• 文献检索
  • 文档翻译
  • 深度研究
  • 学术资讯
  • Suppr Zotero 插件Zotero 插件
  • 邀请有礼
  • 套餐&价格
  • 历史记录
应用&插件
Suppr Zotero 插件Zotero 插件浏览器插件Mac 客户端Windows 客户端微信小程序
定价
高级版会员购买积分包购买API积分包
服务
文献检索文档翻译深度研究API 文档MCP 服务
关于我们
关于 Suppr公司介绍联系我们用户协议隐私条款
关注我们

Suppr 超能文献

核心技术专利:CN118964589B侵权必究
粤ICP备2023148730 号-1Suppr @ 2026

文献检索

告别复杂PubMed语法,用中文像聊天一样搜索,搜遍4000万医学文献。AI智能推荐,让科研检索更轻松。

立即免费搜索

文件翻译

保留排版,准确专业,支持PDF/Word/PPT等文件格式,支持 12+语言互译。

免费翻译文档

深度研究

AI帮你快速写综述,25分钟生成高质量综述,智能提取关键信息,辅助科研写作。

立即免费体验

在一种新型范可尼贫血小鼠模型中,有丝分裂错误促进基因组不稳定和白血病。

Mitotic Errors Promote Genomic Instability and Leukemia in a Novel Mouse Model of Fanconi Anemia.

作者信息

Edwards Donna M, Mitchell Dana K, Abdul-Sater Zahi, Chan Ka-Kui, Sun Zejin, Sheth Aditya, He Ying, Jiang Li, Yuan Jin, Sharma Richa, Czader Magdalena, Chin Pei-Ju, Liu Yie, de Cárcer Guillermo, Nalepa Grzegorz, Broxmeyer Hal E, Clapp D Wade, Sierra Potchanant Elizabeth A

机构信息

Department of Pediatrics, Division of Pediatric Hematology-Oncology, Indiana University School of Medicine, Indianapolis, IN, United States.

Department of Biochemistry and Molecular Biology, Indiana University School of Medicine, Indianapolis, IN, United States.

出版信息

Front Oncol. 2021 Nov 5;11:752933. doi: 10.3389/fonc.2021.752933. eCollection 2021.

DOI:10.3389/fonc.2021.752933
PMID:34804941
原文链接:https://pmc.ncbi.nlm.nih.gov/articles/PMC8602820/
Abstract

