Suppr超能文献

肾盂血管瘤的影像学特征:病例系列

Radiological features of renal pelvic hemangioma: a case series.

作者信息

Yu Huajun, Sun Weiying, Zhang Jianjun

机构信息

Department of Radiology, Affiliated Zhejiang Hospital, Zhejiang University School of Medicine, Hangzhou, China.

出版信息

Transl Androl Urol. 2021 Oct;10(10):3766-3772. doi: 10.21037/tau-21-489.

Abstract

BACKGROUND

Renal pelvic hemangioma (RPH) is often misdiagnosed as renal pelvis cancer (RPC) due to its similarity in presentation, and there are few reports on the imaging findings of RPH. This study is aimed at improving the understanding of imaging findings specific for RPH by a retrospective analysis of the imaging findings of RPH.

METHODS

RPH cases confirmed by pathology and with high-quality images were collected in the analysis. Nine cases of RPH were enrolled, of which 6 cases underwent ultrasound (US); 7 cases underwent computed tomography (CT), including 6 cases with an enhanced scan; and 2 cases underwent magnetic resonance imaging (MRI), including 1 case with an enhanced scan. All images of cases were analyzed and sorted independently by two senior attending radiologist blinded to the pathological results, according to the imaging indicators, such as the density and intensity on CT and MRI respectively. When the opinions between radiologists were inconsistent, images were re-evaluated together until a consensus was reached.

RESULTS

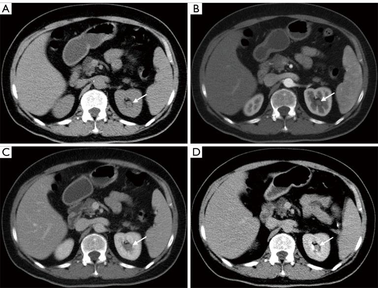
Nine cases of RPH were collected from 5 males and 4 females, aged 16-70 years old, with a median age of 41 years. Five cases were located in the left kidney and 4 cases were located in the right kidney. The clinical symptoms mostly presented with hematuria. Nine cases demonstrated solitary masses, with 4 cases with blurred margins and 5 cases with well-defined margins. The size of the mass was about 1.5-8.0 cm, and the median size was 2.5 cm. The US showed mostly hypoechoic masses and color Doppler flow imaging (CDFI) showed minimal to no blood flow signal. Unenhanced CT scans showed mostly hypodensity and mostly mild continuous enhancement on an enhanced scan. The intensity of lesions was commonly heterogeneous on MRI due to hemorrhage and necrosis. One case showed mild continuous enhancement on an enhanced MRI scan.

CONCLUSIONS

The imaging findings of RPH commonly present as a focal lesion with blurred or well-defined margins, mild and continuous enhancement, and no cachexia of the clinical symptoms. RPH should be differentiated from malignant tumors of the renal pelvis for treatment.

摘要

背景

肾盂血管瘤(RPH)因其临床表现相似常被误诊为肾盂癌(RPC),关于RPH影像学表现的报道较少。本研究旨在通过对RPH影像学表现的回顾性分析,提高对RPH特异性影像学表现的认识。

方法

分析中收集经病理证实且有高质量图像的RPH病例。纳入9例RPH病例,其中6例行超声(US)检查;7例行计算机断层扫描(CT)检查,包括6例行增强扫描;2例行磁共振成像(MRI)检查,包括1例行增强扫描。由两名对病理结果不知情的资深放射科主治医师根据影像学指标(如CT和MRI上的密度和信号强度)对所有病例图像进行独立分析和分类。当放射科医师之间意见不一致时,共同重新评估图像直至达成共识。

结果

收集的9例RPH病例中,男性5例,女性4例,年龄16 - 70岁,中位年龄41岁。5例位于左肾,4例位于右肾。临床症状多表现为血尿。9例均显示为孤立性肿块,4例边界模糊,5例边界清晰。肿块大小约1.5 - 8.0 cm,中位大小为2.5 cm。US检查大多显示为低回声肿块,彩色多普勒血流成像(CDFI)显示血流信号极少或无血流信号。CT平扫大多显示为低密度,增强扫描大多呈轻度持续强化。由于出血和坏死,MRI上病变信号强度通常不均匀。1例在MRI增强扫描时呈轻度持续强化。

结论

RPH的影像学表现通常为边界模糊或清晰明确的局灶性病变,轻度持续强化,且无临床症状恶病质表现。治疗时RPH应与肾盂恶性肿瘤相鉴别。

https://cdn.ncbi.nlm.nih.gov/pmc/blobs/c6f1/8575578/43178e18bd62/tau-10-10-3766-f1.jpg

文献AI研究员

20分钟写一篇综述,助力文献阅读效率提升50倍。

立即体验

用中文搜PubMed

大模型驱动的PubMed中文搜索引擎

马上搜索

文档翻译

学术文献翻译模型,支持多种主流文档格式。

立即体验