Suppr超能文献

巨大甲状旁腺癌:诊断、难点与治疗策略:一例报告

Giant parathyroid carcinoma: Diagnostic, difficulties and therapeutic strategies: A case report.

作者信息

Bouzayan Laila, Mabrouk Mohamed Yassine, Ali Hassane Ait, Guelil Abdelali, Miry Achraf, Rachid Jabi, Benani Amal, Bouziane Mohammed

机构信息

Department of Visceral Surgery and Digestive Oncology A, Mohammed VI University Hospital, Oujda, Morocco.

Department of Anatomopathology, Mohammed VI University Hospital, Oujda, Morocco.

出版信息

Ann Med Surg (Lond). 2021 Oct 9;71:102919. doi: 10.1016/j.amsu.2021.102919. eCollection 2021 Nov.

Abstract

INTRODUCTION

Parathyroid carcinoma is a very aggressive malignant tumor. It is mostly revealed by clinical primary hyperparathyroidism.

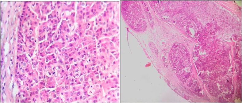
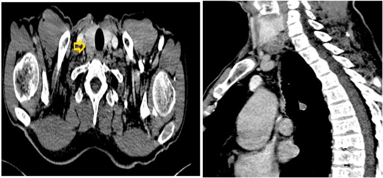
CASE PRESENTATION

We report a rare case of parathyroid carcinoma in a 61-year-old-male patient who presented with a painless right-sided cervical tumefaction of hard consistency associated with cervical lymphadenopathy. Cervical ultrasonography showed a right parathyroid mass with intimate contact with the homolateral thyroid lobe. A parathyroidectomy enlarged to the adjacent thyroid parenchyma with a selective neck dissection level VI was performed.

CLINICAL DISCUSSION

The clinical presentation is most often manifested with clinical features of primary hyperparathyroidism associating bone disorders. Surgery remains the treatment of choice. The benefit of adjuvant treatments is controversial and remains to be evaluated.

CONCLUSION

Parathyroid carcinoma is a rare tumor. This rare entity is often presented with clinicobiological features of severe primary hyperparathyroidism.

摘要

引言

甲状旁腺癌是一种极具侵袭性的恶性肿瘤。它大多由临床原发性甲状旁腺功能亢进症揭示。

病例报告

我们报告一例罕见的甲状旁腺癌,患者为61岁男性,表现为右侧颈部无痛性坚硬肿块,伴有颈部淋巴结病。颈部超声显示右侧甲状旁腺肿块与同侧甲状腺叶紧密相连。进行了甲状旁腺切除术,扩大至相邻甲状腺实质,并进行了选择性颈部VI区清扫术。

临床讨论

临床表现最常表现为原发性甲状旁腺功能亢进症合并骨病的临床特征。手术仍然是首选治疗方法。辅助治疗的益处存在争议,仍有待评估。

结论

甲状旁腺癌是一种罕见肿瘤。这种罕见实体常表现为严重原发性甲状旁腺功能亢进症的临床生物学特征。

https://cdn.ncbi.nlm.nih.gov/pmc/blobs/3ea6/8517712/89a7e4d46655/gr1.jpg

文献AI研究员

20分钟写一篇综述,助力文献阅读效率提升50倍。

立即体验

用中文搜PubMed

大模型驱动的PubMed中文搜索引擎

马上搜索

文档翻译

学术文献翻译模型,支持多种主流文档格式。

立即体验