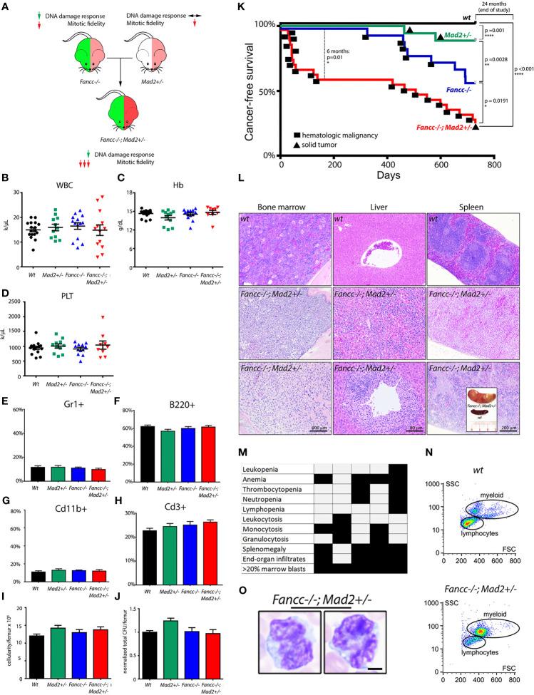
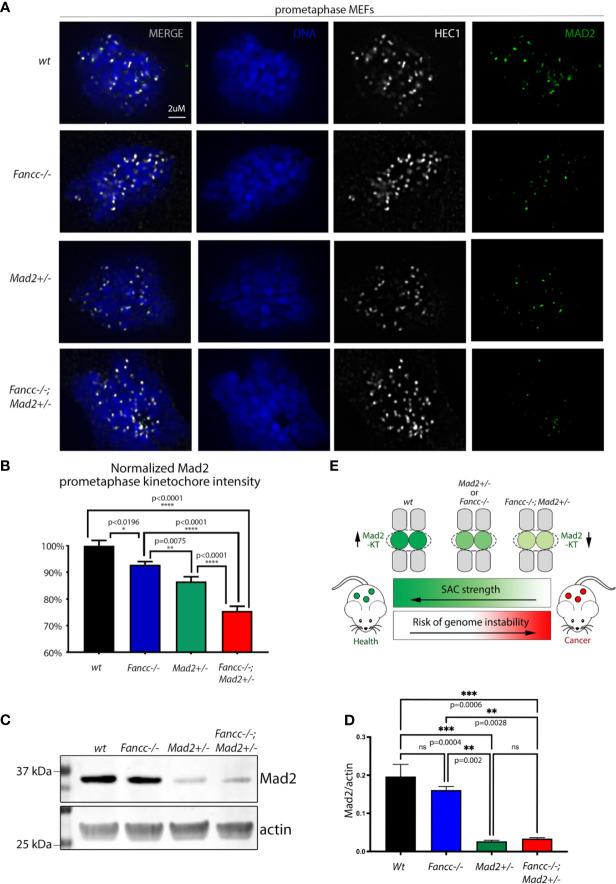
Fanconi anemia (FA) is a disease of genomic instability and cancer. In addition to DNA damage repair, FA pathway proteins are now known to be critical for maintaining faithful chromosome segregation during mitosis. While impaired DNA damage repair has been studied extensively in FA-associated carcinogenesis , the oncogenic contribution of mitotic abnormalities secondary to FA pathway deficiency remains incompletely understood. To examine the role of mitotic dysregulation in FA pathway deficient malignancies, we genetically exacerbated the baseline mitotic defect in mice by introducing heterozygosity of the key spindle assembly checkpoint regulator . mice were viable, but died from acute myeloid leukemia (AML), thus recapitulating the high risk of myeloid malignancies in FA patients better than mice. We utilized hematopoietic stem cell transplantation to propagate AML in irradiated healthy mice to model -deficient AMLs arising in the non-FA population. Compared to cells from mice, those from mice demonstrated an increase in mitotic errors but equivalent DNA cross-linker hypersensitivity, indicating that the cancer phenotype of mice results from error-prone cell division and not exacerbation of the DNA damage repair defect. We found that FANCC enhances targeting of endogenous MAD2 to prometaphase kinetochores, suggesting a mechanism for how FANCC-dependent regulation of the spindle assembly checkpoint prevents chromosome mis-segregation. Whole-exome sequencing revealed similarities between human FA-associated myelodysplastic syndrome (MDS)/AML and the AML that developed in mice. Together, these data illuminate the role of mitotic dysregulation in FA-pathway deficient malignancies , show how FANCC adjusts the spindle assembly checkpoint rheostat by regulating MAD2 kinetochore targeting in cell cycle-dependent manner, and establish two new mouse models for preclinical studies of AML.

摘要

范可尼贫血(FA)是一种基因组不稳定和癌症相关疾病。除了DNA损伤修复外,现在已知FA通路蛋白对于在有丝分裂期间维持准确的染色体分离至关重要。虽然在FA相关致癌过程中受损的DNA损伤修复已被广泛研究,但FA通路缺陷继发的有丝分裂异常的致癌作用仍未完全了解。为了研究有丝分裂失调在FA通路缺陷恶性肿瘤中的作用,我们通过引入关键纺锤体组装检查点调节因子的杂合性,在小鼠中遗传加剧了基线有丝分裂缺陷。小鼠存活,但死于急性髓系白血病(AML),因此比小鼠更好地重现了FA患者髓系恶性肿瘤的高风险。我们利用造血干细胞移植在受辐照的健康小鼠中繁殖AML,以模拟非FA人群中出现的 -缺陷AML。与来自小鼠的细胞相比,来自小鼠的细胞有丝分裂错误增加,但DNA交联剂超敏反应相当,表明小鼠的癌症表型是由易出错的细胞分裂引起的,而不是DNA损伤修复缺陷的加剧。我们发现FANCC增强了内源性MAD2对前中期动粒的靶向作用,提示了FANCC依赖的纺锤体组装检查点调节如何防止染色体错误分离的机制。全外显子测序揭示了人类FA相关骨髓增生异常综合征(MDS)/AML与在小鼠中发生的AML之间的相似性。总之,这些数据阐明了有丝分裂失调在FA通路缺陷恶性肿瘤中的作用,展示了FANCC如何通过以细胞周期依赖的方式调节MAD2动粒靶向来调整纺锤体组装检查点变阻器,并建立了两种新的小鼠模型用于AML的临床前研究。

