• 文献检索
  • 文档翻译
  • 深度研究
  • 学术资讯
  • Suppr Zotero 插件Zotero 插件
  • 邀请有礼
  • 套餐&价格
  • 历史记录
应用&插件
Suppr Zotero 插件Zotero 插件浏览器插件Mac 客户端Windows 客户端微信小程序
定价
高级版会员购买积分包购买API积分包
服务
文献检索文档翻译深度研究API 文档MCP 服务
关于我们
关于 Suppr公司介绍联系我们用户协议隐私条款
关注我们

Suppr 超能文献

核心技术专利:CN118964589B侵权必究
粤ICP备2023148730 号-1Suppr @ 2026

文献检索

告别复杂PubMed语法,用中文像聊天一样搜索,搜遍4000万医学文献。AI智能推荐,让科研检索更轻松。

立即免费搜索

文件翻译

保留排版,准确专业,支持PDF/Word/PPT等文件格式,支持 12+语言互译。

免费翻译文档

深度研究

AI帮你快速写综述,25分钟生成高质量综述,智能提取关键信息,辅助科研写作。

立即免费体验

整块肝切除联合腔静脉切除治疗局部浸润性尾状叶肝癌

Major Hepatectomy En Bloc with Cava Vein Resection for Locally Invasive Caudate Lobe Hepatocarcinoma.

作者信息

Bacalbasa Nicolae, Balescu Irina, Ichim Florin, Barbu Ion, Ristea Alexandru, Lazea Razvan, Danciuc Ioana, Popa Ioana, Magdoiu Ovidiu, Smira Gabriela, Diaconu Camelia, Furtunescu Florentina, Stiru Ovidiu, Savu Cornel, Stoica Claudia, Brasoveanu Vladislav, Ursut Bogdan, Al Aloul Adnan

机构信息

Department of Visceral Surgery, Center of Excellence in Translational Medicine "Fundeni" Clinical Institute, 022328 Bucharest, Romania.

Department of Obstetrics and Gynecology, Carol Davila University of Medicine and Pharmacy, 050474 Bucharest, Romania.

出版信息

Healthcare (Basel). 2021 Oct 19;9(10):1396. doi: 10.3390/healthcare9101396.

DOI:10.3390/healthcare9101396
PMID:34683076
原文链接:https://pmc.ncbi.nlm.nih.gov/articles/PMC8535728/
Abstract

BACKGROUND/AIM: Locally advanced liver tumours with vascular invasion have been considered for a long period of time as unresectable lesions, so the patient was further deferred to oncology services for palliation. However, improvement of the surgical techniques and the results reported so far came to demonstrate that extended hepatic and vascular resections might be safely performed in such cases and might significantly improve the long-term outcomes.

MATERIALS AND METHODS

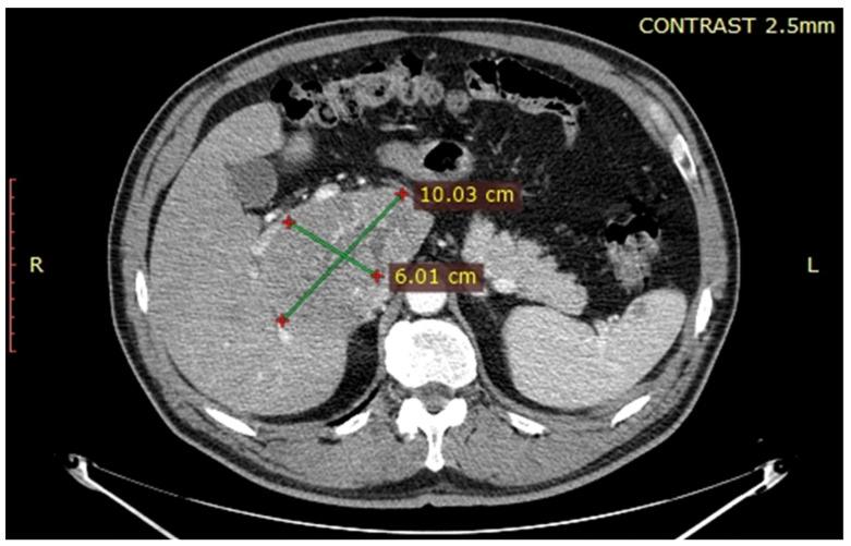
A 61-year-old patient was diagnosed with a caudate lobe tumour invading the inferior cava vein and the right hepatic pedicle.

