Suppr超能文献

核仁 GTP 酶 Bms1 将 Ttf1 从 RFB 位点置换出来,以平衡 rDNA 转录和复制的进程。

Nucleolar GTPase Bms1 displaces Ttf1 from RFB-sites to balance progression of rDNA transcription and replication.

机构信息

MOE Key Laboratory for Molecular Animal Nutrition, College of Animal Sciences, Zhejiang University, Hangzhou 310058, China.

Taizhou Hospital, Zhejiang University, Taizhou 317000, China.

出版信息

J Mol Cell Biol. 2022 Jan 29;13(12):902-917. doi: 10.1093/jmcb/mjab074.

Abstract

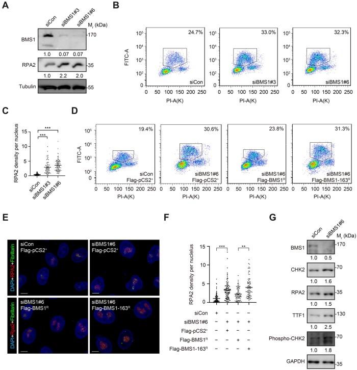
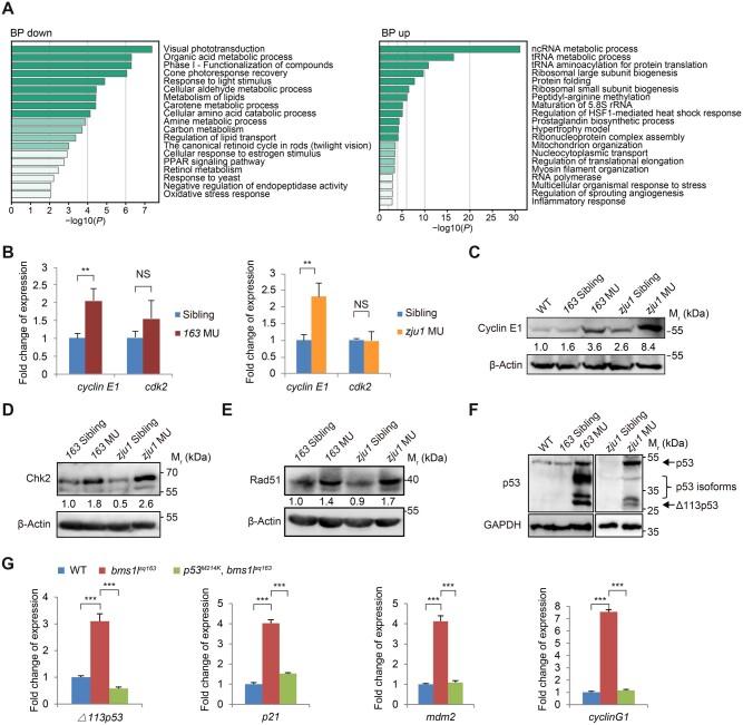
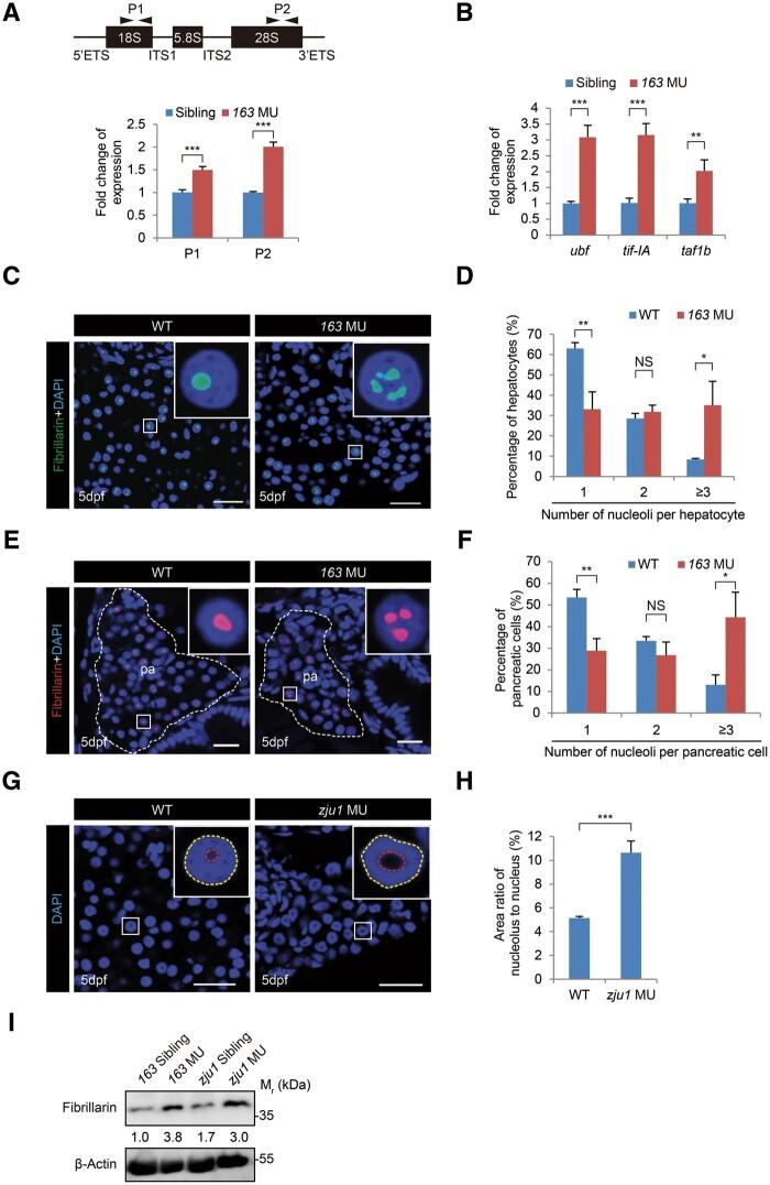
18S, 5.8S, and 28S ribosomal RNAs (rRNAs) are cotranscribed as a pre-ribosomal RNA (pre-rRNA) from the rDNA by RNA polymerase I whose activity is vigorous during the S-phase, leading to a conflict with rDNA replication. This conflict is resolved partly by replication-fork-barrier (RFB)-sites sequences located downstream of the rDNA and RFB-binding proteins such as Ttf1. However, how Ttf1 is displaced from RFB-sites to allow replication fork progression remains elusive. Here, we reported that loss-of-function of Bms1l, a nucleolar GTPase, upregulates rDNA transcription, causes replication-fork stall, and arrests cell cycle at the S-to-G2 transition; however, the G1-to-S transition is constitutively active characterized by persisting DNA synthesis. Concomitantly, ubf, tif-IA, and taf1b marking rDNA transcription, Chk2, Rad51, and p53 marking DNA-damage response, and Rpa2, PCNA, Fen1, and Ttf1 marking replication fork stall are all highly elevated in bms1l mutants. We found that Bms1 interacts with Ttf1 in addition to Rc1l. Finally, we identified RFB-sites for zebrafish Ttf1 through chromatin immunoprecipitation sequencing and showed that Bms1 disassociates the Ttf1‒RFB complex with its GTPase activity. We propose that Bms1 functions to balance rDNA transcription and replication at the S-phase through interaction with Rcl1 and Ttf1, respectively. TTF1 and Bms1 together might impose an S-phase checkpoint at the rDNA loci.