https://cdn.ncbi.nlm.nih.gov/pmc/blobs/b143/8602820/bc26bed58268/fonc-11-752933-g007.jpg
https://cdn.ncbi.nlm.nih.gov/pmc/blobs/b143/8602820/16791946f967/fonc-11-752933-g001.jpg
https://cdn.ncbi.nlm.nih.gov/pmc/blobs/b143/8602820/45d02d5e3ec5/fonc-11-752933-g002.jpg
https://cdn.ncbi.nlm.nih.gov/pmc/blobs/b143/8602820/6df4ce570e26/fonc-11-752933-g003.jpg
https://cdn.ncbi.nlm.nih.gov/pmc/blobs/b143/8602820/41ca9cb6ae5d/fonc-11-752933-g004.jpg
https://cdn.ncbi.nlm.nih.gov/pmc/blobs/b143/8602820/1f3a367bda8c/fonc-11-752933-g005.jpg
https://cdn.ncbi.nlm.nih.gov/pmc/blobs/b143/8602820/aa71d633a58c/fonc-11-752933-g006.jpg
https://cdn.ncbi.nlm.nih.gov/pmc/blobs/b143/8602820/bc26bed58268/fonc-11-752933-g007.jpg
https://cdn.ncbi.nlm.nih.gov/pmc/blobs/b143/8602820/16791946f967/fonc-11-752933-g001.jpg
https://cdn.ncbi.nlm.nih.gov/pmc/blobs/b143/8602820/45d02d5e3ec5/fonc-11-752933-g002.jpg
https://cdn.ncbi.nlm.nih.gov/pmc/blobs/b143/8602820/6df4ce570e26/fonc-11-752933-g003.jpg
https://cdn.ncbi.nlm.nih.gov/pmc/blobs/b143/8602820/41ca9cb6ae5d/fonc-11-752933-g004.jpg
https://cdn.ncbi.nlm.nih.gov/pmc/blobs/b143/8602820/1f3a367bda8c/fonc-11-752933-g005.jpg
https://cdn.ncbi.nlm.nih.gov/pmc/blobs/b143/8602820/aa71d633a58c/fonc-11-752933-g006.jpg
https://cdn.ncbi.nlm.nih.gov/pmc/blobs/b143/8602820/bc26bed58268/fonc-11-752933-g007.jpg