RESULTS

The patient was successfully submitted to surgery, and an extended right hepatectomy en bloc with cava vein resection was performed; the continuity of the cava vein was re-established by the placement of a synthetic graft. The postoperative outcome was uneventful.

CONCLUSIONS

Although initially considered as a formal contraindication for resection, vascular invasion of the greater vessels should not preclude surgery if complete resection is achievable.

摘要

背景/目的:长期以来,伴有血管侵犯的局部晚期肝肿瘤一直被视为不可切除的病变,因此患者被进一步转至肿瘤科进行姑息治疗。然而,手术技术的改进以及目前所报道的结果表明,在这类病例中可以安全地进行扩大的肝脏和血管切除术,并且可能显著改善长期预后。

材料与方法

一名61岁患者被诊断为尾状叶肿瘤侵犯下腔静脉和右肝蒂。

结果

患者成功接受手术,实施了扩大的右肝整块切除并同时切除腔静脉;通过植入人工血管重建腔静脉的连续性。术后恢复顺利。

结论

尽管大血管侵犯最初被视为手术切除的绝对禁忌证,但如果能够实现完整切除,则不应排除手术。

https://cdn.ncbi.nlm.nih.gov/pmc/blobs/22a9/8535728/1bd67a221e17/healthcare-09-01396-g006.jpg
https://cdn.ncbi.nlm.nih.gov/pmc/blobs/22a9/8535728/4f95d1a91385/healthcare-09-01396-g001.jpg
https://cdn.ncbi.nlm.nih.gov/pmc/blobs/22a9/8535728/c4b808a21e23/healthcare-09-01396-g002.jpg
https://cdn.ncbi.nlm.nih.gov/pmc/blobs/22a9/8535728/b08a9c0b3405/healthcare-09-01396-g003.jpg
https://cdn.ncbi.nlm.nih.gov/pmc/blobs/22a9/8535728/e37b9a114e24/healthcare-09-01396-g004.jpg
https://cdn.ncbi.nlm.nih.gov/pmc/blobs/22a9/8535728/47a5055cf0a0/healthcare-09-01396-g005.jpg
https://cdn.ncbi.nlm.nih.gov/pmc/blobs/22a9/8535728/1bd67a221e17/healthcare-09-01396-g006.jpg
https://cdn.ncbi.nlm.nih.gov/pmc/blobs/22a9/8535728/4f95d1a91385/healthcare-09-01396-g001.jpg
https://cdn.ncbi.nlm.nih.gov/pmc/blobs/22a9/8535728/c4b808a21e23/healthcare-09-01396-g002.jpg
https://cdn.ncbi.nlm.nih.gov/pmc/blobs/22a9/8535728/b08a9c0b3405/healthcare-09-01396-g003.jpg
https://cdn.ncbi.nlm.nih.gov/pmc/blobs/22a9/8535728/e37b9a114e24/healthcare-09-01396-g004.jpg
https://cdn.ncbi.nlm.nih.gov/pmc/blobs/22a9/8535728/47a5055cf0a0/healthcare-09-01396-g005.jpg
https://cdn.ncbi.nlm.nih.gov/pmc/blobs/22a9/8535728/1bd67a221e17/healthcare-09-01396-g006.jpg

