig University of Giessen, Rudolf-Buchheim-Strasse 7, 35392, Giessen, Germany.

Department of Trauma, Hand and Reconstructive Surgery, Justus Liebig University of Giessen, Rudolf-Buchheim-Strasse 7, 35392, Giessen, Germany.

出版信息

Perioper Med (Lond). 2021 Oct 18;10(1):35. doi: 10.1186/s13741-021-00205-4.

DOI:10.1186/s13741-021-00205-4
PMID:34657630
原文链接:https://pmc.ncbi.nlm.nih.gov/articles/PMC8522031/
Abstract

INTRODUCTION

Treatment of high-risk pulmonary embolism (PE) in perioperative patients remains challenging. Systemic thrombolysis is associated with a high risk of major bleedings and intracranial haemorrhage. High mortality rates are reported for open pulmonary embolectomy. Therefore, postoperative surgical patients may benefit substantially from catheter-directed ultrasound-accelerated thrombolysis (USAT).

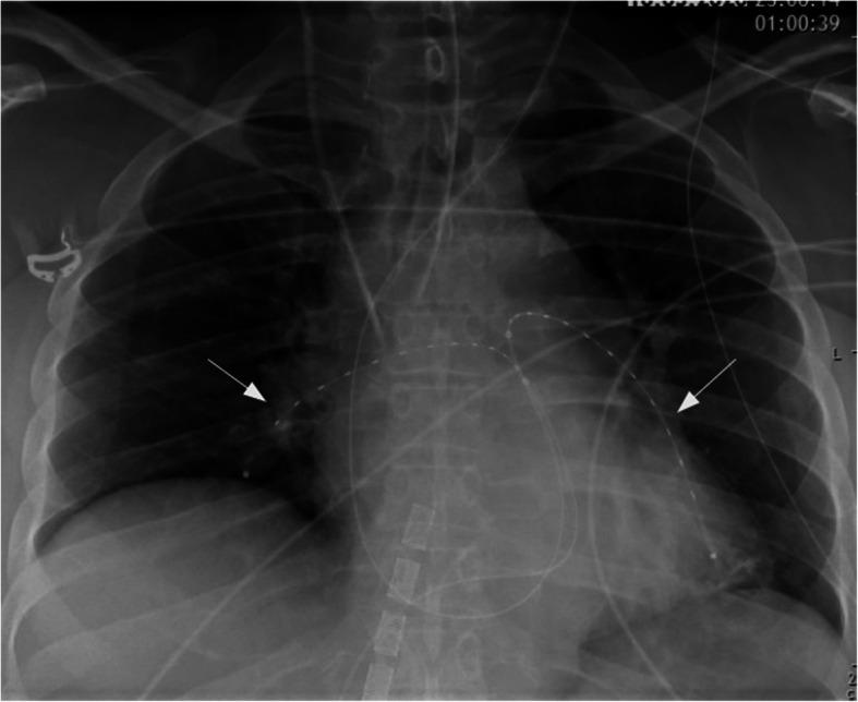
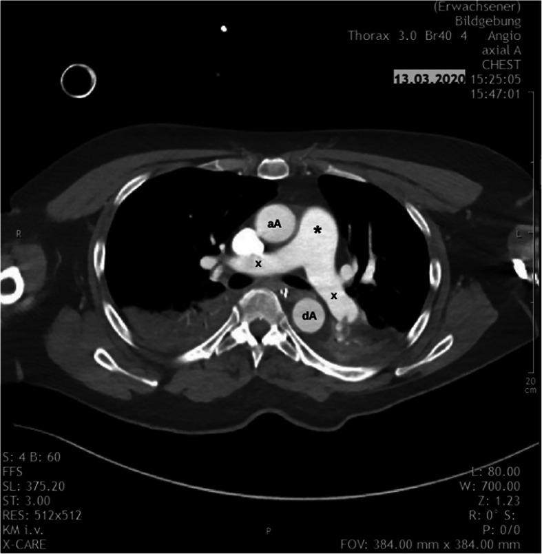
CASE PRESENTATION

We report two cases of high-risk perioperative PE. Both patients developed severe haemodynamic instability leading to cardiac arrest. After the implantation of a veno-arterial extracorporeal membrane oxygenation (ECMO), they were both successfully treated with USAT. Adequate improvement of right ventricular function was achieved; thus, ECMO could be successfully weaned after 3 and 4 days, respectively. Both patients showed favourable outcomes and could be discharged to rehabilitation.