相似文献

1
Mitotic Errors Promote Genomic Instability and Leukemia in a Novel Mouse Model of Fanconi Anemia.在一种新型范可尼贫血小鼠模型中,有丝分裂错误促进基因组不稳定和白血病。
Front Oncol. 2021 Nov 5;11:752933. doi: 10.3389/fonc.2021.752933. eCollection 2021.
2
A role for the Fanconi anemia C protein in maintaining the DNA damage-induced G2 checkpoint.范可尼贫血C蛋白在维持DNA损伤诱导的G2期检查点中的作用。
J Biol Chem. 2004 Dec 3;279(49):50986-93. doi: 10.1074/jbc.M407160200. Epub 2004 Sep 17.
3
Leukemia and chromosomal instability in aged Fancc-/- mice.老年Fancc基因敲除小鼠中的白血病与染色体不稳定性
Exp Hematol. 2016 May;44(5):352-7. doi: 10.1016/j.exphem.2016.01.009. Epub 2016 Feb 6.
4
Mad2-independent spindle assembly checkpoint activation and controlled metaphase-anaphase transition in Drosophila S2 cells.果蝇S2细胞中不依赖Mad2的纺锤体组装检查点激活及可控的中期-后期转换
Mol Biol Cell. 2007 Mar;18(3):850-63. doi: 10.1091/mbc.e06-07-0587. Epub 2006 Dec 20.
5
Fanconi anemia group A and C double-mutant mice: functional evidence for a multi-protein Fanconi anemia complex.范可尼贫血A组和C组双突变小鼠:多蛋白范可尼贫血复合物的功能证据
Exp Hematol. 2002 Jul;30(7):679-88. doi: 10.1016/s0301-472x(02)00838-x.
6
The Fanconi anemia protein FANCC binds to and facilitates the activation of STAT1 by gamma interferon and hematopoietic growth factors.范可尼贫血蛋白FANCC与γ干扰素和造血生长因子结合,并促进STAT1的激活。
Mol Cell Biol. 2000 Jul;20(13):4724-35. doi: 10.1128/MCB.20.13.4724-4735.2000.
7
Fanconi anemia type C and p53 cooperate in apoptosis and tumorigenesis.C型范可尼贫血与p53在细胞凋亡和肿瘤发生过程中相互协作。
Blood. 2003 Dec 1;102(12):4146-52. doi: 10.1182/blood-2003-03-0971. Epub 2003 Jul 10.
8
Genetic disruption of both Fancc and Fancg in mice recapitulates the hematopoietic manifestations of Fanconi anemia.在小鼠中同时敲除 Fancc 和 Fancg 基因可重现范可尼贫血的造血表现。
Blood. 2010 Oct 21;116(16):2915-20. doi: 10.1182/blood-2009-08-240747. Epub 2010 Jul 6.
9
Hypermethylation of the FANCC and FANCL promoter regions in sporadic acute leukaemia.散发性急性白血病中FANCC和FANCL启动子区域的高甲基化
Cell Oncol. 2008;30(4):299-306. doi: 10.3233/clo-2008-0426.
10
A heterozygous frameshift mutation in the Fanconi anemia C gene in familial T-ALL and secondary malignancy.家族性T淋巴细胞白血病和继发性恶性肿瘤中范可尼贫血C基因的杂合移码突变
Klin Padiatr. 2000 Jul-Aug;212(4):174-6. doi: 10.1055/s-2000-9673.

引用本文的文献

1
Intervention of machine learning in bladder cancer research using multi-omics datasets: systematic review on biomarker identification.利用多组学数据集的机器学习在膀胱癌研究中的干预:生物标志物识别的系统评价
Discov Oncol. 2025 Jun 5;16(1):1010. doi: 10.1007/s12672-025-02734-6.
2
PLK1 Inhibition Induces Synthetic Lethality in Fanconi Anemia Pathway-Deficient Acute Myeloid Leukemia.PLK1抑制在范可尼贫血通路缺陷的急性髓系白血病中诱导合成致死
Cancer Res Commun. 2025 Apr 1;5(4):648-667. doi: 10.1158/2767-9764.CRC-24-0260.
3
Alkynyl nicotinamides show antileukemic activity in drug-resistant acute myeloid leukemia.

