Suppr超能文献

计算机断层扫描引导下对小复发性或残留肝细胞癌经动脉栓塞联合治疗后残留碘油进行射频消融

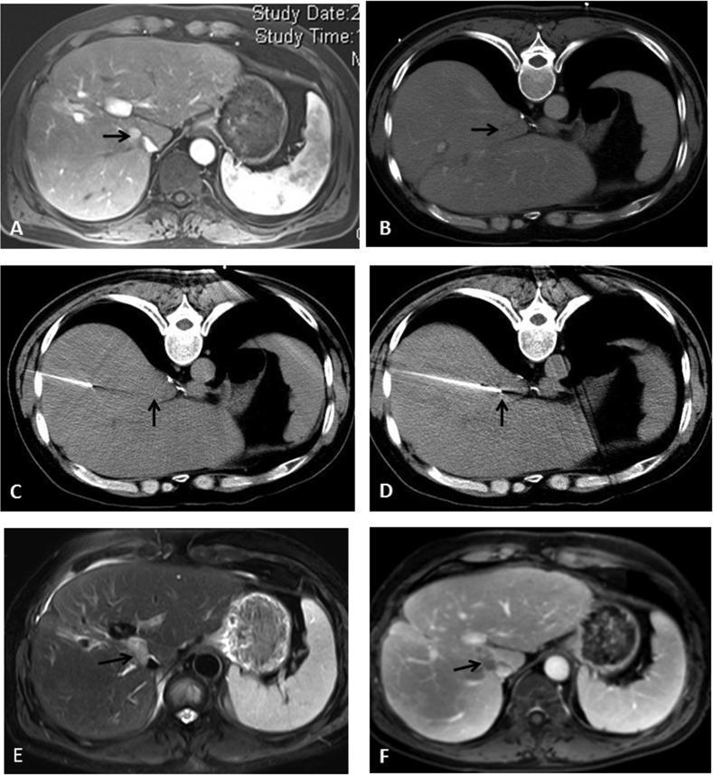
Computed tomography-guided radiofrequency ablation of the retained iodized oil after simultaneous combination with transarterial embolization in small recurrent or residual hepatocellular carcinoma.

作者信息

Huang Zhimei, Gu Yangkui, Wu Shaoyong, Lai Chunxiao, Wang Xiuchen, Huang Jinhua

机构信息

Department of Minimal Invasive Intervention, Sun Yat-sen University Cancer Center, State Key Laboratory of Oncology in South China, Collaborative Innovation Center for Cancer Medicine, People's Republic of China.

Anesthesiology Department, Sun Yat-sen University Cancer Center, State Key Laboratory of Oncology in South China, Collaborative Innovation Center for Cancer Medicine, People's Republic of China.

出版信息

J Interv Med. 2020 Jan 21;3(1):49-54. doi: 10.1016/j.jimed.2020.01.008. eCollection 2020 Feb.

Abstract

OBJECTIVE

To assess the clinical efficacy and safety of transarterial embolization (TAE) in simultaneous combination with computed tomography (CT)-guided radiofrequency ablation (RFA) for recurrent or residual hepatocellular carcinoma (HCC), and to determine the risk factors influencing local tumor progression following this procedure.

METHODS

One hundred eighteen patients with recurrent or residual HCC (tumor size, 10-30 ​mm) underwent RFA. During the 19-month follow-up, 59 patients received RFA only (RFA group), and the remaining 59 received RFA immediately after TAE (TAE ​+ ​RFA group). All patients were followed up to observe the short-term therapeutic effects and complications. The cumulative local tumor progression rates in both groups were calculated using unpaired Student's t tests and the Kaplan-Meier method.

RESULTS

The rate of major complications was 5.08% in the TAE ​+ ​RFA group and 3.39% in the RFA group. The overall response rate was 96.61% in the TAE ​+ ​RFA group and 79.66% in the RFA group ( ​= ​0.008). The disease control rate was significantly higher in the TAE ​+ ​RFA group than in the RFA group (94.92% vs. 79.66%,  ​= ​0.024). The median time to local tumor progression was 4.8 months in the RFA group and 9.6 months in the TAE ​+ ​RFA group. The cumulative local tumor progression rate at 1 year was 10.60% in the RFA group and 23.60% in the TAE ​+ ​RFA group ( ​= ​0.016).

CONCLUSION

TAE in simultaneous combination with CT-guided RFA was effective and safe against recurrent or residual HCC. Local tumor progression can be minimized by the complete ablation of targeted iodized oil deposits after simultaneous TAE.

摘要

目的

评估经动脉栓塞术(TAE)联合计算机断层扫描(CT)引导下射频消融术(RFA)治疗复发性或残留性肝细胞癌(HCC)的临床疗效和安全性,并确定影响该手术后局部肿瘤进展的危险因素。

方法

118例复发性或残留性HCC患者(肿瘤大小为10 - 30毫米)接受了RFA治疗。在19个月的随访期间,59例患者仅接受RFA治疗(RFA组),其余59例在TAE后立即接受RFA治疗(TAE + RFA组)。所有患者均接受随访以观察短期治疗效果和并发症。使用未配对的学生t检验和Kaplan-Meier方法计算两组的累积局部肿瘤进展率。

结果

TAE + RFA组的主要并发症发生率为5.08%,RFA组为3.39%。TAE + RFA组的总体缓解率为96.61%,RFA组为79.66%(P = 0.008)。TAE + RFA组的疾病控制率显著高于RFA组(94.92%对79.66%,P = 0.024)。RFA组局部肿瘤进展的中位时间为4.8个月,TAE + RFA组为9.6个月。RFA组1年时的累积局部肿瘤进展率为10.60%,TAE + RFA组为23.60%(P = 0.016)。

结论

TAE联合CT引导下的RFA治疗复发性或残留性HCC是有效且安全的。通过在TAE后同时完全消融靶向碘油沉积可将局部肿瘤进展降至最低。

https://cdn.ncbi.nlm.nih.gov/pmc/blobs/1c0a/8562296/e8986d0097f1/gr1.jpg

文献检索

告别复杂PubMed语法,用中文像聊天一样搜索,搜遍4000万医学文献。AI智能推荐,让科研检索更轻松。

立即免费搜索

文件翻译

保留排版,准确专业,支持PDF/Word/PPT等文件格式,支持 12+语言互译。

免费翻译文档

深度研究

AI帮你快速写综述,25分钟生成高质量综述,智能提取关键信息,辅助科研写作。

立即免费体验