摘要

18S、5.8S 和 28S 核糖体 RNA(rRNA)是由 RNA 聚合酶 I 从 rDNA 转录而来的,其活性在 S 期很强,导致与 rDNA 复制发生冲突。这种冲突部分通过位于 rDNA 下游的复制叉障碍(RFB)-位点序列和 RFB 结合蛋白(如 Ttf1)来解决。然而,Ttf1 如何从 RFB 位点置换出来以允许复制叉前进仍然难以捉摸。在这里,我们报道了核仁 GTPase Bms1l 的功能丧失会上调 rDNA 转录,导致复制叉停滞,并使细胞周期在 S 期到 G2 期的过渡中停滞;然而,G1 期到 S 期的过渡是持续的 DNA 合成,其特征是持续活跃。同时,ubf、tif-IA 和 taf1b 标记 rDNA 转录,Chk2、Rad51 和 p53 标记 DNA 损伤反应,以及 Rpa2、PCNA、Fen1 和 Ttf1 标记复制叉停滞,在 bms1l 突变体中都高度升高。我们发现 Bms1 除了与 Rc1l 相互作用外,还与 Ttf1 相互作用。最后,我们通过染色质免疫沉淀测序鉴定了斑马鱼 Ttf1 的 RFB 位点,并表明 Bms1 利用其 GTPase 活性将 Ttf1-RFB 复合物解离。我们提出,Bms1 通过与 Rcl1 和 Ttf1 分别相互作用,在 S 期平衡 rDNA 转录和复制。TTF1 和 Bms1 可能共同在 rDNA 位点施加 S 期检查点。

https://cdn.ncbi.nlm.nih.gov/pmc/blobs/2d21/8800533/f9fdaae3f856/mjab074f1.jpg

文献AI研究员

20分钟写一篇综述,助力文献阅读效率提升50倍。

立即体验

用中文搜PubMed

大模型驱动的PubMed中文搜索引擎

马上搜索

文档翻译

学术文献翻译模型,支持多种主流文档格式。

立即体验