CONCLUSION

Current guidelines on treatment of PE offer no specific therapies for perioperative patients with high-risk PE. However, systemic thrombolysis is often excluded due to the perioperative setting and the risk of major bleeding. Catheter-directed thrombolysis was shown to utilise less thrombolytic agent while obtaining comparable thrombolytic effects. The risk for major bleeding (including intracranial haemorrhage) is also significantly lowered. Until further trials determining the value of adopted treatment strategies of high-risk PE in perioperative patients are available, USAT should be considered in similar cases.

摘要

引言

围手术期高危肺栓塞(PE)患者的治疗仍然具有挑战性。全身溶栓治疗与大出血和颅内出血的高风险相关。开放性肺栓子切除术的死亡率较高。因此,术后手术患者可能从导管导向超声加速溶栓(USAT)中显著获益。

病例报告

我们报告两例围手术期高危PE病例。两名患者均出现严重血流动力学不稳定,导致心脏骤停。在植入静脉-动脉体外膜肺氧合(ECMO)后,他们均成功接受了USAT治疗。右心室功能得到充分改善;因此,ECMO分别在3天和4天后成功撤机。两名患者均预后良好,可出院接受康复治疗。

结论

目前关于PE治疗的指南没有为围手术期高危PE患者提供具体治疗方法。然而,由于围手术期情况和大出血风险,全身溶栓治疗通常被排除。导管导向溶栓显示在获得相当溶栓效果的同时使用较少的溶栓剂。大出血(包括颅内出血)风险也显著降低。在有进一步试验确定围手术期高危PE患者采用的治疗策略的价值之前,类似病例应考虑使用USAT。

https://cdn.ncbi.nlm.nih.gov/pmc/blobs/99c7/8522031/be16254bfde4/13741_2021_205_Fig4_HTML.jpg
https://cdn.ncbi.nlm.nih.gov/pmc/blobs/99c7/8522031/b3a580d53169/13741_2021_205_Fig1_HTML.jpg
https://cdn.ncbi.nlm.nih.gov/pmc/blobs/99c7/8522031/e9a727a829f2/13741_2021_205_Fig2_HTML.jpg
https://cdn.ncbi.nlm.nih.gov/pmc/blobs/99c7/8522031/7187d92b6060/13741_2021_205_Fig3_HTML.jpg
https://cdn.ncbi.nlm.nih.gov/pmc/blobs/99c7/8522031/be16254bfde4/13741_2021_205_Fig4_HTML.jpg
https://cdn.ncbi.nlm.nih.gov/pmc/blobs/99c7/8522031/b3a580d53169/13741_2021_205_Fig1_HTML.jpg
https://cdn.ncbi.nlm.nih.gov/pmc/blobs/99c7/8522031/e9a727a829f2/13741_2021_205_Fig2_HTML.jpg
https://cdn.ncbi.nlm.nih.gov/pmc/blobs/99c7/8522031/7187d92b6060/13741_2021_205_Fig3_HTML.jpg
https://cdn.ncbi.nlm.nih.gov/pmc/blobs/99c7/8522031/be16254bfde4/13741_2021_205_Fig4_HTML.jpg