相似文献

1
Major Hepatectomy En Bloc with Cava Vein Resection for Locally Invasive Caudate Lobe Hepatocarcinoma.整块肝切除联合腔静脉切除治疗局部浸润性尾状叶肝癌
Healthcare (Basel). 2021 Oct 19;9(10):1396. doi: 10.3390/healthcare9101396.
2
Resection of Retro-Hepatic Vena Cava (RHVC) En-bloc with Caudate Lobe without Vascular Exclusion for a Low Grade Leiomyosarcoma of Inferior Vena Cava.肝后下腔静脉(RHVC)整块切除联合尾状叶切除而无需血管阻断治疗下腔静脉低度平滑肌肉瘤
Ann Surg Oncol. 2021 Oct;28(11):6848-6849. doi: 10.1245/s10434-020-09428-z. Epub 2021 Jan 22.
3
Unusual Techniques for Preserving Surgical and Oncologic Safety in Hepatectomy of Advanced Adrenal Malignancy with Vena Cava and Liver Invasion.在伴有腔静脉和肝脏侵犯的晚期肾上腺恶性肿瘤肝切除术中,采用不同寻常的技术来保证手术和肿瘤学安全性。
Ann Surg Oncol. 2018 Oct;25(11):3324-3325. doi: 10.1245/s10434-018-6657-5. Epub 2018 Jul 17.
4
Staged Double Hepatectomy, Double Total Vascular Exclusion, and Double Venous Reconstruction by Peritoneal Patches in One Patient with Colorectal Liver Metastases.1 例结直肠癌肝转移患者行分期双半肝切除术、双重全血管阻断和腹膜补丁式静脉重建术。
Ann Surg Oncol. 2021 Apr;28(4):2028-2029. doi: 10.1245/s10434-020-09155-5. Epub 2020 Sep 23.
5
Extended Right Hepatectomy and Inferior Vena Cava Graft Replacement for En Bloc Resection of Hepatocellular Carcinoma with Cavo-Hepatic Venous Confluence Invasion.整块切除侵犯肝静脉汇合部的肝细胞癌并进行右半肝切除和下腔静脉移植。
Ann Surg Oncol. 2018 Dec;25(13):3983. doi: 10.1245/s10434-018-6665-5. Epub 2018 Sep 11.
6
Combined resection of the liver and inferior vena cava for hepatic malignancy.联合肝脏和下腔静脉切除术治疗肝脏恶性肿瘤。
Ann Surg. 2004 May;239(5):712-9; discussion 719-21. doi: 10.1097/01.sla.0000124387.87757.eb.
7
Right trisectionectomy with principle en bloc portal vein resection for right-sided hilar cholangiocarcinoma: no-touch technique.右三叶切除术联合整块门静脉切除治疗右肝门部胆管癌:无接触技术。
Ann Surg Oncol. 2012 Apr;19(4):1324-5. doi: 10.1245/s10434-011-2072-x. Epub 2011 Oct 15.
8
Liver and Vena Cava En Bloc Resection for an Invasive Leiomyosarcoma Causing Budd-Chiari Syndrome, Under Veno-Venous Bypass and Liver Hypothermic Perfusion : Liver Hypothermic Perfusion and Veno-Venous Bypass for Inferior Vena Cava Leiomyosarcoma.静脉-静脉转流及肝脏低温灌注下整块切除肝脏和腔静脉治疗导致布-加综合征的侵袭性平滑肌肉瘤:下腔静脉平滑肌肉瘤的肝脏低温灌注及静脉-静脉转流
Ann Surg Oncol. 2017 Feb;24(2):556-557. doi: 10.1245/s10434-016-5285-1. Epub 2016 Jul 18.
9
Extended right hepatectomy with caudate lobe resection using the hilar "en bloc" resection technique with a modified hanging maneuver.采用改良悬吊法的肝门“整块”切除技术行扩大右肝切除术并尾状叶切除。
J Surg Oncol. 2016 Mar;113(4):427-31. doi: 10.1002/jso.24154. Epub 2016 Jan 18.
10
"" caudate lobe and inferior vena cava resection following cytoreductive surgery and hyperthermic intraperitoneal chemotherapy for peritoneal and liver metastasis of colorectal cancer.结直肠癌腹膜和肝转移的细胞减灭术及腹腔热灌注化疗后尾状叶和下腔静脉切除术
World J Gastroenterol. 2016 Dec 14;22(46):10249-10253. doi: 10.3748/wjg.v22.i46.10249.

