Suppr超能文献

髓系肉瘤:一种罕见的髓系肿瘤表现形式;一家三级医疗机构报告的4例罕见病例系列。

Myeloid sarcoma: an uncommon presentation of myeloid neoplasms; a case series of 4 rare cases reported in a tertiary care institute.

作者信息

Jadhav Toyaja, Baveja Puneet, Sen Arijit

机构信息

Armed Forces Medical College, Department of Pathology, Pune, Maharashtra, India.

出版信息

Autops Case Rep. 2021 Nov 5;11:e2021339. doi: 10.4322/acr.2021.339. eCollection 2021.

Abstract

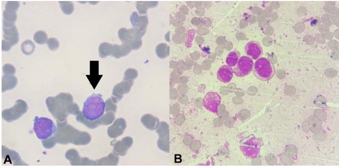
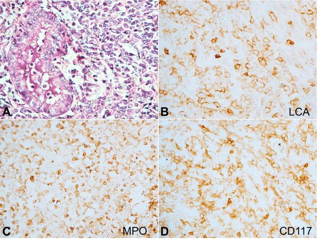
Myeloid sarcoma (MS) is a rare extramedullary neoplasm of myeloid cells, which can arise before, concurrently with, or following hematolymphoid malignancies. We report 04 such cases of MS, diagnosed in this institute over a period of 6 years, during various phases of their respective myeloid neoplasms/leukemias. These cases include MS occurring as a relapse of AML (Case 1), MS occurring as an initial presentation of CML (Case 2), MS occurring during ongoing chemotherapy in APML (Case 3), and MS presenting as a progression of MDS to AML (Case 4). In the absence of relevant clinical history and unemployment of appropriate immunohistochemical (IHC) studies, these cases have a high risk of being frequently misdiagnosed either as Non-Hodgkin's Lymphoma (NHL) or small round cell tumors or undifferentiated carcinomas, which may further delay their management, making an already bad prognosis worse. This case series has been designed to throw light on the varied presentation of MS and the lineage differentiation of its neoplastic cells through the application of relevant IHC markers along with their clinical correlation.

摘要

髓系肉瘤(MS)是一种罕见的髓系细胞髓外肿瘤,可发生于血液淋巴系统恶性肿瘤之前、同时或之后。我们报告了在本机构6年期间诊断的4例此类MS病例,这些病例处于各自髓系肿瘤/白血病的不同阶段。这些病例包括作为急性髓系白血病(AML)复发出现的MS(病例1)、作为慢性髓系白血病(CML)初始表现出现的MS(病例2)、急性早幼粒细胞白血病(APML)化疗期间出现的MS(病例3)以及表现为骨髓增生异常综合征(MDS)进展为AML的MS(病例4)。在缺乏相关临床病史且未进行适当免疫组织化学(IHC)研究的情况下,这些病例极易被误诊为非霍奇金淋巴瘤(NHL)或小圆形细胞肿瘤或未分化癌,这可能会进一步延误治疗,使本就不佳的预后更差。本病例系列旨在通过应用相关IHC标志物及其临床相关性,阐明MS的不同表现及其肿瘤细胞的谱系分化。

https://cdn.ncbi.nlm.nih.gov/pmc/blobs/db3b/8597781/aeefd87f208c/autopsy-11-e2021339-g01.jpg

文献AI研究员

20分钟写一篇综述,助力文献阅读效率提升50倍。

立即体验

用中文搜PubMed

大模型驱动的PubMed中文搜索引擎

马上搜索

文档翻译

学术文献翻译模型,支持多种主流文档格式。

立即体验