相似文献

1
Ultrasound-accelerated thrombolysis in high-risk perioperative pulmonary embolism: two case reports and review of literature.超声加速溶栓治疗高危围手术期肺栓塞:两例病例报告及文献复习
Perioper Med (Lond). 2021 Oct 18;10(1):35. doi: 10.1186/s13741-021-00205-4.
2
Ultrasound-accelerated thrombolysis (USAT) versus standard catheter-directed thrombolysis (CDT) for treatment of pulmonary embolism: A retrospective analysis.超声辅助溶栓(USAT)与标准导管溶栓(CDT)治疗肺栓塞的疗效比较:一项回顾性分析。
Vasc Med. 2019 Jun;24(3):234-240. doi: 10.1177/1358863X19838350. Epub 2019 Mar 27.
3
Comparative Outcomes of Ultrasound-Assisted Thrombolysis and Standard Catheter-Directed Thrombolysis in the Treatment of Acute Pulmonary Embolism.超声辅助溶栓与标准导管定向溶栓治疗急性肺栓塞的比较结果
Vasc Endovascular Surg. 2016 Aug;50(6):405-10. doi: 10.1177/1538574416666228.
4
Fixed low-dose ultrasound-assisted catheter-directed thrombolysis for intermediate and high-risk pulmonary embolism.固定低剂量超声辅助导管溶栓治疗中高危肺栓塞。
Eur Heart J. 2015 Mar 7;36(10):597-604. doi: 10.1093/eurheartj/eht531. Epub 2013 Dec 13.
5
Local Ultrasound-Facilitated Thrombolysis in High-Risk Pulmonary Embolism: First Dutch Experience.高危肺栓塞的局部超声辅助溶栓治疗:荷兰的初步经验。
Cardiovasc Intervent Radiol. 2019 Jul;42(7):962-969. doi: 10.1007/s00270-019-02200-1. Epub 2019 Mar 12.
6
Ultrasound-Assisted Catheter-Directed Thrombolysis in High-Risk and Intermediate-High-Risk Pulmonary Embolism: A Meta-Analysis.超声引导下高危和中高危肺栓塞导管溶栓治疗的Meta 分析。
Curr Vasc Pharmacol. 2018 Jan 26;16(2):179-189. doi: 10.2174/1570161115666170404122535.
7
Optimal reperfusion strategy in acute high-risk pulmonary embolism requiring extracorporeal membrane oxygenation support: a systematic review and meta-analysis.需要体外膜肺氧合支持的急性高危肺栓塞的最佳再灌注策略:系统评价和荟萃分析。
Eur Respir J. 2022 Nov 3;60(5). doi: 10.1183/13993003.02977-2021. Print 2022 Nov.
8
Use of extracorporeal membrane oxygenation in patients with acute high-risk pulmonary embolism: a case series with literature review.体外膜肺氧合在急性高危肺栓塞患者中的应用:病例系列及文献综述
Acute Crit Care. 2019 May;34(2):148-154. doi: 10.4266/acc.2019.00500. Epub 2019 May 31.
9
Clinical outcomes of acute pulmonary embolectomy as the first-line treatment for massive and submassive pulmonary embolism: a single-centre study in China.中国单中心研究:急性肺血栓切除术作为大块和次大块肺栓塞一线治疗的临床结局。
J Cardiothorac Surg. 2020 Oct 21;15(1):321. doi: 10.1186/s13019-020-01364-z.
10
Extracorporeal membrane oxygenation in acute massive pulmonary embolism: a case series and review of the literature.急性大面积肺栓塞的体外膜肺氧合:病例系列及文献综述
Perfusion. 2019 Jan;34(1):22-28. doi: 10.1177/0267659118786830. Epub 2018 Jul 16.

引用本文的文献

1
Successful cardiopulmonary resuscitation of cardiac arrest induced by massive pulmonary embolism under general anesthesia: a case report.全身麻醉下大规模肺栓塞所致心脏骤停的成功心肺复苏:一例报告
Front Cardiovasc Med. 2023 Jun 22;10:1164076. doi: 10.3389/fcvm.2023.1164076. eCollection 2023.
2
Safety and outcomes of thrombolytic therapy in patients with pulmonary embolism and thrombocytopenia: A systematic review.肺栓塞合并血小板减少症患者溶栓治疗的安全性及疗效:一项系统评价
Qatar Med J. 2022 Aug 5;2022(3):33. doi: 10.5339/qmj.2022.33. eCollection 2022.
3
Fixed-Dose Ultrasound-Assisted Catheter-Directed Thrombolysis for Acute Pulmonary Embolism Associated with COVID-19.

