Department of Obstetrics, Gynecology and Reproductive Medicine, Renaissance School of Medicine at Stony Brook University, Stony Brook, NY, USA.
Department of Pathology, Renaissance School of Medicine at Stony Brook University, Stony Brook, NY, USA.
J Pregnancy. 2021 Oct 7;2021:2175026. doi: 10.1155/2021/2175026. eCollection 2021.
To compare the effects of medication-assisted treatment on the placenta in pregnant women with opioid use disorder and uncomplicated pregnancies.
This is a case-controlled study of pregnant women utilizing medication-assisted treatment, buprenorphine or methadone, which were matched to healthy uncomplicated controls by gestational age. Placental evaluations and neonatal outcomes were evaluated. Data analysis performed standard statistics and relative risk analysis with a < 0.05 considered significant.
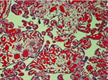
There were 143 women who met the inclusion criteria: 103 utilizing MAT, 41 buprenorphine and 62 methadone, and 40 uncomplicated matched healthy controls. The incidence of delayed villous maturation was 36% in the medication-assisted group compared with 10% in controls (RR 3.6: 95% CI 1.37-9.43; < 0.01). The placental weight was greater (541 ± 117 g versus 491 ± 117 g; = 0.02), and the fetoplacental weight ratio was lower (5.70 ± 1.1 versus 7.13 ± 1.4; < 0.01) in the medication-exposed pregnancies compared with controls. The mean birth weight of the MAT newborns was significantly lower than that of the healthy controls (3018 ± 536 g versus 3380 ± 492 g; < 0.01). When evaluating the subgroups of the MAT newborns, the birth weight of the methadone-exposed newborns (2886 ± 514 g) was significantly lower than that of the buprenorphine-exposed newborns (3218 ± 512 g; < 0.01).
Medication-exposed pregnancies have a greater incidence of delayed villous maturation, a larger placental size, and a decreased fetoplacental weight ratio compared to the healthy controls. Larger long-term follow-up studies to evaluate outcomes with the presence of delayed villous maturation are needed.
比较药物辅助治疗对患有阿片类药物使用障碍和无并发症妊娠的孕妇胎盘的影响。
这是一项针对接受药物辅助治疗(丁丙诺啡或美沙酮)的孕妇的病例对照研究,这些孕妇通过胎龄与健康无并发症的对照组相匹配。评估胎盘评估和新生儿结局。数据分析采用标准统计学和相对风险分析,以 < 0.05 为显著差异。
符合纳入标准的有 143 名女性:103 名接受 MAT 治疗,41 名使用丁丙诺啡,62 名使用美沙酮,40 名健康无并发症的匹配对照组。药物辅助组绒毛成熟延迟的发生率为 36%,对照组为 10%(RR 3.6:95%CI 1.37-9.43; < 0.01)。药物暴露组胎盘重量较大(541 ± 117g 比 491 ± 117g; = 0.02),胎-胎盘重量比较低(5.70 ± 1.1 比 7.13 ± 1.4; < 0.01)。与健康对照组相比,MAT 新生儿的平均出生体重明显较低(3018 ± 536g 比 3380 ± 492g; < 0.01)。当评估 MAT 新生儿的亚组时,美沙酮暴露新生儿(2886 ± 514g)的出生体重明显低于丁丙诺啡暴露新生儿(3218 ± 512g; < 0.01)。
与健康对照组相比,药物暴露组的绒毛成熟延迟发生率更高,胎盘更大,胎-胎盘重量比降低。需要进行更大的长期随访研究来评估绒毛成熟延迟的存在对结局的影响。