本文引用的文献

1
Operative strategies for inferior vena cava repair in oncologic surgery.肿瘤外科手术中腔静脉修复的手术策略。
J Vasc Surg Venous Lymphat Disord. 2020 May;8(3):396-404. doi: 10.1016/j.jvsv.2019.09.012. Epub 2019 Dec 13.
2
International trends in hepatocellular carcinoma incidence, 1978-2012.国际 1978-2012 年肝细胞癌发病率趋势。
Int J Cancer. 2020 Jul 15;147(2):317-330. doi: 10.1002/ijc.32723. Epub 2019 Nov 5.
3
Spleno-pancreatectomy with Parcelar Gastrectomy for Splenic Artery Aneurysm - A Case Report and Literature Review.
脾胰切除术联合部分胃切除术治疗脾动脉瘤——病例报告及文献综述
In Vivo. 2018 Jul-Aug;32(4):915-919. doi: 10.21873/invivo.11329.
4
Successful Resection of a Non-functional Paraganglioma with Celiac Trunk Invasion Followed by Common Hepatic Artery Reimplantation - A Case Report and Literature Review.成功切除侵犯腹腔干的无功能副神经节瘤并进行肝总动脉再植术——病例报告及文献综述
In Vivo. 2018 Jul-Aug;32(4):911-914. doi: 10.21873/invivo.11328.
5
Management of a Fulminant Upper Gastrointestinal Bleeding Exteriorized Through Hemobilia Due to Arteriobiliary Fistula Between the Common Bile Duct and a Right Hepatic Artery Aneurysm - A Case Report.因胆总管与右肝动脉动脉瘤之间的动胆瘘导致血胆症引起的暴发性上消化道出血的处理——病例报告
In Vivo. 2017 Sep-Oct;31(5):983-989. doi: 10.21873/invivo.11158.
6
A pooled analysis of combined liver and inferior vena cava resection for hepatic malignancy.肝恶性肿瘤联合肝切除及下腔静脉切除的汇总分析。
HPB (Oxford). 2017 Sep;19(9):768-774. doi: 10.1016/j.hpb.2017.05.008. Epub 2017 Jun 20.
7
Techniques for inferior vena cava resection and reconstruction for retroperitoneal tumor excision.用于腹膜后肿瘤切除的下腔静脉切除与重建技术。
J Vasc Surg Venous Lymphat Disord. 2013 Jan;1(1):84-9. doi: 10.1016/j.jvsv.2012.10.056. Epub 2012 Dec 8.
8
Living Donor Liver Transplantation for Unresectable Liver Adenomatosis Associated with Congenital Absence of Portal Vein: A Case Report and Literature Review.活体肝移植治疗先天性门静脉缺如合并不可切除性肝腺瘤病:一例报告及文献复习
Am J Case Rep. 2015 Sep 19;16:637-44. doi: 10.12659/AJCR.895235.
9
Pancreatoduodenectomy en bloc with portal and superior mesenteric artery resection--a case report and literature review.胰十二指肠整块切除联合门静脉及肠系膜上动脉切除——1例病例报告及文献综述
Anticancer Res. 2015 Mar;35(3):1613-8.
10
Prognostic factors and outcomes of patients with hepatocellular carcinoma in non-cirrhotic liver.非肝硬化性肝脏中肝细胞癌患者的预后因素及结局
Scand J Gastroenterol. 2012 Jun;47(6):718-28. doi: 10.3109/00365521.2012.677952. Epub 2012 Apr 4.