本文引用的文献

1
The C-terminal helix of BubR1 is essential for CENP-E-dependent chromosome alignment.BubR1 的 C 端螺旋对于 CENP-E 依赖性染色体排列至关重要。
J Cell Sci. 2020 Aug 25;133(16):jcs246025. doi: 10.1242/jcs.246025.
2
Analysis of TET2 and EZH2 gene functions in chromosome instability in acute myeloid leukemia.分析 TET2 和 EZH2 基因在急性髓系白血病染色体不稳定性中的作用。
Sci Rep. 2020 Feb 17;10(1):2706. doi: 10.1038/s41598-020-59365-w.
3
BubR1 phosphorylates CENP-E as a switch enabling the transition from lateral association to end-on capture of spindle microtubules.
炔基烟酰胺类化合物在耐药性急性髓系白血病中显示出抗白血病活性。
J Clin Invest. 2024 Jun 17;134(12):e169245. doi: 10.1172/JCI169245.
4
Mitotic DNA Synthesis in Untransformed Human Cells Preserves Common Fragile Site Stability via a FANCD2-Driven Mechanism That Requires HELQ.未转化的人细胞中的有丝分裂 DNA 合成通过 FANCD2 驱动的机制来维持常见脆弱位点的稳定性,该机制需要 HELQ。
J Mol Biol. 2023 Nov 15;435(22):168294. doi: 10.1016/j.jmb.2023.168294. Epub 2023 Sep 28.
5
Identification of a Hypomorphic Variant in Bernese Mountain Dogs.伯尔尼山犬中的一个功能获得性变体的鉴定。
Genes (Basel). 2022 Sep 21;13(10):1693. doi: 10.3390/genes13101693.
6
A New Multi-Color FISH Assay for Brush Biopsy-Based Detection of Chromosomal Aneuploidy in Oral (Pre)Cancer in Patients with Fanconi Anemia.一种基于刷检活检的新型多色荧光原位杂交检测法,用于检测范可尼贫血患者口腔(癌前)病变中的染色体非整倍体
Cancers (Basel). 2022 Jul 17;14(14):3468. doi: 10.3390/cancers14143468.
BubR1 磷酸化 CENP-E 作为一个开关,使微管从侧向结合到末端捕获的转变成为可能。
Cell Res. 2019 Jul;29(7):562-578. doi: 10.1038/s41422-019-0178-z. Epub 2019 Jun 14.
4
Fanconi anaemia and cancer: an intricate relationship.范可尼贫血症与癌症:复杂的关系。
Nat Rev Cancer. 2018 Mar;18(3):168-185. doi: 10.1038/nrc.2017.116. Epub 2018 Jan 29.
5
Risk of Human Papillomavirus Infection in Cancer-Prone Individuals: What We Know.高危人群 HPV 感染风险:知多少。
Viruses. 2018 Jan 20;10(1):47. doi: 10.3390/v10010047.
6
Prognostic importance of Aurora Kinases and mitotic spindle genes transcript levels in Myelodysplastic syndrome.极光激酶和有丝分裂纺锤体基因转录水平在骨髓增生异常综合征中的预后重要性。
Leuk Res. 2018 Jan;64:61-70. doi: 10.1016/j.leukres.2017.11.013. Epub 2017 Nov 28.
7
Revisiting tumor patterns and penetrance in germline TP53 mutation carriers: temporal phases of Li-Fraumeni syndrome.重新审视种系TP53突变携带者的肿瘤模式和外显率:李-弗劳梅尼综合征的时间阶段
Curr Opin Oncol. 2018 Jan;30(1):23-29. doi: 10.1097/CCO.0000000000000423.
8
Spindle assembly checkpoint signaling and sister chromatid cohesion are disrupted by HPV E6-mediated transformation.纺锤体组装检查点信号传导和姐妹染色单体黏连因HPV E6介导的转化而受到破坏。
Mol Biol Cell. 2017 Jul 15;28(15):2035-2041. doi: 10.1091/mbc.E16-12-0853. Epub 2017 May 24.
9
PANTHER version 11: expanded annotation data from Gene Ontology and Reactome pathways, and data analysis tool enhancements.PANTHER 版本 11:来自基因本体论和 Reactome 通路的注释数据扩展,以及数据分析工具增强。
Nucleic Acids Res. 2017 Jan 4;45(D1):D183-D189. doi: 10.1093/nar/gkw1138. Epub 2016 Nov 29.
10
Metformin improves defective hematopoiesis and delays tumor formation in Fanconi anemia mice.二甲双胍可改善范可尼贫血小鼠的造血功能缺陷并延缓肿瘤形成。
Blood. 2016 Dec 15;128(24):2774-2784. doi: 10.1182/blood-2015-11-683490. Epub 2016 Oct 18.