本文引用的文献

1
2019 ESC Guidelines for the diagnosis and management of acute pulmonary embolism developed in collaboration with the European Respiratory Society (ERS).2019年欧洲心脏病学会(ESC)与欧洲呼吸学会(ERS)合作制定的急性肺栓塞诊断和管理指南。
Eur Heart J. 2020 Jan 21;41(4):543-603. doi: 10.1093/eurheartj/ehz405.
2
Ultrasound-assisted versus conventional catheter-directed thrombolysis for acute pulmonary embolism: A multicenter comparison of patient-centered outcomes.超声辅助与传统导管导向溶栓治疗急性肺栓塞:以患者为中心结局的多中心比较。
Vasc Med. 2019 Jun;24(3):241-247. doi: 10.1177/1358863X19838334. Epub 2019 Mar 27.
3
新冠肺炎相关急性肺栓塞的固定剂量超声辅助导管溶栓治疗。
Viruses. 2022 Jul 22;14(8):1606. doi: 10.3390/v14081606.
Ultrasound-accelerated thrombolysis (USAT) versus standard catheter-directed thrombolysis (CDT) for treatment of pulmonary embolism: A retrospective analysis.
超声辅助溶栓(USAT)与标准导管溶栓(CDT)治疗肺栓塞的疗效比较:一项回顾性分析。
Vasc Med. 2019 Jun;24(3):234-240. doi: 10.1177/1358863X19838350. Epub 2019 Mar 27.
4
A Randomized Trial of the Optimum Duration of Acoustic Pulse Thrombolysis Procedure in Acute Intermediate-Risk Pulmonary Embolism: The OPTALYSE PE Trial.急性中危肺栓塞患者声脉冲溶栓治疗时间最优随机试验:OPTALYSE PE 试验。
JACC Cardiovasc Interv. 2018 Jul 23;11(14):1401-1410. doi: 10.1016/j.jcin.2018.04.008.
5
Diagnosis and Thrombolytic Management of Massive Intraoperative Pulmonary Embolism Guided by Point of Care Transthoracic Echocardiography.床旁经胸超声心动图引导下大面积术中肺栓塞的诊断与溶栓治疗
Case Rep Anesthesiol. 2018 Mar 4;2018:8709026. doi: 10.1155/2018/8709026. eCollection 2018.
6
Design and rationale of a randomized trial comparing standard versus ultrasound-assisted thrombolysis for submassive pulmonary embolism.比较标准溶栓与超声辅助溶栓治疗次大面积肺栓塞的随机试验的设计和原理。
J Vasc Surg Venous Lymphat Disord. 2018 Jan;6(1):126-132. doi: 10.1016/j.jvsv.2017.09.004.
7
Perioperative pulmonary thromboembolism: current concepts and treatment options.
Curr Opin Anaesthesiol. 2018 Feb;31(1):75-82. doi: 10.1097/ACO.0000000000000550.
8
Comparison of Ultrasound-Accelerated versus Pigtail Catheter-Directed Thrombolysis for the Treatment of Acute Massive and Submassive Pulmonary Embolism.超声加速溶栓与猪尾导管直接溶栓治疗急性大面积和次大面积肺栓塞的比较
J Vasc Interv Radiol. 2017 Oct;28(10):1339-1347. doi: 10.1016/j.jvir.2017.07.004. Epub 2017 Aug 18.
9
Management of intra-operative acute pulmonary embolism during general anesthesia: a case report.全身麻醉期间术中急性肺栓塞的处理:一例报告
BMC Anesthesiol. 2017 May 26;17(1):67. doi: 10.1186/s12871-017-0360-0.
10
Ultrasound-Assisted Catheter-Directed Thrombolysis in High-Risk and Intermediate-High-Risk Pulmonary Embolism: A Meta-Analysis.超声引导下高危和中高危肺栓塞导管溶栓治疗的Meta 分析。
Curr Vasc Pharmacol. 2018 Jan 26;16(2):179-189. doi: 10.2174/1570161115666170404122535.