Univ. Lille, CNRS, Inserm, CHU Lille, UMR 9020-U 1277 - CANTHER - Cancer Heterogeneity Plasticity and Resistance to Therapies, F-59000 Lille, France.
Department of Fisheries and Animal Sciences, Faculty of Natural Resources, University of Tehran, Karaj 31587-77871, Iran.
Cells. 2021 Nov 12;10(11):3142. doi: 10.3390/cells10113142.
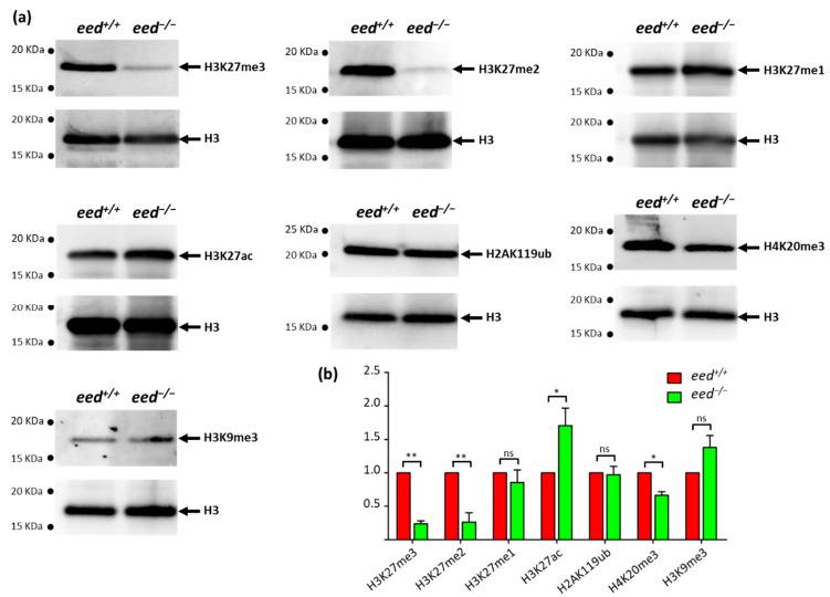
Polycomb repressive complex 2 (PRC2) mediates histone H3K27me3 methylation and the stable transcriptional repression of a number of gene expression programs involved in the control of cellular identity during development and differentiation. Here, we report on the generation and on the characterization of a zebrafish line harboring a null allele of , a gene coding for an essential component of the PRC2. Homozygous -deficient mutants present a normal body plan development but display strong defects at the level of the digestive organs, such as reduced size of the pancreas, hepatic steatosis, and a loss of the intestinal structures, to die finally at around 10-12 days post fertilization. In addition, we found that PRC2 loss of function impairs neuronal differentiation in very specific and discrete areas of the brain and increases larval activity in locomotor assays. Our work highlights that zebrafish is a suited model to study human pathologies associated with PRC2 loss of function and H3K27me3 decrease.
多梳抑制复合物 2(PRC2)介导组蛋白 H3K27me3 甲基化和许多参与发育和分化过程中细胞身份控制的基因表达程序的稳定转录抑制。在这里,我们报告了一种斑马鱼系的产生和特征,该系携带一个基因的缺失等位基因,该基因编码 PRC2 的一个必需组成部分。纯合 - 缺陷突变体表现出正常的身体计划发育,但在消化器官水平上显示出强烈的缺陷,如胰腺体积减小、肝脂肪变性和肠道结构丧失,最终在受精后约 10-12 天死亡。此外,我们发现 PRC2 功能丧失会损害大脑中非常特定和离散区域的神经元分化,并增加运动试验中的幼虫活性。我们的工作强调了斑马鱼是研究与 PRC2 功能丧失和 H3K27me3 减少相关的人类病理学的合适模型。