Suppr超能文献

宫内节育器移入膀胱并形成结石。

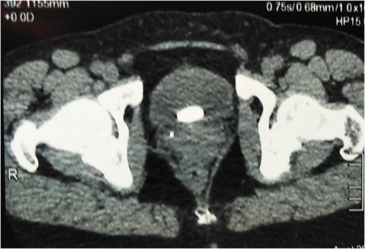
Intra uterine device migrating into the bladder with stone formation.

作者信息

Chakir Youness, Daghdagh Yassine, Moataz Amine, Dakir Mohammed, Debbagh Adil, Aboutaieb Rachid

机构信息

Urology and Andrology departement, CHU Ibn Rochd, Sexual Health Laboratory, FMPC, Casablanca Morocoo.

出版信息

Urol Case Rep. 2021 Oct 26;40:101918. doi: 10.1016/j.eucr.2021.101918. eCollection 2022 Jan.

Abstract

An intrauterine device (IUD) perforating the uterus and bladder and creating a nidus for stone formation is rarely described in the international literature. A 50-year-old woman was referred to our department for 6 months history of suprapubic pain and pollakiuria without fever. Ultrasound, X-ray examination and abdominopelvic scanner confirmed an IUD perforating the uterus and the bladder. The stone on the perforating ectopic IUD was successfully removed with YAG Holmium Laser and the IUD was extracted without complications with the aid of a transurethral resectoscope.

摘要

宫内节育器(IUD)穿孔进入子宫和膀胱并形成结石病灶的情况在国际文献中鲜有报道。一名50岁女性因耻骨上疼痛和尿频6个月病史被转诊至我院,无发热症状。超声、X线检查及腹部盆腔扫描仪证实一枚宫内节育器穿孔进入子宫和膀胱。通过钇铝石榴石激光成功取出穿孔异位宫内节育器上的结石,并借助经尿道电切镜顺利取出宫内节育器,未发生并发症。

https://cdn.ncbi.nlm.nih.gov/pmc/blobs/795a/8577433/bfc8bff35de6/gr1.jpg

文献AI研究员

20分钟写一篇综述,助力文献阅读效率提升50倍。

立即体验

用中文搜PubMed

大模型驱动的PubMed中文搜索引擎

马上搜索

文档翻译

学术文献翻译模型,支持多种主流文档格式。

立即体验